Rabbit CRX Polyclonal Antibody | anti-CRX antibody
CRX Antibody
Gene Names
CRX; CRD; LCA7; OTX3; CORD2
Reactivity
Human, Mouse, Rat
Applications
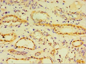
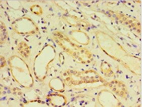
Immunohistochemistry, Western Blot
Purity
Antibodies were purified by affinity purification using immunogen.
Synonyms
CRX, Antibody; CRX Antibody; CRD; LCA7; OTX3; CORD2; anti-CRX antibody
Host
Rabbit
Reactivity
Human, Mouse, Rat
Clonality
Polyclonal
Specificity
The antibody detects endogenous level of total CRX protein.
Purity/Purification
Antibodies were purified by affinity purification using immunogen.
Form/Format
Supplied at 1.0mg/mL in phosphate buffered saline (without Mg2+ and Ca2+), pH 7.4, 150mM NaCl, 0.02% sodium azide and 50% glycerol.
Concentration
1.0 mg/ml (varies by lot)
Applicable Applications for anti-CRX antibody
IHC (Immunohistochemistry), WB (Western Blot)
Immunogen Type
Recombinant Protein
Immunogen Description
Recombinant protein of human CRX.
Target Name
CRX
Preparation and Storage
Store at -20°C.
Related Product Information for anti-CRX antibody
The protein encoded by this gene is a photoreceptor-specific transcription factor which plays a role in the differentiation of photoreceptor cells. This homeodomain protein is necessary for the maintenance of normal cone and rod function. Mutations in this gene are associated with photoreceptor degeneration, Leber congenital amaurosis type III and the autosomal dominant cone-rod dystrophy 2. Several alternatively spliced transcript variants of this gene have been described, but the full-length nature of some variants has not been determined.
Product Categories/Family for anti-CRX antibody
NCBI and Uniprot Product Information
NCBI GI #
NCBI GeneID
NCBI Accession #
NCBI GenBank Nucleotide #
Molecular Weight
SDS-PAGE MW: 32KD
NCBI Official Full Name
cone-rod homeobox protein
NCBI Official Synonym Full Names
cone-rod homeobox
NCBI Official Symbol
CRX
NCBI Official Synonym Symbols
CRD; LCA7; OTX3; CORD2
NCBI Protein Information
cone-rod homeobox protein
UniProt Protein Name
Cone-rod homeobox protein
UniProt Gene Name
CRX
UniProt Synonym Gene Names
CORD2
UniProt Entry Name
CRX_HUMAN
Customer Reviews
Loading reviews...
Share Your Experience
Similar Products
Product Notes
The CRX crx (Catalog #AAA301959) is an Antibody produced from Rabbit and is intended for research purposes only. The product is available for immediate purchase. The CRX Antibody reacts with Human, Mouse, Rat and may cross-react with other species as described in the data sheet. AAA Biotech's CRX can be used in a range of immunoassay formats including, but not limited to, IHC (Immunohistochemistry), WB (Western Blot). Researchers should empirically determine the suitability of the CRX crx for an application not listed in the data sheet. Researchers commonly develop new applications and it is an integral, important part of the investigative research process. It is sometimes possible for the material contained within the vial of "CRX, Polyclonal Antibody" to become dispersed throughout the inside of the vial, particularly around the seal of said vial, during shipment and storage. We always suggest centrifuging these vials to consolidate all of the liquid away from the lid and to the bottom of the vial prior to opening. Please be advised that certain products may require dry ice for shipping and that, if this is the case, an additional dry ice fee may also be required.Precautions
All products in the AAA Biotech catalog are strictly for research-use only, and are absolutely not suitable for use in any sort of medical, therapeutic, prophylactic, in-vivo, or diagnostic capacity. By purchasing a product from AAA Biotech, you are explicitly certifying that said products will be properly tested and used in line with industry standard. AAA Biotech and its authorized distribution partners reserve the right to refuse to fulfill any order if we have any indication that a purchaser may be intending to use a product outside of our accepted criteria.Disclaimer
Though we do strive to guarantee the information represented in this datasheet, AAA Biotech cannot be held responsible for any oversights or imprecisions. AAA Biotech reserves the right to adjust any aspect of this datasheet at any time and without notice. It is the responsibility of the customer to inform AAA Biotech of any product performance issues observed or experienced within 30 days of receipt of said product. To see additional details on this or any of our other policies, please see our Terms & Conditions page.Item has been added to Shopping Cart
If you are ready to order, navigate to Shopping Cart and get ready to checkout.
