Rabbit anti-Human, Mouse CORO2B Polyclonal Antibody | anti-CORO2B antibody
CORO2B Polyclonal Antibody
Gene Names
CORO2B; CLIPINC
Reactivity
Human, Mouse
Applications
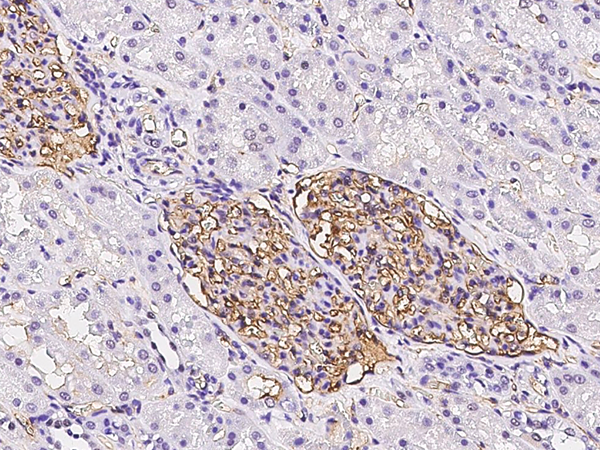
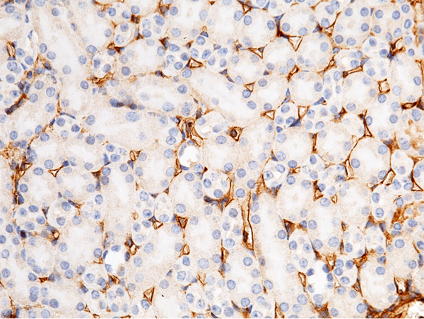
ELISA, Immunohistochemistry, Western Blot
Purity
Antigen Affinity Purification
Synonyms
CORO2B, Antibody; CORO2B Polyclonal Antibody; Actin binding protein; Clipin-C; CLIPINC; COR2B; CORO2B; Coronin actin binding protein 2B; Coronin; Coronin-2B; Coronin-like protein C; Protein FC96; anti-CORO2B antibody
Host
Rabbit
Reactivity
Human, Mouse
Clonality
Polyclonal
Isotype
IgG
Purity/Purification
Antigen Affinity Purification
Form/Format
PBS with 0.05% NaN3 and 40% Glycerol, pH7.4
Concentration
1.5mg/mL (varies by lot)
Sequence Length
475
Applicable Applications for anti-CORO2B antibody
ELISA, IHC (Immunohistochemistry), WB (Western Blot)
Immunogen
Synthetic peptide of human CORO2B
Conjugation
Unconjugated
Preparation and Storage
Store at -20 degree C. Avoid freeze/thaw cycles.
Related Product Information for anti-CORO2B antibody
Coronins are a family of WD repeat-containing, actin-binding proteins that localize to submembraneous areas and regulate cell motility and cytoskeletal rearrangement. Coronin 1A (CORO1A, CLIPINA, CLABP, TACO, p57) can form coiled coil-mediated homotrimeric complexes that influence early phagosome formation. PKC-dependent phosphorylation of Coronin 1B (CORO1B) at Serine 2 regulates leading edge dynamics and cell motility in fibroblasts through interactions with Arp2/3 complex. Coronin 1C (CORO1C, Coronin 3, HCRNN4) is abundant in differentiating Neuro-2a cells, PC-12 cells and primary oligodendrocytes, where it is thought to influence neuron morphogenesis and migration. Coronin 2A (CORO2A, CLIPINB, IR10, WDR2) is a component of the approximately 1.5-2 megadalton N-CoR (nuclear receptor corepressor) complex of 10-12 proteins, which recruits HDACs to generate repressive chromatin. Coronin 7 (CORO7, CRN7) localizes to the Golgi membrane and influences the organization of intracellular membrane compartments and vesicular trafficking. Coronin 2B (CORO2B, CLIPINC) and Coronin 6 (CORO6) are similar to other members of this family, since they possess a conserved basic N-terminal motif and 3-10 WD repeats clustered in one to two core domains.
Product Categories/Family for anti-CORO2B antibody
NCBI and Uniprot Product Information
NCBI GI #
NCBI GeneID
NCBI Accession #
NCBI GenBank Nucleotide #
UniProt Accession #
Molecular Weight
55 kDa
NCBI Official Full Name
coronin-2B isoform 2
NCBI Official Synonym Full Names
coronin 2B
NCBI Official Symbol
CORO2B
NCBI Official Synonym Symbols
CLIPINC
NCBI Protein Information
coronin-2B
UniProt Protein Name
Coronin-2B
UniProt Gene Name
CORO2B
UniProt Synonym Gene Names
KIAA0925; Clipin-C
UniProt Entry Name
COR2B_HUMAN
Customer Reviews
Loading reviews...
Share Your Experience
Similar Products
Product Notes
The CORO2B coro2b (Catalog #AAA175933) is an Antibody produced from Rabbit and is intended for research purposes only. The product is available for immediate purchase. The CORO2B Polyclonal Antibody reacts with Human, Mouse and may cross-react with other species as described in the data sheet. AAA Biotech's CORO2B can be used in a range of immunoassay formats including, but not limited to, ELISA, IHC (Immunohistochemistry), WB (Western Blot). Researchers should empirically determine the suitability of the CORO2B coro2b for an application not listed in the data sheet. Researchers commonly develop new applications and it is an integral, important part of the investigative research process. It is sometimes possible for the material contained within the vial of "CORO2B, Polyclonal Antibody" to become dispersed throughout the inside of the vial, particularly around the seal of said vial, during shipment and storage. We always suggest centrifuging these vials to consolidate all of the liquid away from the lid and to the bottom of the vial prior to opening. Please be advised that certain products may require dry ice for shipping and that, if this is the case, an additional dry ice fee may also be required.Precautions
All products in the AAA Biotech catalog are strictly for research-use only, and are absolutely not suitable for use in any sort of medical, therapeutic, prophylactic, in-vivo, or diagnostic capacity. By purchasing a product from AAA Biotech, you are explicitly certifying that said products will be properly tested and used in line with industry standard. AAA Biotech and its authorized distribution partners reserve the right to refuse to fulfill any order if we have any indication that a purchaser may be intending to use a product outside of our accepted criteria.Disclaimer
Though we do strive to guarantee the information represented in this datasheet, AAA Biotech cannot be held responsible for any oversights or imprecisions. AAA Biotech reserves the right to adjust any aspect of this datasheet at any time and without notice. It is the responsibility of the customer to inform AAA Biotech of any product performance issues observed or experienced within 30 days of receipt of said product. To see additional details on this or any of our other policies, please see our Terms & Conditions page.Item has been added to Shopping Cart
If you are ready to order, navigate to Shopping Cart and get ready to checkout.
