Host
Rabbit
Reactivity
Human
Clonality
Polyclonal
Specificity
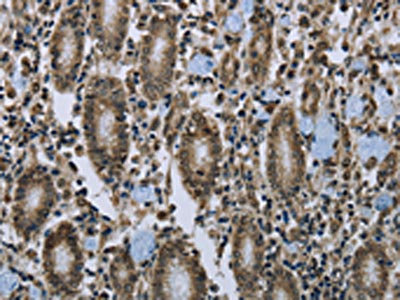
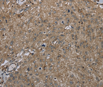
The antibody detects endogenous levels of total CLPS protein.
Purity/Purification
Antigen affinity purification.
Form/Format
Rabbit IgG in pH7.3 PBS, 0.05% NaN3, 50% Glycerol.
Concentration
2 mg/ml (varies by lot)
Sequence Length
112
Applicable Applications for anti-CLPS antibody
IHC (Immunohistochemistry)
Immunogen Type
Recombinant Protein
Immunogen Description
Fusion protein corresponding to a region derived from internal residues of human colipase, pancreatic
Target Name
CLPS
Preparation and Storage
Store at -20 degree C
Related Product Information for anti-CLPS antibody
The protein encoded by this gene is a cofactor needed by pancreatic lipase for efficient dietary lipid hydrolysis. It binds to the C-terminal, non-catalytic domain of lipase, thereby stabilizing an active conformation and considerably increasing the overall hydrophobic binding site. The gene product allows lipase to anchor noncovalently to the surface of lipid micelles, counteracting the destabilizing influence of intestinal bile salts. This cofactor is only expressed in pancreatic acinar cells, suggesting regulation of expression by tissue-specific elements. Three transcript variants encoding different isoforms have been found for this gene.
Product Categories/Family for anti-CLPS antibody
NCBI and Uniprot Product Information
NCBI GI #
NCBI GeneID
NCBI Accession #
NCBI GenBank Nucleotide #
Molecular Weight
11,954 Da
NCBI Official Full Name
colipase isoform 1 preproprotein
NCBI Official Synonym Full Names
colipase, pancreatic
NCBI Official Symbol
CLPS
NCBI Protein Information
colipase
UniProt Protein Name
Colipase
UniProt Gene Name
CLPS
UniProt Entry Name
COL_HUMAN
Customer Reviews
Loading reviews...
Share Your Experience
Similar Products
Product Notes
The CLPS clps (Catalog #AAA307688) is an Antibody produced from Rabbit and is intended for research purposes only. The product is available for immediate purchase. The CLPS Antibody reacts with Human and may cross-react with other species as described in the data sheet. AAA Biotech's CLPS can be used in a range of immunoassay formats including, but not limited to, IHC (Immunohistochemistry). Researchers should empirically determine the suitability of the CLPS clps for an application not listed in the data sheet. Researchers commonly develop new applications and it is an integral, important part of the investigative research process. It is sometimes possible for the material contained within the vial of "CLPS, Polyclonal Antibody" to become dispersed throughout the inside of the vial, particularly around the seal of said vial, during shipment and storage. We always suggest centrifuging these vials to consolidate all of the liquid away from the lid and to the bottom of the vial prior to opening. Please be advised that certain products may require dry ice for shipping and that, if this is the case, an additional dry ice fee may also be required.Precautions
All products in the AAA Biotech catalog are strictly for research-use only, and are absolutely not suitable for use in any sort of medical, therapeutic, prophylactic, in-vivo, or diagnostic capacity. By purchasing a product from AAA Biotech, you are explicitly certifying that said products will be properly tested and used in line with industry standard. AAA Biotech and its authorized distribution partners reserve the right to refuse to fulfill any order if we have any indication that a purchaser may be intending to use a product outside of our accepted criteria.Disclaimer
Though we do strive to guarantee the information represented in this datasheet, AAA Biotech cannot be held responsible for any oversights or imprecisions. AAA Biotech reserves the right to adjust any aspect of this datasheet at any time and without notice. It is the responsibility of the customer to inform AAA Biotech of any product performance issues observed or experienced within 30 days of receipt of said product. To see additional details on this or any of our other policies, please see our Terms & Conditions page.Item has been added to Shopping Cart
If you are ready to order, navigate to Shopping Cart and get ready to checkout.
