Rabbit CREBBP/CREB Binding Protein Polyclonal Antibody | anti-CREBBP antibody
CREBBP/CREB Binding Protein Rabbit anti-Human Polyclonal (C-Terminus) Antibody
IHC (Immunohistochemistry)
(CREBBP/CREB Binding Protein Antibody-Immunohistochemical analysis of CBP staining in human tonsil formalin fixed paraffin embedded tissue section. The section was pre-treated using heat mediated antigen retrieval with sodium citrate buffer (pH 6.0). The section was then incubated with the antibody at room temperature and detected using an HRP conjugated compact polymer system. DAB was used as the chromogen. The section was then counterstained with hematoxylin and mounted with DPX.)
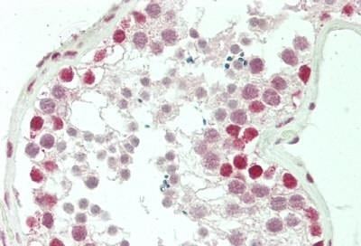
IHC (Immunohistochemisry)
(CREBBP/CREB Binding Protein Antibody-Human Testis: Formalin-Fixed, Paraffin-Embedded (FFPE))
WB (Western Blot)
(CREBBP/CREB Binding Protein Antibody-Western blot analysis of CBP expression in HeLa (A); A431 (B); HT29 (C); A549 (D) whole cell lysates.)
ICC (Immunocytochemistry)
(CREBBP/CREB Binding Protein Antibody-Immunofluorescent analysis of CBP staining in A431 cells. Formalin-fixed cells were permeabilized with 0.1% Triton X-100 in TBS for 5-10 minutes and blocked with 3% BSA-PBS for 30 minutes at room temperature. Cells were probed with the primary antibody in 3% BSA-PBS and incubated overnight at 4 C in a humidified chamber. Cells were washed with PBST and incubated with a DyLight 594-conjugated secondary antibody (red) in PBS at room temperature in the dark. DAPI was used to stain the cell nuclei (blue).)
NCBI and Uniprot Product Information
Customer Reviews
Loading reviews...
Share Your Experience
Similar Products
Product Notes
The CREBBP crebbp (Catalog #AAA162774) is an Antibody produced from Rabbit and is intended for research purposes only. The product is available for immediate purchase. The CREBBP/CREB Binding Protein Rabbit anti-Human Polyclonal (C-Terminus) Antibody reacts with Chicken, Bovine, Mouse, Dog, Rat, Pig, Human and may cross-react with other species as described in the data sheet. AAA Biotech's CREBBP/CREB Binding Protein can be used in a range of immunoassay formats including, but not limited to, WB (Western Blot), IHC (Immunohistochemistry), IHC (Immunohistochemistry), IF (Immunofluorescence), ICC (Immunocytochemistry). Researchers should empirically determine the suitability of the CREBBP crebbp for an application not listed in the data sheet. Researchers commonly develop new applications and it is an integral, important part of the investigative research process. It is sometimes possible for the material contained within the vial of "CREBBP/CREB Binding Protein, Polyclonal Antibody" to become dispersed throughout the inside of the vial, particularly around the seal of said vial, during shipment and storage. We always suggest centrifuging these vials to consolidate all of the liquid away from the lid and to the bottom of the vial prior to opening. Please be advised that certain products may require dry ice for shipping and that, if this is the case, an additional dry ice fee may also be required.Precautions
All products in the AAA Biotech catalog are strictly for research-use only, and are absolutely not suitable for use in any sort of medical, therapeutic, prophylactic, in-vivo, or diagnostic capacity. By purchasing a product from AAA Biotech, you are explicitly certifying that said products will be properly tested and used in line with industry standard. AAA Biotech and its authorized distribution partners reserve the right to refuse to fulfill any order if we have any indication that a purchaser may be intending to use a product outside of our accepted criteria.Disclaimer
Though we do strive to guarantee the information represented in this datasheet, AAA Biotech cannot be held responsible for any oversights or imprecisions. AAA Biotech reserves the right to adjust any aspect of this datasheet at any time and without notice. It is the responsibility of the customer to inform AAA Biotech of any product performance issues observed or experienced within 30 days of receipt of said product. To see additional details on this or any of our other policies, please see our Terms & Conditions page.Item has been added to Shopping Cart
If you are ready to order, navigate to Shopping Cart and get ready to checkout.
