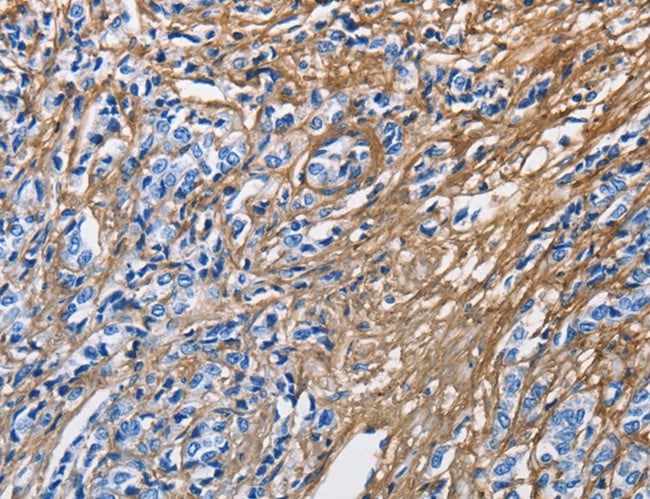
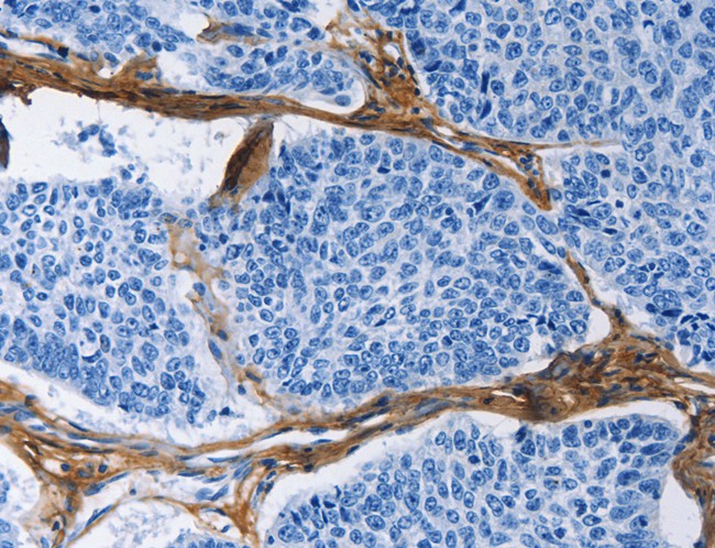
Rabbit COL3A1 Polyclonal Antibody | anti-COL3A1 antibody
COL3A1 Polyclonal Antibody
Gene Names
COL3A1; EDS4A
Reactivity
Human, Mouse, Rat
Applications
Immunohistochemistry, ELISA
Purity
Antigen affinity purification
Synonyms
COL3A1, Antibody; COL3A1 Polyclonal Antibody; EDS4A; anti-COL3A1 antibody
Host
Rabbit
Reactivity
Human, Mouse, Rat
Clonality
Polyclonal
Isotype
IgG
Purity/Purification
Antigen affinity purification
Concentration
2.5mg/mL (varies by lot)
Sequence Length
1466
Applicable Applications for anti-COL3A1 antibody
IHC (Immunohistochemistry), ELISA
Immunogen
Recombinant protein of human COL3A1
Buffer
PBS with 0.05% sodium azide, 50% glycerol, pH7.3
Preparation and Storage
Store at -20 degree C (regular) and -80 degree C (long term). Avoid freeze / thaw cycles.
Related Product Information for anti-COL3A1 antibody
This gene encodes the pro-alpha1 chains of type III collagen, a fibrillar collagen that is found in extensible connective tissues such as skin, lung, uterus, intestine and the vascular system, frequently in association with type I collagen. Mutations in this gene are associated with Ehlers-Danlos syndrome types IV, and with aortic and arterial aneurysms. Two transcripts, resulting from the use of alternate polyadenylation signals, have been identified for this gene.
Product Categories/Family for anti-COL3A1 antibody
NCBI and Uniprot Product Information
NCBI GI #
NCBI GeneID
NCBI Accession #
NCBI GenBank Nucleotide #
Molecular Weight
111,907 Da
NCBI Official Full Name
collagen alpha-1(III) chain preproprotein
NCBI Official Synonym Full Names
collagen, type III, alpha 1
NCBI Official Symbol
COL3A1
NCBI Official Synonym Symbols
EDS4A
NCBI Protein Information
collagen alpha-1(III) chain; collagen alpha-1(III) chain; Ehlers-Danlos syndrome type IV, autosomal dominant; alpha1 (III) collagen; collagen, fetal
UniProt Protein Name
Collagen alpha-1(III) chain
UniProt Gene Name
COL3A1
UniProt Entry Name
CO3A1_HUMAN
Similar Products
Product Notes
The COL3A1 col3a1 (Catalog #AAA166904) is an Antibody produced from Rabbit and is intended for research purposes only. The product is available for immediate purchase. The COL3A1 Polyclonal Antibody reacts with Human, Mouse, Rat and may cross-react with other species as described in the data sheet. AAA Biotech's COL3A1 can be used in a range of immunoassay formats including, but not limited to, IHC (Immunohistochemistry), ELISA. Researchers should empirically determine the suitability of the COL3A1 col3a1 for an application not listed in the data sheet. Researchers commonly develop new applications and it is an integral, important part of the investigative research process. It is sometimes possible for the material contained within the vial of "COL3A1, Polyclonal Antibody" to become dispersed throughout the inside of the vial, particularly around the seal of said vial, during shipment and storage. We always suggest centrifuging these vials to consolidate all of the liquid away from the lid and to the bottom of the vial prior to opening. Please be advised that certain products may require dry ice for shipping and that, if this is the case, an additional dry ice fee may also be required.Precautions
All products in the AAA Biotech catalog are strictly for research-use only, and are absolutely not suitable for use in any sort of medical, therapeutic, prophylactic, in-vivo, or diagnostic capacity. By purchasing a product from AAA Biotech, you are explicitly certifying that said products will be properly tested and used in line with industry standard. AAA Biotech and its authorized distribution partners reserve the right to refuse to fulfill any order if we have any indication that a purchaser may be intending to use a product outside of our accepted criteria.Disclaimer
Though we do strive to guarantee the information represented in this datasheet, AAA Biotech cannot be held responsible for any oversights or imprecisions. AAA Biotech reserves the right to adjust any aspect of this datasheet at any time and without notice. It is the responsibility of the customer to inform AAA Biotech of any product performance issues observed or experienced within 30 days of receipt of said product. To see additional details on this or any of our other policies, please see our Terms & Conditions page.Item has been added to Shopping Cart
If you are ready to order, navigate to Shopping Cart and get ready to checkout.
