Rabbit anti-Human CKR-6 Polyclonal Antibody | anti-CKR-6 antibody
CKR-6 Polyclonal Antibody
Gene Names
CCR6; BN-1; DCR2; DRY6; CCR-6; CD196; CKRL3; GPR29; CKR-L3; CMKBR6; GPRCY4; STRL22; CC-CKR-6; C-C CKR-6
Reactivity
Human
Applications
ELISA, Western Blot
Purity
Affinity Purification
Synonyms
CKR-6, Antibody; CKR-6 Polyclonal Antibody; CCR6; CKRL3; CMKBR6; GPR29; STRL22; C-C chemokine receptor type 6; C-C CKR-6; CC-CKR-6; CCR-6; Chemokine receptor-like 3; CKR-L3; DRY6; G-protein coupled receptor 29; GPR-CY4; GPRCY4; LARC receptor; CD196; anti-CKR-6 antibody
Host
Rabbit
Reactivity
Human
Clonality
Polyclonal
Isotype
IgG
Purity/Purification
Affinity Purification
Concentration
1mg/mL (varies by lot)
Sequence Length
374
Applicable Applications for anti-CKR-6 antibody
ELISA, WB (Western Blot)
Immunogen
Synthesized peptide derived from the N-terminal region of human CKR-6.
Buffer
PBS with 0.02% sodium azide, 0.5% BSA and 50% glycerol pH 7.4.
Preparation and Storage
Store at -20 degree C. Avoid freeze / thaw cycles.
Related Product Information for anti-CKR-6 antibody
This gene encodes a member of the beta chemokine receptor family, which is predicted to be a seven transmembrane protein similar to G protein-coupled receptors. The gene is preferentially expressed by immature dendritic cells and memory T cells. The ligand of this receptor is macrophage inflammatory protein 3 alpha (MIP-3 alpha). This receptor has been shown to be important for B-lineage maturation and antigen-driven B-cell differentiation, and it may regulate the migration and recruitment of dentritic and T cells during inflammatory and immunological responses. Alternatively spliced transcript variants that encode the same protein have been described for this gene.
NCBI and Uniprot Product Information
NCBI GI #
NCBI GeneID
NCBI Accession #
NCBI GenBank Nucleotide #
Molecular Weight
Calculated Molecular Weight: 42kDa
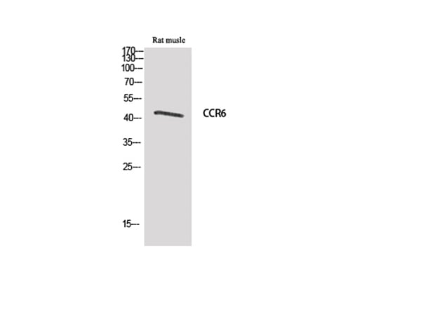
Observed Molecular Weight: 42kDa
Observed Molecular Weight: 42kDa
NCBI Official Full Name
C-C chemokine receptor type 6
NCBI Official Synonym Full Names
C-C motif chemokine receptor 6
NCBI Official Symbol
CCR6
NCBI Official Synonym Symbols
BN-1; DCR2; DRY6; CCR-6; CD196; CKRL3; GPR29; CKR-L3; CMKBR6; GPRCY4; STRL22; CC-CKR-6; C-C CKR-6
NCBI Protein Information
C-C chemokine receptor type 6
UniProt Protein Name
C-C chemokine receptor type 6
UniProt Gene Name
CCR6
UniProt Synonym Gene Names
CKRL3; CMKBR6; GPR29; STRL22; C-C CKR-6; CC-CKR-6; CCR-6; CKR-L3; GPRCY4
Customer Reviews
Loading reviews...
Share Your Experience
Similar Products
Product Notes
The CKR-6 ccr6 (Catalog #AAA173808) is an Antibody produced from Rabbit and is intended for research purposes only. The product is available for immediate purchase. The CKR-6 Polyclonal Antibody reacts with Human and may cross-react with other species as described in the data sheet. AAA Biotech's CKR-6 can be used in a range of immunoassay formats including, but not limited to, ELISA, WB (Western Blot). Researchers should empirically determine the suitability of the CKR-6 ccr6 for an application not listed in the data sheet. Researchers commonly develop new applications and it is an integral, important part of the investigative research process. It is sometimes possible for the material contained within the vial of "CKR-6, Polyclonal Antibody" to become dispersed throughout the inside of the vial, particularly around the seal of said vial, during shipment and storage. We always suggest centrifuging these vials to consolidate all of the liquid away from the lid and to the bottom of the vial prior to opening. Please be advised that certain products may require dry ice for shipping and that, if this is the case, an additional dry ice fee may also be required.Precautions
All products in the AAA Biotech catalog are strictly for research-use only, and are absolutely not suitable for use in any sort of medical, therapeutic, prophylactic, in-vivo, or diagnostic capacity. By purchasing a product from AAA Biotech, you are explicitly certifying that said products will be properly tested and used in line with industry standard. AAA Biotech and its authorized distribution partners reserve the right to refuse to fulfill any order if we have any indication that a purchaser may be intending to use a product outside of our accepted criteria.Disclaimer
Though we do strive to guarantee the information represented in this datasheet, AAA Biotech cannot be held responsible for any oversights or imprecisions. AAA Biotech reserves the right to adjust any aspect of this datasheet at any time and without notice. It is the responsibility of the customer to inform AAA Biotech of any product performance issues observed or experienced within 30 days of receipt of said product. To see additional details on this or any of our other policies, please see our Terms & Conditions page.Item has been added to Shopping Cart
If you are ready to order, navigate to Shopping Cart and get ready to checkout.
