Rabbit COL1A2 Polyclonal Antibody | anti-COL1A2 antibody
COL1A2 Polyclonal Antibody
Gene Names
COL1A2; OI4
Reactivity
Human, Mouse, Rat
Applications
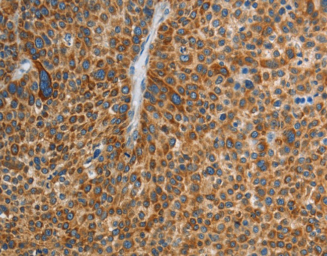
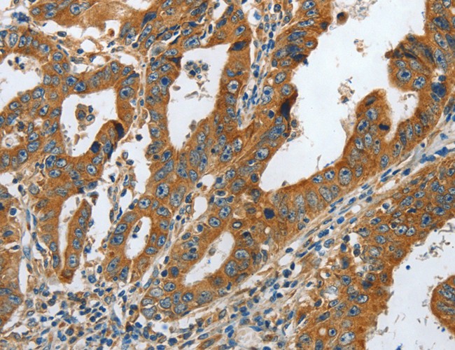
Immunohistochemistry, ELISA
Purity
Antigen affinity purification
Synonyms
COL1A2, Antibody; COL1A2 Polyclonal Antibody; OI4; anti-COL1A2 antibody
Host
Rabbit
Reactivity
Human, Mouse, Rat
Clonality
Polyclonal
Isotype
IgG
Purity/Purification
Antigen affinity purification
Concentration
0.8mg/mL (varies by lot)
Sequence Length
1366
Applicable Applications for anti-COL1A2 antibody
IHC (Immunohistochemistry), ELISA
Immunogen
Recombinant protein of human COL1A2
Buffer
PBS with 0.05% sodium azide, 50% glycerol, pH7.3
Preparation and Storage
Store at -20 degree C (regular) and -80 degree C (long term). Avoid freeze / thaw cycles.
Related Product Information for anti-COL1A2 antibody
This gene encodes the pro-alpha2 chain of type I collagen whose triple helix comprises two alpha1 chains and one alpha2 chain. Type I is a fibril-forming collagen found in most connective tissues and is abundant in bone, cornea, dermis and tendon. Mutations in this gene are associated with osteogenesis imperfecta types I-IV, Ehlers-Danlos syndrome type VIIB, recessive Ehlers-Danlos syndrome Classical type, idiopathic osteoporosis, and atypical Marfan syndrome. Symptoms associated with mutations in this gene, however, tend to be less severe than mutations in the gene for the alpha1 chain of type I collagen (COL1A1) reflecting the different role of alpha2 chains in matrix integrity. Three transcripts, resulting from the use of alternate polyadenylation signals, have been identified for this gene.
Product Categories/Family for anti-COL1A2 antibody
NCBI and Uniprot Product Information
NCBI GI #
NCBI GeneID
NCBI Accession #
NCBI GenBank Nucleotide #
Molecular Weight
129,314 Da
NCBI Official Full Name
collagen alpha-2(I) chain
NCBI Official Synonym Full Names
collagen, type I, alpha 2
NCBI Official Symbol
COL1A2
NCBI Official Synonym Symbols
OI4
NCBI Protein Information
collagen alpha-2(I) chain; collagen alpha-2(I) chain; alpha 2(I)-collagen; alpha-2 type I collagen; collagen I, alpha-2 polypeptide; collagen of skin, tendon and bone, alpha-2 chain; type I procollagen
UniProt Protein Name
Collagen alpha-2(I) chain
UniProt Gene Name
COL1A2
UniProt Entry Name
CO1A2_HUMAN
Similar Products
Product Notes
The COL1A2 col1a2 (Catalog #AAA170698) is an Antibody produced from Rabbit and is intended for research purposes only. The product is available for immediate purchase. The COL1A2 Polyclonal Antibody reacts with Human, Mouse, Rat and may cross-react with other species as described in the data sheet. AAA Biotech's COL1A2 can be used in a range of immunoassay formats including, but not limited to, IHC (Immunohistochemistry), ELISA. Researchers should empirically determine the suitability of the COL1A2 col1a2 for an application not listed in the data sheet. Researchers commonly develop new applications and it is an integral, important part of the investigative research process. It is sometimes possible for the material contained within the vial of "COL1A2, Polyclonal Antibody" to become dispersed throughout the inside of the vial, particularly around the seal of said vial, during shipment and storage. We always suggest centrifuging these vials to consolidate all of the liquid away from the lid and to the bottom of the vial prior to opening. Please be advised that certain products may require dry ice for shipping and that, if this is the case, an additional dry ice fee may also be required.Precautions
All products in the AAA Biotech catalog are strictly for research-use only, and are absolutely not suitable for use in any sort of medical, therapeutic, prophylactic, in-vivo, or diagnostic capacity. By purchasing a product from AAA Biotech, you are explicitly certifying that said products will be properly tested and used in line with industry standard. AAA Biotech and its authorized distribution partners reserve the right to refuse to fulfill any order if we have any indication that a purchaser may be intending to use a product outside of our accepted criteria.Disclaimer
Though we do strive to guarantee the information represented in this datasheet, AAA Biotech cannot be held responsible for any oversights or imprecisions. AAA Biotech reserves the right to adjust any aspect of this datasheet at any time and without notice. It is the responsibility of the customer to inform AAA Biotech of any product performance issues observed or experienced within 30 days of receipt of said product. To see additional details on this or any of our other policies, please see our Terms & Conditions page.Item has been added to Shopping Cart
If you are ready to order, navigate to Shopping Cart and get ready to checkout.
