Rabbit CRSP6 Polyclonal Antibody | anti-MED17 antibody
CRSP6 antibody - N-terminal region
WB (Western Blot)
(WB Suggested Anti-CRSP6 Antibody Titration: 0.2-1 ug/mlELISA Titer: 1:12500Positive Control: HepG2 cell lysateMED17 is supported by BioGPS gene expression data to be expressed in HepG2)
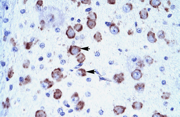
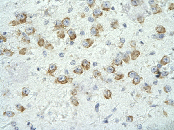
IHC (Immunohistochemisry)
(Rabbit Anti-MED17 AntibodyParaffin Embedded Tissue: Human neural cellCellular Data: Epithelial cells of renal tubuleAntibody Concentration: 4.0-8.0 ug/mlMagnification: 400X)
ChIP (Chromatin Immunoprecipitation)
(Quiescent human colon carcinoma HCT116 cultures were treated with 10% FBS for three time points (0, 15, 30min) or (0, 30, 60min) were used in Matrix-ChIP and real-time PCR assays at EGR1 gene (Exon1) and 15kb upstream site.)
Target Description: The activation of gene transcription is a multistep process that is triggered by factors that recognize transcriptional enhancer sites in DNA. These factors work with co-activators to direct transcriptional initiation by the RNA polymerase II apparatus. The protein encoded by CRSP6 is a subunit of the CRSP (cofactor required for SP1 activation) complex, which, along with TFIID, is required for efficient activation by SP1. This protein is also a component of other multisubunit complexes e.g. thyroid hormone receptor-(TR-) associated proteins which interact with TR and facilitate TR function on DNA templates in conjunction with initiation factors and cofactors.
NCBI and Uniprot Product Information
Customer Reviews
Loading reviews...
Share Your Experience
Similar Products
Product Notes
The MED17 med17 (Catalog #AAA197751) is an Antibody produced from Rabbit and is intended for research purposes only. The product is available for immediate purchase. The CRSP6 antibody - N-terminal region reacts with Cow, Dog, Guinea Pig, Horse, Human, Mouse, Rabbit, Rat and may cross-react with other species as described in the data sheet. AAA Biotech's CRSP6 can be used in a range of immunoassay formats including, but not limited to, ChIP (Chromatin immunoprecipitation), WB (Western Blot), IHC (Immunohistochemistry). Researchers should empirically determine the suitability of the MED17 med17 for an application not listed in the data sheet. Researchers commonly develop new applications and it is an integral, important part of the investigative research process. The amino acid sequence is listed below: Synthetic peptide located within the following region: AAQILLKGAE RLTKSVTENQ ENKLQRDFNS ELLRLRQHWK LRKVGDKILG. It is sometimes possible for the material contained within the vial of "CRSP6, Polyclonal Antibody" to become dispersed throughout the inside of the vial, particularly around the seal of said vial, during shipment and storage. We always suggest centrifuging these vials to consolidate all of the liquid away from the lid and to the bottom of the vial prior to opening. Please be advised that certain products may require dry ice for shipping and that, if this is the case, an additional dry ice fee may also be required.Precautions
All products in the AAA Biotech catalog are strictly for research-use only, and are absolutely not suitable for use in any sort of medical, therapeutic, prophylactic, in-vivo, or diagnostic capacity. By purchasing a product from AAA Biotech, you are explicitly certifying that said products will be properly tested and used in line with industry standard. AAA Biotech and its authorized distribution partners reserve the right to refuse to fulfill any order if we have any indication that a purchaser may be intending to use a product outside of our accepted criteria.Disclaimer
Though we do strive to guarantee the information represented in this datasheet, AAA Biotech cannot be held responsible for any oversights or imprecisions. AAA Biotech reserves the right to adjust any aspect of this datasheet at any time and without notice. It is the responsibility of the customer to inform AAA Biotech of any product performance issues observed or experienced within 30 days of receipt of said product. To see additional details on this or any of our other policies, please see our Terms & Conditions page.Item has been added to Shopping Cart
If you are ready to order, navigate to Shopping Cart and get ready to checkout.
