Rabbit COPS2 Polyclonal Antibody | anti-COPS2 antibody
COPS2 Polyclonal Antibody
Gene Names
COPS2; CSN2; SGN2; ALIEN; TRIP15
Reactivity
Human, Mouse, Rat
Applications
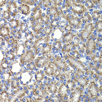
Immunofluorescence, Immunohistochemistry, Western Blot
Purity
Affinity Purification
Synonyms
COPS2, Antibody; COPS2 Polyclonal Antibody; ALIEN; Alien Drosophila himolog of; Alien homolog; COP 9; COP9; COP9 constitutive photomorphogenic homolog subunit 2 (Arabidopsis); COP9 constitutive photomorphogenic homolog subunit 2; COP9 signalosome complex subunit 2; COPS 2; Cops2; CSN2; JAB1 containing signalosome subunit 2; JAB1-containing signalosome subunit 2; SGN 2; SGN2; Signalosome subunit 2; Thyroid Hormone Receptor Interactor15; Thyroid Hormone Receptor Interactor 15; Thyroid receptor-interacting protein 15; TR-interacting protein 15; TRIP 15; TRIP-15; TRIP15; anti-COPS2 antibody
Host
Rabbit
Reactivity
Human, Mouse, Rat
Clonality
Polyclonal
Isotype
IgG
Purity/Purification
Affinity Purification
Form/Format
PBS with 0.02% sodium azide, 50% glycerol, pH7.3.
Concentration
1 mg/mL (varies by lot)
Sequence Length
450
Applicable Applications for anti-COPS2 antibody
IF (Immunofluorescence), IHC (Immunohistochemistry), WB (Western Blot)
Immunogen
Recombinant protein of human COPS2
Conjugation
Unconjugated
Preparation and Storage
Store at -20 degree C. Avoid freeze/thaw cycles.
Product Categories/Family for anti-COPS2 antibody
NCBI and Uniprot Product Information
NCBI GI #
NCBI GeneID
NCBI Accession #
NCBI GenBank Nucleotide #
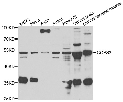
Molecular Weight
Calculated: 51kDa; 52kDa
Observed: 52kDa
Observed: 52kDa
NCBI Official Full Name
COP9 signalosome complex subunit 2 isoform 2
NCBI Official Synonym Full Names
COP9 signalosome subunit 2
NCBI Official Symbol
COPS2
NCBI Official Synonym Symbols
CSN2; SGN2; ALIEN; TRIP15
NCBI Protein Information
COP9 signalosome complex subunit 2
UniProt Protein Name
COP9 signalosome complex subunit 2
UniProt Gene Name
COPS2
UniProt Synonym Gene Names
CSN2; TRIP15; SGN2; Signalosome subunit 2; TR-interacting protein 15; TRIP-15
Customer Reviews
Loading reviews...
Share Your Experience
Similar Products
Product Notes
The COPS2 cops2 (Catalog #AAA174102) is an Antibody produced from Rabbit and is intended for research purposes only. The product is available for immediate purchase. The COPS2 Polyclonal Antibody reacts with Human, Mouse, Rat and may cross-react with other species as described in the data sheet. AAA Biotech's COPS2 can be used in a range of immunoassay formats including, but not limited to, IF (Immunofluorescence), IHC (Immunohistochemistry), WB (Western Blot). Researchers should empirically determine the suitability of the COPS2 cops2 for an application not listed in the data sheet. Researchers commonly develop new applications and it is an integral, important part of the investigative research process. It is sometimes possible for the material contained within the vial of "COPS2, Polyclonal Antibody" to become dispersed throughout the inside of the vial, particularly around the seal of said vial, during shipment and storage. We always suggest centrifuging these vials to consolidate all of the liquid away from the lid and to the bottom of the vial prior to opening. Please be advised that certain products may require dry ice for shipping and that, if this is the case, an additional dry ice fee may also be required.Precautions
All products in the AAA Biotech catalog are strictly for research-use only, and are absolutely not suitable for use in any sort of medical, therapeutic, prophylactic, in-vivo, or diagnostic capacity. By purchasing a product from AAA Biotech, you are explicitly certifying that said products will be properly tested and used in line with industry standard. AAA Biotech and its authorized distribution partners reserve the right to refuse to fulfill any order if we have any indication that a purchaser may be intending to use a product outside of our accepted criteria.Disclaimer
Though we do strive to guarantee the information represented in this datasheet, AAA Biotech cannot be held responsible for any oversights or imprecisions. AAA Biotech reserves the right to adjust any aspect of this datasheet at any time and without notice. It is the responsibility of the customer to inform AAA Biotech of any product performance issues observed or experienced within 30 days of receipt of said product. To see additional details on this or any of our other policies, please see our Terms & Conditions page.Item has been added to Shopping Cart
If you are ready to order, navigate to Shopping Cart and get ready to checkout.
