Rabbit COVID 19 Spike S Coronavirus Polyclonal Antibody | anti-COVID-19 antibody
SARS-COV-2 S Spike protein
Applications
Immunohistochemistry, Western Blot, ELISA
Purity
The Rabbit IgG is purified by Epitope Affinity Purification
Synonyms
COVID 19 Spike S Coronavirus, Antibody; SARS-COV-2 S Spike protein; 2019 Novel Coronavirus; Coronavirus; CoV; COVID-19 virus; HCoV-2; Human Coronavirus 2019; SARS2; SARS-CoV-2; Severe acute respiratory syndrome coronavirus 2; Spike S; anti-COVID-19 antibody
Host
Rabbit
Clonality
Polyclonal
Isotype
IgG
Specificity
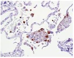
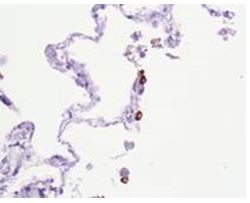
This antibody recognizes ~SARS-CoV2 Spike protein. This antibody has been tested in human infected tissues.
Purity/Purification
The Rabbit IgG is purified by Epitope Affinity Purification
Form/Format
This affinity purified antibody is supplied in sterile Phosphate buffered saline (pH7.2) containing antibody stabilizer
Applicable Applications for anti-COVID-19 antibody
IHC (Immunohistochemistry), WB (Western Blot), ELISA
Preparation
A synthetic peptide derived from C-term sequence of SARS-COV-2 Spike protein
Preparation and Storage
The antibodies are stable for 12 months from date of receipt when stored at –20 degree C to –70 degree C. The antibodies can be stored at 2oC-8oC for three-month without detectable loss of activity. Avoid repeated freezing-thawing cycles.
Related Product Information for anti-COVID-19 antibody
The SARS-CoV-2 virion contains four structural proteins: E (envelope), M (membrane), S (spike), and N (nucleocapsid) proteins. The N protein holds the RNA genome, and the S, E, and M proteins form the viral envelope. Coronavirus S protein is a large, multifunctional class I viral transmembrane protein. It is required for the entry of the virion particles into the cell through a contact with host cellular receptors. The S-protein of coronavirus consists of S1 and S2 functional units. S1 is responsible for host receptor binding, S2 is in charge of fusion.
Coronaviruses are a family of viruses that can cause diseases in animals and humans that vary between the common cold and more severe diseases that include severe acute respiratory syndrome (SARS) and Middle East respiratory syndrome (MERS). SARS-CoV-2 belongs to the broad family of coronaviruses. It is an enveloped positive-sense RNA virus. SARS-CoV-2 contains four structural proteins: E (envelope), M (membrane), S (spike), and N (nucleocapsid) proteins.
Coronavirus S protein is a large, multifunctional class I viral transmembrane protein. It is required for the entry of the virion particles into the cell through a contact with host cellular receptors. The S-protein of coronavirus consists of S1 and S2 functional units. S1 is responsible for host receptor binding, S2 is in charge of fusion. The nucleocapsid (N) is a 45 kDa protein, one of the major structural proteins of the virus. It binds directly to viral RNA and provides stability. It is involved in viral RNA transcription and replication, packaging of the genome into helical ribonucleocapsid, and interference with cell cycle processes of host cells.
Since its discovery in late December 2019, the novel coronavirus-related pneumonia COVID-19 continues to disseminate. Studies indicate that lung involvement is present in many cases, SARS-CoV-2 invades the lung parenchyma, resulting in severe interstitial inflammation of the lungs. It was shown before that histological examination indicated bilateral diffuse alveolar damage with cellular fibromyxoid exudates. Chest computer tomography displays the presence of lesions in lung lobes.
Our polyclonal antibodies can detect the presence of nucleocapsid (N) and spike (S) proteins in tissues of SARS-CoV-2 infected individuals.
Coronaviruses are a family of viruses that can cause diseases in animals and humans that vary between the common cold and more severe diseases that include severe acute respiratory syndrome (SARS) and Middle East respiratory syndrome (MERS). SARS-CoV-2 belongs to the broad family of coronaviruses. It is an enveloped positive-sense RNA virus. SARS-CoV-2 contains four structural proteins: E (envelope), M (membrane), S (spike), and N (nucleocapsid) proteins.
Coronavirus S protein is a large, multifunctional class I viral transmembrane protein. It is required for the entry of the virion particles into the cell through a contact with host cellular receptors. The S-protein of coronavirus consists of S1 and S2 functional units. S1 is responsible for host receptor binding, S2 is in charge of fusion. The nucleocapsid (N) is a 45 kDa protein, one of the major structural proteins of the virus. It binds directly to viral RNA and provides stability. It is involved in viral RNA transcription and replication, packaging of the genome into helical ribonucleocapsid, and interference with cell cycle processes of host cells.
Since its discovery in late December 2019, the novel coronavirus-related pneumonia COVID-19 continues to disseminate. Studies indicate that lung involvement is present in many cases, SARS-CoV-2 invades the lung parenchyma, resulting in severe interstitial inflammation of the lungs. It was shown before that histological examination indicated bilateral diffuse alveolar damage with cellular fibromyxoid exudates. Chest computer tomography displays the presence of lesions in lung lobes.
Our polyclonal antibodies can detect the presence of nucleocapsid (N) and spike (S) proteins in tissues of SARS-CoV-2 infected individuals.
References
Jiansheng Huang, et. al. J Clin Med. 2020 Apr; 9(4): 1131 Kui L, et al. Chin Med J 2020133:1025–1031 Van Elslande J,et al. Clin Microbiol Infect. 2020 Aug;26(8):1082-1087.
NCBI and Uniprot Product Information
Customer Reviews
Loading reviews...
Share Your Experience
Similar Products
Product Notes
The COVID-19 (Catalog #AAA71442) is an Antibody produced from Rabbit and is intended for research purposes only. The product is available for immediate purchase. AAA Biotech's COVID 19 Spike S Coronavirus can be used in a range of immunoassay formats including, but not limited to, IHC (Immunohistochemistry), WB (Western Blot), ELISA. Researchers should empirically determine the suitability of the COVID-19 for an application not listed in the data sheet. Researchers commonly develop new applications and it is an integral, important part of the investigative research process. It is sometimes possible for the material contained within the vial of "COVID 19 Spike S Coronavirus, Polyclonal Antibody" to become dispersed throughout the inside of the vial, particularly around the seal of said vial, during shipment and storage. We always suggest centrifuging these vials to consolidate all of the liquid away from the lid and to the bottom of the vial prior to opening. Please be advised that certain products may require dry ice for shipping and that, if this is the case, an additional dry ice fee may also be required.Precautions
All products in the AAA Biotech catalog are strictly for research-use only, and are absolutely not suitable for use in any sort of medical, therapeutic, prophylactic, in-vivo, or diagnostic capacity. By purchasing a product from AAA Biotech, you are explicitly certifying that said products will be properly tested and used in line with industry standard. AAA Biotech and its authorized distribution partners reserve the right to refuse to fulfill any order if we have any indication that a purchaser may be intending to use a product outside of our accepted criteria.Disclaimer
Though we do strive to guarantee the information represented in this datasheet, AAA Biotech cannot be held responsible for any oversights or imprecisions. AAA Biotech reserves the right to adjust any aspect of this datasheet at any time and without notice. It is the responsibility of the customer to inform AAA Biotech of any product performance issues observed or experienced within 30 days of receipt of said product. To see additional details on this or any of our other policies, please see our Terms & Conditions page.Item has been added to Shopping Cart
If you are ready to order, navigate to Shopping Cart and get ready to checkout.
