Rabbit anti-Human CMC4 Polyclonal Antibody | anti-CMC4 antibody
CMC4 Antibody
Gene Names
CMC4; p8; C6.1B; MTCP1; MTCP1B; MTCP1NB; p8MTCP1
Reactivity
Human
Applications
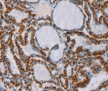
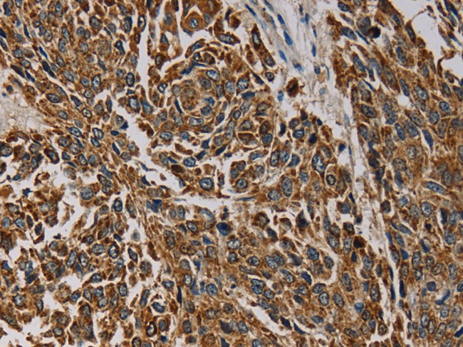
Immunohistochemistry
Purity
Antigen affinity purification.
Synonyms
CMC4, Antibody; CMC4 Antibody; p8; C6.1B; MTCP1; MTCP1B; MTCP1NB; p8MTCP1; anti-CMC4 antibody
Host
Rabbit
Reactivity
Human
Clonality
Polyclonal
Specificity
The antibody detects endogenous levels of total CMC4 protein.
Purity/Purification
Antigen affinity purification.
Form/Format
Rabbit IgG in pH7.3 PBS, 0.05% NaN3, 50% Glycerol.
Concentration
3.1 mg/ml (varies by lot)
Sequence Length
68
Applicable Applications for anti-CMC4 antibody
IHC (Immunohistochemistry)
Immunogen Type
Recombinant Protein
Immunogen Description
Full length fusion protein
Target Name
CMC4
Preparation and Storage
Store at -20 degree C
Related Product Information for anti-CMC4 antibody
This gene was identified by involvement in some t(X;14) translocations associated with mature T-cell proliferations. This region has a complex gene structure, with a common promoter and 5' exon spliced to two different sets of 3' exons that encode two different proteins. This gene represents the downstream 8 kDa protein that localizes to mitochondria.
Product Categories/Family for anti-CMC4 antibody
NCBI and Uniprot Product Information
NCBI GI #
NCBI GeneID
NCBI Accession #
NCBI GenBank Nucleotide #
Molecular Weight
12,600 Da
NCBI Official Full Name
cx9C motif-containing protein 4
NCBI Official Synonym Full Names
C-x(9)-C motif containing 4
NCBI Official Symbol
CMC4
NCBI Official Synonym Symbols
p8; C6.1B; MTCP1; MTCP1B; MTCP1NB; p8MTCP1
NCBI Protein Information
cx9C motif-containing protein 4
UniProt Protein Name
Cx9C motif-containing protein 4
UniProt Gene Name
CMC4
UniProt Synonym Gene Names
C6.1B; MTCP1; MTCP1NB; MTCP-1 type A; p8MTCP1
UniProt Entry Name
CMC4_HUMAN
Customer Reviews
Loading reviews...
Share Your Experience
Similar Products
Product Notes
The CMC4 cmc4 (Catalog #AAA306752) is an Antibody produced from Rabbit and is intended for research purposes only. The product is available for immediate purchase. The CMC4 Antibody reacts with Human and may cross-react with other species as described in the data sheet. AAA Biotech's CMC4 can be used in a range of immunoassay formats including, but not limited to, IHC (Immunohistochemistry). Researchers should empirically determine the suitability of the CMC4 cmc4 for an application not listed in the data sheet. Researchers commonly develop new applications and it is an integral, important part of the investigative research process. It is sometimes possible for the material contained within the vial of "CMC4, Polyclonal Antibody" to become dispersed throughout the inside of the vial, particularly around the seal of said vial, during shipment and storage. We always suggest centrifuging these vials to consolidate all of the liquid away from the lid and to the bottom of the vial prior to opening. Please be advised that certain products may require dry ice for shipping and that, if this is the case, an additional dry ice fee may also be required.Precautions
All products in the AAA Biotech catalog are strictly for research-use only, and are absolutely not suitable for use in any sort of medical, therapeutic, prophylactic, in-vivo, or diagnostic capacity. By purchasing a product from AAA Biotech, you are explicitly certifying that said products will be properly tested and used in line with industry standard. AAA Biotech and its authorized distribution partners reserve the right to refuse to fulfill any order if we have any indication that a purchaser may be intending to use a product outside of our accepted criteria.Disclaimer
Though we do strive to guarantee the information represented in this datasheet, AAA Biotech cannot be held responsible for any oversights or imprecisions. AAA Biotech reserves the right to adjust any aspect of this datasheet at any time and without notice. It is the responsibility of the customer to inform AAA Biotech of any product performance issues observed or experienced within 30 days of receipt of said product. To see additional details on this or any of our other policies, please see our Terms & Conditions page.Item has been added to Shopping Cart
If you are ready to order, navigate to Shopping Cart and get ready to checkout.
