Rabbit anti-Human COX8A Polyclonal Antibody | anti-COX8A antibody
COX8A Antibody
Gene Names
COX8A; COX; COX8; VIII; COX8L; COX8-2; VIII-L
Reactivity
Human
Applications
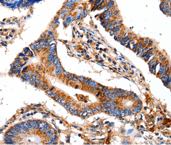
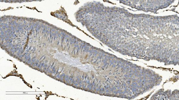
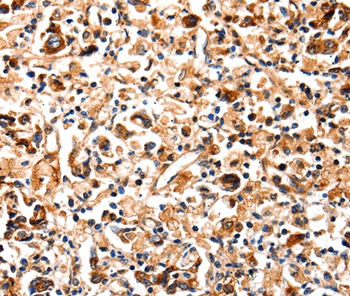
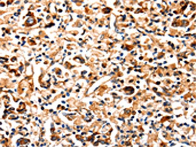
Immunohistochemistry
Purity
Antigen affinity purification.
Synonyms
COX8A, Antibody; COX8A Antibody; COX; COX8; VIII; COX8L; COX8-2; VIII-L; anti-COX8A antibody
Host
Rabbit
Reactivity
Human
Clonality
Polyclonal
Specificity
The antibody detects endogenous levels of total COX8A protein.
Purity/Purification
Antigen affinity purification.
Form/Format
Rabbit IgG in pH7.3 PBS, 0.05% NaN3, 50% Glycerol.
Concentration
0.5 mg/ml (varies by lot)
Sequence Length
69
Applicable Applications for anti-COX8A antibody
IHC (Immunohistochemistry)
Immunogen Type
Recombinant Protein
Immunogen Description
Fusion protein corresponding to a region derived from internal residues of human cytochrome c oxidase subunit VIIIA (ubiquitous)
Target Name
COX8A
Preparation and Storage
Store at -20 degree C
Related Product Information for anti-COX8A antibody
The protein encoded by this gene is the terminal enzyme of the respiratory chain, coupling the transfer of electrons from cytochrome c to molecular oxygen, with the concomitant production of a proton electrochemical gradient across the inner mitochondrial membrane. In addition to 3 mitochondrially encoded subunits, which perform the catalytic function, the eukaryotic enzyme contains nuclear-encoded smaller subunits, ranging in number from 4 in some organisms to 10 in mammals. It has been proposed that nuclear-encoded subunits may be involved in the modulation of the catalytic function. This gene encodes one of the nuclear-encoded subunits.
Product Categories/Family for anti-COX8A antibody
NCBI and Uniprot Product Information
NCBI GI #
NCBI GeneID
NCBI Accession #
NCBI GenBank Nucleotide #
Molecular Weight
7,579 Da
NCBI Official Full Name
cytochrome c oxidase subunit 8A, mitochondrial
NCBI Official Synonym Full Names
cytochrome c oxidase subunit VIIIA (ubiquitous)
NCBI Official Symbol
COX8A
NCBI Official Synonym Symbols
COX; COX8; VIII; COX8L; COX8-2; VIII-L
NCBI Protein Information
cytochrome c oxidase subunit 8A, mitochondrial
UniProt Protein Name
Cytochrome c oxidase subunit 8A, mitochondrial
UniProt Gene Name
COX8A
UniProt Synonym Gene Names
COX8; COX8L
UniProt Entry Name
COX8A_HUMAN
Customer Reviews
Loading reviews...
Share Your Experience
Similar Products
Product Notes
The COX8A cox8a (Catalog #AAA307065) is an Antibody produced from Rabbit and is intended for research purposes only. The product is available for immediate purchase. The COX8A Antibody reacts with Human and may cross-react with other species as described in the data sheet. AAA Biotech's COX8A can be used in a range of immunoassay formats including, but not limited to, IHC (Immunohistochemistry). Researchers should empirically determine the suitability of the COX8A cox8a for an application not listed in the data sheet. Researchers commonly develop new applications and it is an integral, important part of the investigative research process. It is sometimes possible for the material contained within the vial of "COX8A, Polyclonal Antibody" to become dispersed throughout the inside of the vial, particularly around the seal of said vial, during shipment and storage. We always suggest centrifuging these vials to consolidate all of the liquid away from the lid and to the bottom of the vial prior to opening. Please be advised that certain products may require dry ice for shipping and that, if this is the case, an additional dry ice fee may also be required.Precautions
All products in the AAA Biotech catalog are strictly for research-use only, and are absolutely not suitable for use in any sort of medical, therapeutic, prophylactic, in-vivo, or diagnostic capacity. By purchasing a product from AAA Biotech, you are explicitly certifying that said products will be properly tested and used in line with industry standard. AAA Biotech and its authorized distribution partners reserve the right to refuse to fulfill any order if we have any indication that a purchaser may be intending to use a product outside of our accepted criteria.Disclaimer
Though we do strive to guarantee the information represented in this datasheet, AAA Biotech cannot be held responsible for any oversights or imprecisions. AAA Biotech reserves the right to adjust any aspect of this datasheet at any time and without notice. It is the responsibility of the customer to inform AAA Biotech of any product performance issues observed or experienced within 30 days of receipt of said product. To see additional details on this or any of our other policies, please see our Terms & Conditions page.Item has been added to Shopping Cart
If you are ready to order, navigate to Shopping Cart and get ready to checkout.
