Rabbit COL5A2/Collagen V Alpha 2 Polyclonal Antibody | anti-COL5A2 antibody
COL5A2/Collagen V Alpha 2 Rabbit anti-Human Polyclonal Antibody
Reactivity
Mouse, Rat, Human
Applications
Immunohistochemistry
Purity
Immunoaffinity purified
Synonyms
COL5A2/Collagen V Alpha 2, Antibody; COL5A2/Collagen V Alpha 2 Rabbit anti-Human Polyclonal Antibody; IHC-plus COL5A2/Collagen V Alpha 2 Antibody; COL5A2; AB collagen; Collagen; type V; alpha 2; Collagen alpha 2(v); Collagen alpha-2(V) chain; anti-COL5A2 antibody
Host
Rabbit
Reactivity
Mouse, Rat, Human
Clonality
Polyclonal
Specificity
COL5A2 pAb detects endogenous levels of COL5A2 protein.
Purity/Purification
Immunoaffinity purified
Form/Format
PBS, pH7.2, 15 mM Sodium Azide
Concentration
1mg/ml (varies by lot)
Applicable Applications for anti-COL5A2 antibody
IHC (Immunohistochemistry)
Target
Human COL5A2/Collagen V Alpha 2
Immunogen
Synthetic peptide from Human COL5A2.
Conjugation
Unconjugated
Family
Collagen
Preparation and Storage
Short term: store at 4 degree C. Long term: aliquot and store at -20 degree C. Avoid freeze-thaw cycles.
Related Product Information for anti-COL5A2 antibody
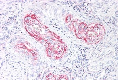
Collagen V Alpha 2 antibody is an unconjugated rabbit polyclonal antibody to Collagen V Alpha 2 (COL5A2) from human. It is reactive with human, mouse and rat. Validated for IHC. Tested on 20 paraffin-embedded human tissues.
NCBI and Uniprot Product Information
NCBI GI #
NCBI GeneID
NCBI Accession #
NCBI GenBank Nucleotide #
Molecular Weight
144,910 Da
NCBI Official Full Name
collagen alpha-2(V) chain preproprotein
NCBI Official Synonym Full Names
collagen, type V, alpha 2
NCBI Official Symbol
COL5A2
NCBI Protein Information
collagen alpha-2(V) chain; collagen alpha-2(V) chain; AB collagen; type V preprocollagen alpha 2 chain; collagen, fetal membrane, A polypeptide
UniProt Protein Name
Collagen alpha-2(V) chain
UniProt Gene Name
COL5A2
UniProt Entry Name
CO5A2_HUMAN
Customer Reviews
Loading reviews...
Share Your Experience
Similar Products
Product Notes
The COL5A2 col5a2 (Catalog #AAA162927) is an Antibody produced from Rabbit and is intended for research purposes only. The product is available for immediate purchase. The COL5A2/Collagen V Alpha 2 Rabbit anti-Human Polyclonal Antibody reacts with Mouse, Rat, Human and may cross-react with other species as described in the data sheet. AAA Biotech's COL5A2/Collagen V Alpha 2 can be used in a range of immunoassay formats including, but not limited to, IHC (Immunohistochemistry). Researchers should empirically determine the suitability of the COL5A2 col5a2 for an application not listed in the data sheet. Researchers commonly develop new applications and it is an integral, important part of the investigative research process. It is sometimes possible for the material contained within the vial of "COL5A2/Collagen V Alpha 2, Polyclonal Antibody" to become dispersed throughout the inside of the vial, particularly around the seal of said vial, during shipment and storage. We always suggest centrifuging these vials to consolidate all of the liquid away from the lid and to the bottom of the vial prior to opening. Please be advised that certain products may require dry ice for shipping and that, if this is the case, an additional dry ice fee may also be required.Precautions
All products in the AAA Biotech catalog are strictly for research-use only, and are absolutely not suitable for use in any sort of medical, therapeutic, prophylactic, in-vivo, or diagnostic capacity. By purchasing a product from AAA Biotech, you are explicitly certifying that said products will be properly tested and used in line with industry standard. AAA Biotech and its authorized distribution partners reserve the right to refuse to fulfill any order if we have any indication that a purchaser may be intending to use a product outside of our accepted criteria.Disclaimer
Though we do strive to guarantee the information represented in this datasheet, AAA Biotech cannot be held responsible for any oversights or imprecisions. AAA Biotech reserves the right to adjust any aspect of this datasheet at any time and without notice. It is the responsibility of the customer to inform AAA Biotech of any product performance issues observed or experienced within 30 days of receipt of said product. To see additional details on this or any of our other policies, please see our Terms & Conditions page.Item has been added to Shopping Cart
If you are ready to order, navigate to Shopping Cart and get ready to checkout.
