Rabbit anti-Human Complement factor D Polyclonal Antibody | anti-CFD antibody
Rabbit anti-human Complement factor D polyclonal Antibody(CFD)
Gene Names
CFD; DF; ADN; PFD; ADIPSIN
Reactivity
Human
Applications
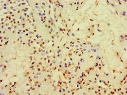
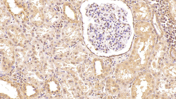
Immunohistochemistry, ELISA
Purity
Antigen Affinity Purified
Synonyms
Complement factor D, Antibody; Rabbit anti-human Complement factor D polyclonal Antibody(CFD); Adipsin; C3 convertase activator; Properdin factor D; CFD; DF; PFD; anti-CFD antibody
Host
Rabbit
Reactivity
Human
Clonality
Polyclonal
Isotype
IgG
Purity/Purification
Antigen Affinity Purified
Sequence Length
253
Applicable Applications for anti-CFD antibody
IHC (Immunohistochemistry), ELISA
Storage Buffer
PBS with 0.02% sodium azide, 50% glycerol, pH7.3.
Conjugate
Non-conjugated
Immunogen
Recombinant human Complement factor D protein (26-253aa)
Santa Cruz Alternative
Potential replacement for Santa Cruz Biotechnology antibody catalog# sc-12402 / sc-12403 / sc-12399 / sc-12400 / sc-50418
Preparation and Storage
Shipped at 4 degree C. Upon delivery aliquot and store at -20 degree C or -80 degree C. Avoid repeated freeze.
Related Product Information for anti-CFD antibody
Factor D cleaves factor B when the latter is complexed with factor C3b, activating the C3bbb complex, which then becomes the C3 convertase of the alternate pathway. Its function is homologous to that of C1s in the classical pathway.
NCBI and Uniprot Product Information
NCBI GI #
NCBI GeneID
NCBI Accession #
NCBI GenBank Nucleotide #
Molecular Weight
27,033 Da
NCBI Official Full Name
complement factor D isoform 1 preproprotein
NCBI Official Synonym Full Names
complement factor D (adipsin)
NCBI Official Symbol
CFD
NCBI Official Synonym Symbols
DF; ADN; PFD; ADIPSIN
NCBI Protein Information
complement factor D
UniProt Protein Name
Complement factor D
UniProt Gene Name
CFD
UniProt Synonym Gene Names
DF; PFD
UniProt Entry Name
CFAD_HUMAN
Customer Reviews
Loading reviews...
Share Your Experience
Similar Products
Product Notes
The CFD cfd (Catalog #AAA118842) is an Antibody produced from Rabbit and is intended for research purposes only. The product is available for immediate purchase. The Rabbit anti-human Complement factor D polyclonal Antibody(CFD) reacts with Human and may cross-react with other species as described in the data sheet. AAA Biotech's Complement factor D can be used in a range of immunoassay formats including, but not limited to, IHC (Immunohistochemistry), ELISA. Researchers should empirically determine the suitability of the CFD cfd for an application not listed in the data sheet. Researchers commonly develop new applications and it is an integral, important part of the investigative research process. It is sometimes possible for the material contained within the vial of "Complement factor D, Polyclonal Antibody" to become dispersed throughout the inside of the vial, particularly around the seal of said vial, during shipment and storage. We always suggest centrifuging these vials to consolidate all of the liquid away from the lid and to the bottom of the vial prior to opening. Please be advised that certain products may require dry ice for shipping and that, if this is the case, an additional dry ice fee may also be required.Precautions
All products in the AAA Biotech catalog are strictly for research-use only, and are absolutely not suitable for use in any sort of medical, therapeutic, prophylactic, in-vivo, or diagnostic capacity. By purchasing a product from AAA Biotech, you are explicitly certifying that said products will be properly tested and used in line with industry standard. AAA Biotech and its authorized distribution partners reserve the right to refuse to fulfill any order if we have any indication that a purchaser may be intending to use a product outside of our accepted criteria.Disclaimer
Though we do strive to guarantee the information represented in this datasheet, AAA Biotech cannot be held responsible for any oversights or imprecisions. AAA Biotech reserves the right to adjust any aspect of this datasheet at any time and without notice. It is the responsibility of the customer to inform AAA Biotech of any product performance issues observed or experienced within 30 days of receipt of said product. To see additional details on this or any of our other policies, please see our Terms & Conditions page.Item has been added to Shopping Cart
If you are ready to order, navigate to Shopping Cart and get ready to checkout.
