Rabbit CRM1 Polyclonal Antibody | anti-XPO1 antibody
Anti-CRM1 Antibody
No cross reactivity with other proteins.
No cross reactivity with other proteins.
Immunohistochemisry Paraffin: 0.5-1mug/ml; Tested Species: Human, Mouse, Rat
Tested Species:In-house tested species with positive results.
By Heat: Boiling the paraffin sections in 10mM citrate buffer, pH6.0, for 20mins is required for the staining of formalin/paraffin sections.
Other applications have not been tested.
IHC (Immunohistochemistry)
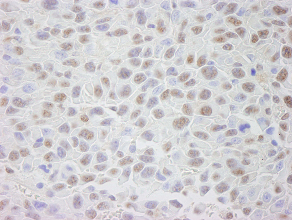
(Figure 7. IHC analysis of CRM1 using anti-CRM1 antibody (AAA11673).CRM1 was detected in frozen section of rat testis tissue. Heat mediated antigen retrieval was performed in citrate buffer (pH6, epitope retrieval solution) for 20 mins. The tissue section was blocked with 10% goat serum. The tissue section was then incubated with 1ug/ml rabbit anti-CRM1 Antibody (AAA11673) overnight at 4 degree C. Biotinylated goat anti-rabbit IgG was used as secondary antibody and incubated for 30 minutes at 37 degree C. The tissue section was developed using Strepavidin-Biotin-Complex (SABC) with DAB as the chromogen.)
IHC (Immunohistchemistry)
(Figure 6. IHC analysis of CRM1 using anti-CRM1 antibody (AAA11673).CRM1 was detected in frozen section of rat intestine tissue. Heat mediated antigen retrieval was performed in citrate buffer (pH6, epitope retrieval solution) for 20 mins. The tissue section was blocked with 10% goat serum. The tissue section was then incubated with 1ug/ml rabbit anti-CRM1 Antibody (AAA11673) overnight at 4 degree C. Biotinylated goat anti-rabbit IgG was used as secondary antibody and incubated for 30 minutes at 37 degree C. The tissue section was developed using Strepavidin-Biotin-Complex (SABC) with DAB as the chromogen.)
IHC (Immunohistochemistry)
(Figure 5. IHC analysis of CRM1 using anti-CRM1 antibody (AAA11673).CRM1 was detected in frozen section of mouse intestine tissue. Heat mediated antigen retrieval was performed in citrate buffer (pH6, epitope retrieval solution) for 20 mins. The tissue section was blocked with 10% goat serum. The tissue section was then incubated with 1ug/ml rabbit anti-CRM1 Antibody (AAA11673) overnight at 4 degree C. Biotinylated goat anti-rabbit IgG was used as secondary antibody and incubated for 30 minutes at 37 degree C. The tissue section was developed using Strepavidin-Biotin-Complex (SABC) with DAB as the chromogen.)
IHC (Immunohistochemistry)
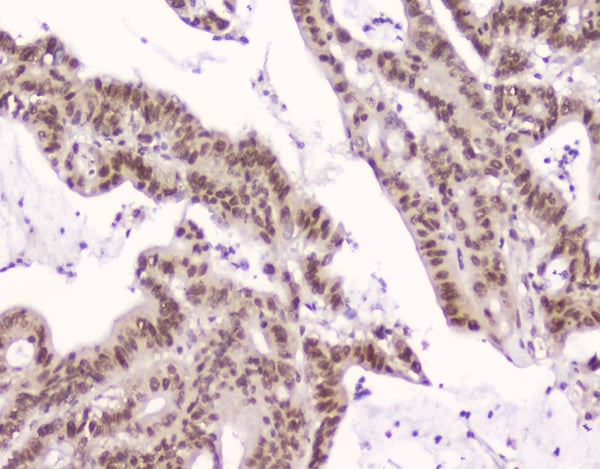
(CRM1 was detected in paraffin-embedded sections of human intestinal cancer tissues using rabbit anti- CRM1 Antigen Affinity purified polyclonal antibody at 1ug/mL. The immunohistochemical section was developed using SABC method.)
IHC (Immunohistochemistry)
(CRM1 was detected in paraffin-embedded sections of rat testis tissues using rabbit anti- CRM1 Antigen Affinity purified polyclonal antibody at 1ug/mL. The immunohistochemical section was developed using SABC method.)
IHC (Immunohistochemistry)
(CRM1 was detected in paraffin-embedded sections of mouse intestine tissues using rabbit anti- CRM1 Antigen Affinity purified polyclonal antibody at 1ug/mL. The immunohistochemical section was developed using SABC method.)
WB (Western Blot)
(Western blot analysis of CRM1 expression in rat cardiac muscle extract (lane 1), mouse brain extract (lane 2) and A549 whole cell lysates (lane 3). CRM1 at 123KD was detected using rabbit anti-CRM1 Antigen Affinity purified polyclonal antibody at 0.5 ug/mL. The blot was developed using chemiluminescence (ECL) method.)
Background: Exportin 1 (XPO1), also known as chromosomal maintenance 1 (CRM1), is an eukaryotic protein that mapped to human chromosome 2p16 by fluorescence in situ hybridization. This protein mediates leucine-rich nuclear export signal (NES)-dependent protein transport. It specifically inhibits the nuclear export of Rev and U snRNAs. Additionally, this protein is involved in the control of several cellular processes by controlling the localization of cyclin B, MPAK, and MAPKAP kinase 2. It also regulates NFAT and AP-1.
2. Fornerod, M., van Baal, S., Valentine, V., Shapiro, D. N., Grosveld, G. Chromosomal localization of genes encoding CAN/Nup214-interacting proteins--human CRM1 localizes to 2p16, whereas Nup88 localizes to 17p13 and is physically linked to SF2p32. Genomics 42: 538-540, 1997.
3. Kudo, N., Khochbin, S., Nishi, K., Kitano, K., Yanagida, M., Yoshida, M., Horinouchi, S. Molecular cloning and cell cycle-dependent expression of mammalian CRM1, a protein involved in nuclear export of proteins. J. Biol. Chem. 272: 29742-29751, 1997.
NCBI and Uniprot Product Information
Customer Reviews
Loading reviews...
Share Your Experience
Similar Products
Product Notes
The XPO1 xpo1 (Catalog #AAA11673) is an Antibody produced from Rabbit and is intended for research purposes only. The product is available for immediate purchase. The Anti-CRM1 Antibody reacts with Human, Mouse, Rat No cross reactivity with other proteins. and may cross-react with other species as described in the data sheet. AAA Biotech's CRM1 can be used in a range of immunoassay formats including, but not limited to, WB (Western Blot), IHC (Immunohistochemistry). Western Blot: 0.1-0.5mug/ml; Tested Species: Human, Mouse, Rat Immunohistochemisry Paraffin: 0.5-1mug/ml; Tested Species: Human, Mouse, Rat Tested Species:In-house tested species with positive results. By Heat: Boiling the paraffin sections in 10mM citrate buffer, pH6.0, for 20mins is required for the staining of formalin/paraffin sections. Other applications have not been tested. Researchers should empirically determine the suitability of the XPO1 xpo1 for an application not listed in the data sheet. Researchers commonly develop new applications and it is an integral, important part of the investigative research process. It is sometimes possible for the material contained within the vial of "CRM1, Polyclonal Antibody" to become dispersed throughout the inside of the vial, particularly around the seal of said vial, during shipment and storage. We always suggest centrifuging these vials to consolidate all of the liquid away from the lid and to the bottom of the vial prior to opening. Please be advised that certain products may require dry ice for shipping and that, if this is the case, an additional dry ice fee may also be required.Precautions
All products in the AAA Biotech catalog are strictly for research-use only, and are absolutely not suitable for use in any sort of medical, therapeutic, prophylactic, in-vivo, or diagnostic capacity. By purchasing a product from AAA Biotech, you are explicitly certifying that said products will be properly tested and used in line with industry standard. AAA Biotech and its authorized distribution partners reserve the right to refuse to fulfill any order if we have any indication that a purchaser may be intending to use a product outside of our accepted criteria.Disclaimer
Though we do strive to guarantee the information represented in this datasheet, AAA Biotech cannot be held responsible for any oversights or imprecisions. AAA Biotech reserves the right to adjust any aspect of this datasheet at any time and without notice. It is the responsibility of the customer to inform AAA Biotech of any product performance issues observed or experienced within 30 days of receipt of said product. To see additional details on this or any of our other policies, please see our Terms & Conditions page.Item has been added to Shopping Cart
If you are ready to order, navigate to Shopping Cart and get ready to checkout.
