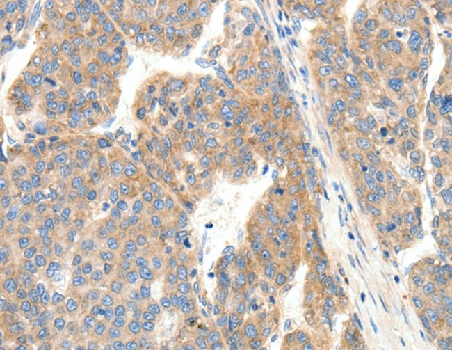
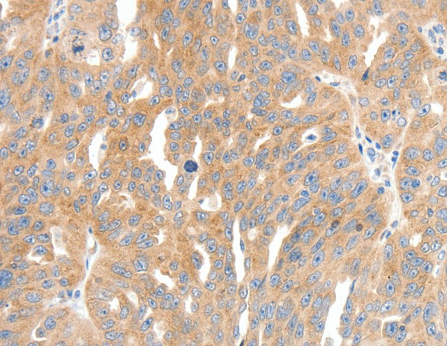
Rabbit COL4A1 Polyclonal Antibody | anti-COL4A1 antibody
COL4A1 Polyclonal Antibody
Gene Names
COL4A1; BSVD
Reactivity
Human, Mouse, Rat
Applications
Immunohistochemistry, ELISA
Purity
Antigen affinity purification
Synonyms
COL4A1, Antibody; COL4A1 Polyclonal Antibody; ICH; HANAC; POREN1; arresten; anti-COL4A1 antibody
Host
Rabbit
Reactivity
Human, Mouse, Rat
Clonality
Polyclonal
Isotype
IgG
Purity/Purification
Antigen affinity purification
Concentration
1mg/mL (varies by lot)
Sequence Length
519
Applicable Applications for anti-COL4A1 antibody
IHC (Immunohistochemistry), ELISA
Immunogen
Synthetic peptide of human COL4A1
Buffer
PBS with 0.05% sodium azide, 50% glycerol, pH7.3
Preparation and Storage
Store at -20 degree C (regular) and -80 degree C (long term). Avoid freeze / thaw cycles.
Related Product Information for anti-COL4A1 antibody
This gene encodes the major type IV alpha collagen chain of basement membranes. Like the other members of the type IV collagen gene family, this gene is organized in a head-to-head conformation with another type IV collagen gene so that each gene pair shares a common promoter.
Product Categories/Family for anti-COL4A1 antibody
NCBI and Uniprot Product Information
NCBI GI #
NCBI GeneID
NCBI Accession #
NCBI GenBank Nucleotide #
Molecular Weight
127,981 Da
NCBI Official Full Name
collagen alpha-1(IV) chain isoform 2
NCBI Official Synonym Full Names
collagen, type IV, alpha 1
NCBI Official Symbol
COL4A1
NCBI Official Synonym Symbols
BSVD
NCBI Protein Information
collagen alpha-1(IV) chain; collagen alpha-1(IV) chain; COL4A1 NC1 domain; arresten; collagen IV, alpha-1 polypeptide; collagen of basement membrane, alpha-1 chain
UniProt Protein Name
Collagen alpha-1(IV) chain
UniProt Gene Name
COL4A1
UniProt Entry Name
CO4A1_HUMAN
Similar Products
Product Notes
The COL4A1 col4a1 (Catalog #AAA169518) is an Antibody produced from Rabbit and is intended for research purposes only. The product is available for immediate purchase. The COL4A1 Polyclonal Antibody reacts with Human, Mouse, Rat and may cross-react with other species as described in the data sheet. AAA Biotech's COL4A1 can be used in a range of immunoassay formats including, but not limited to, IHC (Immunohistochemistry), ELISA. Researchers should empirically determine the suitability of the COL4A1 col4a1 for an application not listed in the data sheet. Researchers commonly develop new applications and it is an integral, important part of the investigative research process. It is sometimes possible for the material contained within the vial of "COL4A1, Polyclonal Antibody" to become dispersed throughout the inside of the vial, particularly around the seal of said vial, during shipment and storage. We always suggest centrifuging these vials to consolidate all of the liquid away from the lid and to the bottom of the vial prior to opening. Please be advised that certain products may require dry ice for shipping and that, if this is the case, an additional dry ice fee may also be required.Precautions
All products in the AAA Biotech catalog are strictly for research-use only, and are absolutely not suitable for use in any sort of medical, therapeutic, prophylactic, in-vivo, or diagnostic capacity. By purchasing a product from AAA Biotech, you are explicitly certifying that said products will be properly tested and used in line with industry standard. AAA Biotech and its authorized distribution partners reserve the right to refuse to fulfill any order if we have any indication that a purchaser may be intending to use a product outside of our accepted criteria.Disclaimer
Though we do strive to guarantee the information represented in this datasheet, AAA Biotech cannot be held responsible for any oversights or imprecisions. AAA Biotech reserves the right to adjust any aspect of this datasheet at any time and without notice. It is the responsibility of the customer to inform AAA Biotech of any product performance issues observed or experienced within 30 days of receipt of said product. To see additional details on this or any of our other policies, please see our Terms & Conditions page.Item has been added to Shopping Cart
If you are ready to order, navigate to Shopping Cart and get ready to checkout.
