Rabbit CLLD8/SETDB2 Polyclonal Antibody | anti-SETDB2 antibody
Anti-CLLD8/SETDB2 Antibody
Gene Names
SETDB2; CLLD8; CLLL8; KMT1F; C13orf4
Reactivity
Human, Mouse, Rat
Applications
Flow Cytometry, Functional Assay, Western Blot
Purity
Immunogen affinity purified.
Synonyms
CLLD8/SETDB2, Antibody; Anti-CLLD8/SETDB2 Antibody; Histone-lysine N-methyltransferase SETDB2; Chronic lymphocytic leukemia deletion region gene 8 protein; Lysine N-methyltransferase 1F; SET domain bifurcated 2; SETDB2; C13orf4; CLLD8; KMT1F; anti-SETDB2 antibody
Host
Rabbit
Reactivity
Human, Mouse, Rat
Clonality
Polyclonal
Isotype
IgG
Specificity
No cross reactivity with other proteins.
Purity/Purification
Immunogen affinity purified.
Form/Format
Lyophilized
Each vial contains 4mg Trehalose, 0.9mg NaCl, 0.2mg Na2HPO4, 0.05mg NaN3.
Each vial contains 4mg Trehalose, 0.9mg NaCl, 0.2mg Na2HPO4, 0.05mg NaN3.
Sequence Length
707
Applicable Applications for anti-SETDB2 antibody
FCM/FACS (Flow Cytometry), WB (Western Blot)
Immunogen
A synthetic peptide corresponding to a sequence of human CLLD8/SETDB2(QNVFVETHNRNFPLVAFFTNRYVKARTEL).
Reconstitution
Add 0.2ml of distilled water will yield a concentration of 500ug/ml.
Preparation and Storage
Store at -20 degree C for one year. After reconstitution, at 4 degree C for one month. It can also be aliquotted and stored frozen store at -20 degree C for a longer time. Avoid repeated freezing and thawing.
Related Product Information for anti-SETDB2 antibody
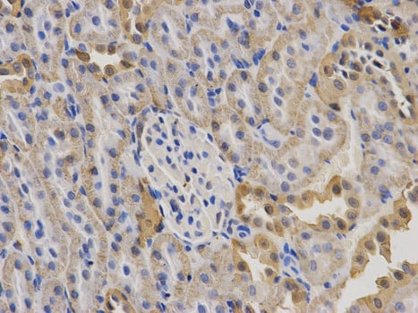
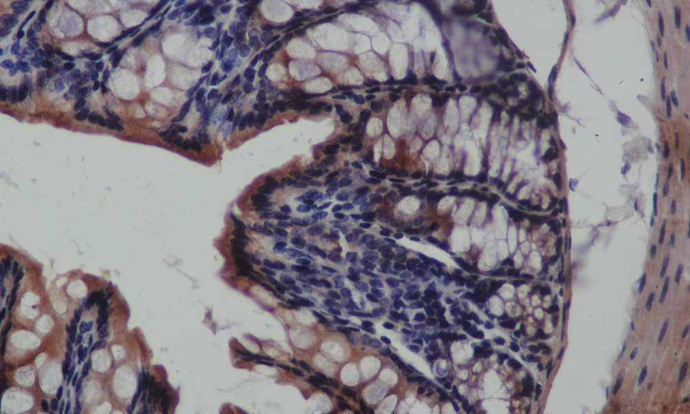
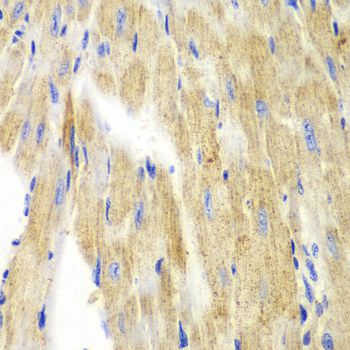
Description: Rabbit IgG polyclonal antibody for CLLD8/SETDB2 detection. Tested with WB, FCM in Human; Mouse; Rat.
Background: SET domain bifurcated histone lysine methyltransferase 2 is a protein in humans encoded by the SETDB2 gene. It is mapped to 13q14.2. This gene encodes a member of a family of proteins that contain a methyl-CpG-binding domain (MBD) and a SET domain and function as histone methyltransferases. This protein is recruited to heterochromatin and plays a role in the regulation of chromosome segregation. This region is commonly deleted in chronic lymphocytic leukemia. Naturally-occuring readthrough transcription occurs from this gene to the downstream PHF11 (PHD finger protein 11) gene. Alternative splicing results in multiple transcript variants.
Background: SET domain bifurcated histone lysine methyltransferase 2 is a protein in humans encoded by the SETDB2 gene. It is mapped to 13q14.2. This gene encodes a member of a family of proteins that contain a methyl-CpG-binding domain (MBD) and a SET domain and function as histone methyltransferases. This protein is recruited to heterochromatin and plays a role in the regulation of chromosome segregation. This region is commonly deleted in chronic lymphocytic leukemia. Naturally-occuring readthrough transcription occurs from this gene to the downstream PHF11 (PHD finger protein 11) gene. Alternative splicing results in multiple transcript variants.
References
1. Mabuchi, H., Fujii, H., Calin, G., Alder, H., Negrini, M., Rassenti, L., Kipps, T. J., Bullrich, F., Croce, C. M. Cloning and characterization of CLLD6, CLLD7, CLLD8, novel candidate genes for leukemogenesis at chromosome 13q14, a region commonly deleted in B-cell chronic lymphocytic leukemia. Cancer Res. 61: 2870-2877, 2001.
2. Zhang, Y., Leaves, N. I., Anderson, G. G., Ponting, C. P., Broxholme, J., Holt, R., Edser, P., Bhattacharyya, S., Dunham, A., Adcock, I. M., Pulleyn, L., Barnes, P. J., and 11 others. Positional cloning of a quantitative trait locus on chromosome 13q14 that influences immunoglobulin E levels and asthma. Nature Genet. 34: 181-186, 2003.
2. Zhang, Y., Leaves, N. I., Anderson, G. G., Ponting, C. P., Broxholme, J., Holt, R., Edser, P., Bhattacharyya, S., Dunham, A., Adcock, I. M., Pulleyn, L., Barnes, P. J., and 11 others. Positional cloning of a quantitative trait locus on chromosome 13q14 that influences immunoglobulin E levels and asthma. Nature Genet. 34: 181-186, 2003.
NCBI and Uniprot Product Information
NCBI GI #
NCBI GeneID
NCBI Accession #
NCBI GenBank Nucleotide #
UniProt Accession #
NCBI Official Full Name
histone-lysine N-methyltransferase SETDB2 isoform b
NCBI Official Synonym Full Names
SET domain bifurcated histone lysine methyltransferase 2
NCBI Official Symbol
SETDB2
NCBI Official Synonym Symbols
CLLD8; CLLL8; KMT1F; C13orf4
NCBI Protein Information
histone-lysine N-methyltransferase SETDB2
UniProt Protein Name
Histone-lysine N-methyltransferase SETDB2
UniProt Gene Name
SETDB2
UniProt Synonym Gene Names
C13orf4; CLLD8; KMT1F
UniProt Entry Name
SETB2_HUMAN
Customer Reviews
Loading reviews...
Share Your Experience
Similar Products
Product Notes
The SETDB2 setdb2 (Catalog #AAA125492) is an Antibody produced from Rabbit and is intended for research purposes only. The product is available for immediate purchase. The Anti-CLLD8/SETDB2 Antibody reacts with Human, Mouse, Rat and may cross-react with other species as described in the data sheet. AAA Biotech's CLLD8/SETDB2 can be used in a range of immunoassay formats including, but not limited to, FCM/FACS (Flow Cytometry), WB (Western Blot). Researchers should empirically determine the suitability of the SETDB2 setdb2 for an application not listed in the data sheet. Researchers commonly develop new applications and it is an integral, important part of the investigative research process. It is sometimes possible for the material contained within the vial of "CLLD8/SETDB2, Polyclonal Antibody" to become dispersed throughout the inside of the vial, particularly around the seal of said vial, during shipment and storage. We always suggest centrifuging these vials to consolidate all of the liquid away from the lid and to the bottom of the vial prior to opening. Please be advised that certain products may require dry ice for shipping and that, if this is the case, an additional dry ice fee may also be required.Precautions
All products in the AAA Biotech catalog are strictly for research-use only, and are absolutely not suitable for use in any sort of medical, therapeutic, prophylactic, in-vivo, or diagnostic capacity. By purchasing a product from AAA Biotech, you are explicitly certifying that said products will be properly tested and used in line with industry standard. AAA Biotech and its authorized distribution partners reserve the right to refuse to fulfill any order if we have any indication that a purchaser may be intending to use a product outside of our accepted criteria.Disclaimer
Though we do strive to guarantee the information represented in this datasheet, AAA Biotech cannot be held responsible for any oversights or imprecisions. AAA Biotech reserves the right to adjust any aspect of this datasheet at any time and without notice. It is the responsibility of the customer to inform AAA Biotech of any product performance issues observed or experienced within 30 days of receipt of said product. To see additional details on this or any of our other policies, please see our Terms & Conditions page.Item has been added to Shopping Cart
If you are ready to order, navigate to Shopping Cart and get ready to checkout.
