Rabbit Cpn10 Polyclonal Antibody | anti-HSPE1 antibody
Anti-Cpn10 antibody
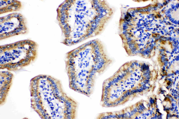
IHC (Immunohistochemisry)
(Anti-Cpn10 antibody, AAA45158, IHC(P)IHC(P): Human Intestinal Cancer Tissue)
WB (Western Blot)
(Anti-Cpn10 antibody, AAA45158, Western blottingAll lanes: Anti Cpn10 (AAA45158) at 0.5ug/mlLane 1: Rat Thymus Tissue Lysate at 50ugLane 2: Rat Brain Tissue Lysate at 50ugLane 3: Rat Ovary Tissue Lysate at 50ugLane 4: Rat Testis Tissue Lysate at 50ugLane 5: A431 Whole Cell Lysate at 40ugLane 6: A549 Whole Cell Lysate at 40ugLane 7: MCF-7 Whole Cell Lysate at 40ugLane 8: MM231 Whole Cell Lysate at 40ugLane 9: HELA Whole Cell Lysate at 40ugPredicted bind size: 11KDObserved bind size: 11KD)
Background: HSPE1(heat shock 10kDa protein 1(chaperonin 10)), also called CPN10, GROES, CHAPERONIN 10 HOMOLOG, cpn10 HOMOLOG or HSP10, is a protein that in humans is encoded by the HSPE1 gene. GroES is a heptameric ring of identical 10.4-kD subunits that binds to each end of GroEL to form a symmetric, functional heterodimer. The HSP10 gene consists of 4 exons. The HSPE1 gene is mapped to 2q33.1. The transcriptional activity of the promoter fragment in the HSP60 direction is approximately twice that in the HSP10 direction under normal growth conditions; upon heat shock, promoter activity in either direction increased by a factor of approximately 12. Mutational drifts performed in vitro with 4 different enzymes indicated the GroES overexpression doubled the number of accumulating mutations, and promoted the folding of enzyme variants carrying mutations in the protein core and/or mutations with higher destabilizing effects.
NCBI and Uniprot Product Information
Customer Reviews
Loading reviews...
Share Your Experience
Similar Products
Product Notes
The HSPE1 hspe1 (Catalog #AAA45158) is an Antibody produced from Rabbit and is intended for research purposes only. The product is available for immediate purchase. The Anti-Cpn10 antibody reacts with Human, Mouse, Rat and may cross-react with other species as described in the data sheet. AAA Biotech's Cpn10 can be used in a range of immunoassay formats including, but not limited to, ICC (Immunocytochemistry), IHC (Immunohistochemistry), WB (Western Blot). Researchers should empirically determine the suitability of the HSPE1 hspe1 for an application not listed in the data sheet. Researchers commonly develop new applications and it is an integral, important part of the investigative research process. It is sometimes possible for the material contained within the vial of "Cpn10, Polyclonal Antibody" to become dispersed throughout the inside of the vial, particularly around the seal of said vial, during shipment and storage. We always suggest centrifuging these vials to consolidate all of the liquid away from the lid and to the bottom of the vial prior to opening. Please be advised that certain products may require dry ice for shipping and that, if this is the case, an additional dry ice fee may also be required.Precautions
All products in the AAA Biotech catalog are strictly for research-use only, and are absolutely not suitable for use in any sort of medical, therapeutic, prophylactic, in-vivo, or diagnostic capacity. By purchasing a product from AAA Biotech, you are explicitly certifying that said products will be properly tested and used in line with industry standard. AAA Biotech and its authorized distribution partners reserve the right to refuse to fulfill any order if we have any indication that a purchaser may be intending to use a product outside of our accepted criteria.Disclaimer
Though we do strive to guarantee the information represented in this datasheet, AAA Biotech cannot be held responsible for any oversights or imprecisions. AAA Biotech reserves the right to adjust any aspect of this datasheet at any time and without notice. It is the responsibility of the customer to inform AAA Biotech of any product performance issues observed or experienced within 30 days of receipt of said product. To see additional details on this or any of our other policies, please see our Terms & Conditions page.Item has been added to Shopping Cart
If you are ready to order, navigate to Shopping Cart and get ready to checkout.
