Rabbit anti-Human, Mouse CREB-BP Polyclonal Antibody | anti-CREB-BP antibody
CREB-BP Antibody
Phosphate buffered saline, pH 7.4, 150mM NaCl, 0.02% sodium azide and 50% glycerol.
IF (Immunofluorescence)
(AAA320786 staining MCF-7 cells by IF/ICC. The sample were fixed with PFA and permeabilized in 0.1% Triton X-100, then blocked in 10% serum for 45 minutes at 25 degree C. The primary antibody was diluted at 1/200 and incubated with the sample for 1 hour at 37 degree C. An Alexa Fluor 594 conjugated goat anti-rabbit IgG (H+L) antibody, diluted at 1/600, was used as secondary antibody.)
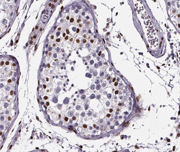
IHC (Immunohistochemisry)
(AAA320786 at 1/200 staining human testis tissue sections by IHC-P. The tissue was formaldehyde fixed and a heat mediated antigen retrieval step in citrate buffer was performed. The tissue was then blocked and incubated with the antibody for 1.5 hours at 22 degree C. An HRP conjugated goat anti-rabbit antibody was used as the secondary.)
WB (Western Blot)
(Western blot analysis on HeLa cell lysate using CREB-BP Antibody, The lane on the left is treated with the antigen-specific peptide.)
IF (Immunofluorescence)
(AAA320786 staining HeLa cells by IF/ICC. The sample were fixed with PFA and permeabilized in 0.1% Triton X-100, then blocked in 10% serum for 45 minutes at 25 degree C. The primary antibody was diluted at 1/200 and incubated with the sample for 1 hour at 37 degree C. An Alexa Fluor 594 conjugated goat anti-rabbit IgG (H+L) antibody, diluted at 1/600, was used as secondary antibody.)
Function: Acetylates histones, giving a specific tag for transcriptional activation. Also acetylates non-histone proteins, like NCOA3 and FOXO1. Binds specifically to phosphorylated CREB and enhances its transcriptional activity toward cAMP-responsive genes. Acts as a coactivator of ALX1. Acts as a circadian transcriptional coactivator which enhances the activity of the circadian transcriptional activators: NPAS2-ARNTL/BMAL1 and CLOCK-ARNTL/BMAL1 heterodimers. Acetylates PCNA; acetylation promotes removal of chromatin-bound PCNA and its degradation during nucleotide excision repair (NER) (PubMed:24939902).
Subunit Structure: Found in a complex containing NCOA2; NCOA3; IKKA; IKKB and IKBKG. Probably part of a complex with HIF1A and EP300. Interacts with GATA1; the interaction results in acetylation and enhancement of transcriptional activity of GATA1. Interacts with MAF AND ZCCHC12. Interacts with DAXX; the interaction is dependent on CBP sumoylation and results in suppression of the transcriptional activity via recruitment of HDAC2 to DAXX (By similarity). Interacts with phosphorylated CREB1. Interacts with CITED4 (C-terminal region). Interacts (via the TAZ-type 1 domain) with HIF1A. Interacts with SRCAP, CARM1, ELF3, MLLT7/FOXO4, N4BP2, NCOA1, NCOA3, NCOA6, PCAF, DDX5, DDX17, PELP1, PML, SMAD1, SMAD2, SMAD3, SPIB and TRERF1. Interacts with HTLV-1 Tax and p30II. Interacts with HIV-1 Tat. Interacts with KLF1; the interaction results in acetylation of KLF1 and enhancement of its transcriptional activity. Interacts with MTDH. Interacts with NFATC4. Interacts with MAFG; the interaction acetylates MAFG in the basic region and stimulates NFE2 transcriptional activity through increasing its DNA-binding activity. Interacts with IRF2; the interaction acetylates IRF2 and regulates its activity on the H4 promoter. Interacts (via N-terminus) with SS18L1/CREST (via C-terminus). Interacts with MECOM. Interacts with CITED1 (via C-terminus). Interacts with FOXO1; the interaction acetylates FOXO1 and inhibits its transcriptional activity. Interacts with human herpes virus 8/HHV-8 protein vIRF-1; this interaction inhibits CREBBP binding to IRF3. Interacts with NPAS2, CLOCK and ARNTL/BMAL1. Interacts with ASF1A and ASF1B; this promotes histone acetylation. Interacts with acetylated TP53/p53 and with the acetylated histones H3 and H4. Interacts (via transactivation domain and C-terminus) with PCNA; the interaction occurs on chromatin in UV-irradiated damaged cells (PubMed:24939902). Interacts with DHX9 (via N-terminus); this interaction mediates association with RNA polymerase II holoenzyme and stimulates CREB-dependent transcriptional activation (PubMed:9323138).
Post-translational Modifications: Methylation of the KIX domain by CARM1 blocks association with CREB. This results in the blockade of CREB signaling, and in activation of apoptotic response (By similarity). Phosphorylated by CHUK/IKKA at Ser-1382 and Ser-1386; these phosphorylations promote cell growth by switching the binding preference of CREBBP from TP53 to NF-kappa-B. Sumoylation negatively regulates transcriptional activity via the recruitment of DAAX. Autoacetylation is required for binding to protein substrates, such as acetylated histones and acetylated TP53/p53.
Similarity: The KIX domain mediates binding to HIV-1 Tat.
NCBI and Uniprot Product Information
Predicted: 266 kDa
Customer Reviews
Loading reviews...
Share Your Experience
Similar Products
Product Notes
The CREB-BP crebbp (Catalog #AAA320786) is an Antibody produced from Rabbit and is intended for research purposes only. The product is available for immediate purchase. The CREB-BP Antibody reacts with Human, Mouse and may cross-react with other species as described in the data sheet. AAA Biotech's CREB-BP can be used in a range of immunoassay formats including, but not limited to, ELISA, ICC (Immunocytochemistry), IF (Immunofluorescence), IHC (Immunohistochemistry), WB (Western Blot). Researchers should empirically determine the suitability of the CREB-BP crebbp for an application not listed in the data sheet. Researchers commonly develop new applications and it is an integral, important part of the investigative research process. It is sometimes possible for the material contained within the vial of "CREB-BP, Polyclonal Antibody" to become dispersed throughout the inside of the vial, particularly around the seal of said vial, during shipment and storage. We always suggest centrifuging these vials to consolidate all of the liquid away from the lid and to the bottom of the vial prior to opening. Please be advised that certain products may require dry ice for shipping and that, if this is the case, an additional dry ice fee may also be required.Precautions
All products in the AAA Biotech catalog are strictly for research-use only, and are absolutely not suitable for use in any sort of medical, therapeutic, prophylactic, in-vivo, or diagnostic capacity. By purchasing a product from AAA Biotech, you are explicitly certifying that said products will be properly tested and used in line with industry standard. AAA Biotech and its authorized distribution partners reserve the right to refuse to fulfill any order if we have any indication that a purchaser may be intending to use a product outside of our accepted criteria.Disclaimer
Though we do strive to guarantee the information represented in this datasheet, AAA Biotech cannot be held responsible for any oversights or imprecisions. AAA Biotech reserves the right to adjust any aspect of this datasheet at any time and without notice. It is the responsibility of the customer to inform AAA Biotech of any product performance issues observed or experienced within 30 days of receipt of said product. To see additional details on this or any of our other policies, please see our Terms & Conditions page.Item has been added to Shopping Cart
If you are ready to order, navigate to Shopping Cart and get ready to checkout.
