Host
Rabbit
Reactivity
Human
Clonality
Polyclonal
Specificity
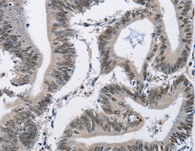
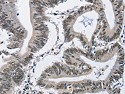
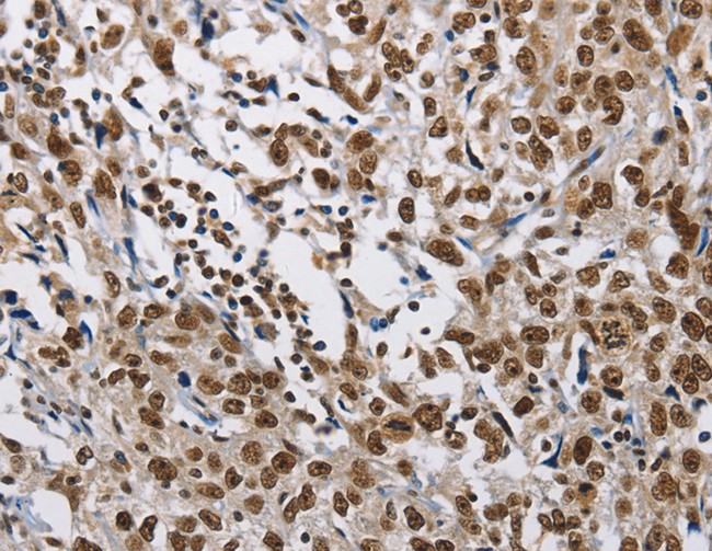
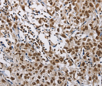
The antibody detects endogenous levels of total CMTM2 protein.
Purity/Purification
Antigen affinity purification.
Form/Format
Rabbit IgG in pH7.3 PBS, 0.05% NaN3, 50% Glycerol.
Concentration
2.8 mg/ml (varies by lot)
Sequence Length
195
Applicable Applications for anti-CMTM2 antibody
IHC (Immunohistochemistry)
Immunogen Type
Recombinant Protein
Immunogen Description
Fusion protein corresponding to residues near the N terminal of human CKLF-like MARVEL transmembrane domain containing 2
Target Name
CMTM2
Preparation and Storage
Store at -20 degree C
Related Product Information for anti-CMTM2 antibody
This gene belongs to the chemokine-like factor gene superfamily, a novel family that links the chemokine and the transmembrane 4 superfamilies of signaling molecules. The protein encoded by this gene may play an important role in testicular development.
Product Categories/Family for anti-CMTM2 antibody
NCBI and Uniprot Product Information
NCBI GI #
NCBI GeneID
NCBI Accession #
NCBI GenBank Nucleotide #
Molecular Weight
21,370 Da
NCBI Official Full Name
CKLF-like MARVEL transmembrane domain-containing protein 2 isoform 2
NCBI Official Synonym Full Names
CKLF-like MARVEL transmembrane domain containing 2
NCBI Official Symbol
CMTM2
NCBI Official Synonym Symbols
CKLFSF2
NCBI Protein Information
CKLF-like MARVEL transmembrane domain-containing protein 2
UniProt Protein Name
CKLF-like MARVEL transmembrane domain-containing protein 2
UniProt Gene Name
CMTM2
UniProt Synonym Gene Names
CKLFSF2
UniProt Entry Name
CKLF2_HUMAN
Customer Reviews
Loading reviews...
Share Your Experience
Similar Products
Product Notes
The CMTM2 cmtm2 (Catalog #AAA303845) is an Antibody produced from Rabbit and is intended for research purposes only. The product is available for immediate purchase. The CMTM2 Antibody reacts with Human and may cross-react with other species as described in the data sheet. AAA Biotech's CMTM2 can be used in a range of immunoassay formats including, but not limited to, IHC (Immunohistochemistry). Researchers should empirically determine the suitability of the CMTM2 cmtm2 for an application not listed in the data sheet. Researchers commonly develop new applications and it is an integral, important part of the investigative research process. It is sometimes possible for the material contained within the vial of "CMTM2, Polyclonal Antibody" to become dispersed throughout the inside of the vial, particularly around the seal of said vial, during shipment and storage. We always suggest centrifuging these vials to consolidate all of the liquid away from the lid and to the bottom of the vial prior to opening. Please be advised that certain products may require dry ice for shipping and that, if this is the case, an additional dry ice fee may also be required.Precautions
All products in the AAA Biotech catalog are strictly for research-use only, and are absolutely not suitable for use in any sort of medical, therapeutic, prophylactic, in-vivo, or diagnostic capacity. By purchasing a product from AAA Biotech, you are explicitly certifying that said products will be properly tested and used in line with industry standard. AAA Biotech and its authorized distribution partners reserve the right to refuse to fulfill any order if we have any indication that a purchaser may be intending to use a product outside of our accepted criteria.Disclaimer
Though we do strive to guarantee the information represented in this datasheet, AAA Biotech cannot be held responsible for any oversights or imprecisions. AAA Biotech reserves the right to adjust any aspect of this datasheet at any time and without notice. It is the responsibility of the customer to inform AAA Biotech of any product performance issues observed or experienced within 30 days of receipt of said product. To see additional details on this or any of our other policies, please see our Terms & Conditions page.Item has been added to Shopping Cart
If you are ready to order, navigate to Shopping Cart and get ready to checkout.
