Rabbit anti-Human CLEC1B Polyclonal Antibody | anti-CLEC1B antibody
CLEC1B Antibody
Gene Names
CLEC1B; CLEC2; CLEC2B; PRO1384; QDED721; 1810061I13Rik
Reactivity
Human
Applications
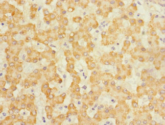
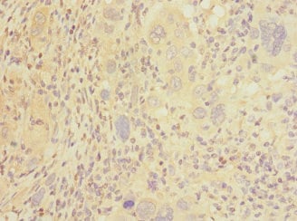
Immunohistochemistry, ELISA
Purity
Antigen Affinity Purified
Synonyms
CLEC1B, Antibody; CLEC1B Antibody; C-type lectin domain family 1 member B; C-type lectin-like receptor 2; CLEC-2; CLEC1B; CLEC2; UNQ721/PRO1384; anti-CLEC1B antibody
Host
Rabbit
Reactivity
Human
Clonality
Polyclonal
Isotype
IgG
Purity/Purification
Antigen Affinity Purified
Form/Format
Liquid
Sequence Length
196
Applicable Applications for anti-CLEC1B antibody
IHC (Immunohistochemistry), ELISA
Species
Human
Immunogen
Recombinant human C-type lectin domain family 1 member B protein (C-175AA)
Conjugate
Non-conjugated
Buffer
PBS with 0.02% sodium azide, 50% glycerol, pH7.3.
Preparation and Storage
Shipped at 4 degree C. Upon delivery aliquot and store at -20 degree C or -80 degree C. Avoid repeated freeze.
Related Product Information for anti-CLEC1B antibody
integral component of plasma membrane, plasma membrane, transmembrane signaling receptor activity, cell surface receptor signaling pathway, defense response, platelet activation
NCBI and Uniprot Product Information
NCBI GI #
NCBI GeneID
NCBI Accession #
NCBI GenBank Nucleotide #
Molecular Weight
23,096 Da
NCBI Official Full Name
C-type lectin domain family 1 member B isoform b
NCBI Official Synonym Full Names
C-type lectin domain family 1 member B
NCBI Official Symbol
CLEC1B
NCBI Official Synonym Symbols
CLEC2; CLEC2B; PRO1384; QDED721; 1810061I13Rik
NCBI Protein Information
C-type lectin domain family 1 member B
UniProt Protein Name
C-type lectin domain family 1 member B
UniProt Gene Name
CLEC1B
UniProt Synonym Gene Names
CLEC2; CLEC-2
UniProt Entry Name
CLC1B_HUMAN
Customer Reviews
Loading reviews...
Share Your Experience
Similar Products
Product Notes
The CLEC1B clec1b (Catalog #AAA231147) is an Antibody produced from Rabbit and is intended for research purposes only. The product is available for immediate purchase. The CLEC1B Antibody reacts with Human and may cross-react with other species as described in the data sheet. AAA Biotech's CLEC1B can be used in a range of immunoassay formats including, but not limited to, IHC (Immunohistochemistry), ELISA. Researchers should empirically determine the suitability of the CLEC1B clec1b for an application not listed in the data sheet. Researchers commonly develop new applications and it is an integral, important part of the investigative research process. It is sometimes possible for the material contained within the vial of "CLEC1B, Polyclonal Antibody" to become dispersed throughout the inside of the vial, particularly around the seal of said vial, during shipment and storage. We always suggest centrifuging these vials to consolidate all of the liquid away from the lid and to the bottom of the vial prior to opening. Please be advised that certain products may require dry ice for shipping and that, if this is the case, an additional dry ice fee may also be required.Precautions
All products in the AAA Biotech catalog are strictly for research-use only, and are absolutely not suitable for use in any sort of medical, therapeutic, prophylactic, in-vivo, or diagnostic capacity. By purchasing a product from AAA Biotech, you are explicitly certifying that said products will be properly tested and used in line with industry standard. AAA Biotech and its authorized distribution partners reserve the right to refuse to fulfill any order if we have any indication that a purchaser may be intending to use a product outside of our accepted criteria.Disclaimer
Though we do strive to guarantee the information represented in this datasheet, AAA Biotech cannot be held responsible for any oversights or imprecisions. AAA Biotech reserves the right to adjust any aspect of this datasheet at any time and without notice. It is the responsibility of the customer to inform AAA Biotech of any product performance issues observed or experienced within 30 days of receipt of said product. To see additional details on this or any of our other policies, please see our Terms & Conditions page.Item has been added to Shopping Cart
If you are ready to order, navigate to Shopping Cart and get ready to checkout.
