Rabbit CRY1 Polyclonal Antibody | anti-CRY1 antibody
CRY1 antibody - N-terminal region
Predicted Species Reactivity: Human, Mouse, Rat, Cow, Dog, Guinea Pig, Horse, Rabbit, Sheep, Zebrafish
Predicted Species Reactivity: Human, Mouse, Rat, Cow, Dog, Guinea Pig, Horse, Rabbit, Sheep, Zebrafish
WB (Western Blot)
(Host: RabbitTarget Name: CRY1Sample Type: Hela Whole cellLane A: Primary Antibody ; Lane B: Primary Antibody + Blocking PeptidePrimary Antibody Concentration: 1ug/mlPeptide Concentration: 5ug/mlLysate Quantity: 25ug/laneGel Concentration: 0.12%)
WB (Western Blot)
(Host: RabbitTarget Name: CRY1Sample Tissue: Human Hela Whole CellAntibody Dilution: 1ug/ml)
WB (Western Blot)
(Host: RabbitTarget Name: CRY1Sample Tissue: Human Liver TumorAntibody Dilution: 1ug/ml)
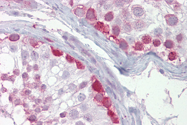
IHC (Immunohistochemistry)
(Immunohistochemistry with Testis tissue at an antibody concentration of 5ug/ml using anti-CRY1 antibody)
Target Description: CRY1 is the blue light-dependent regulator of the circadian feedback loop. CRY1 inhibits CLOCK NPAS2-ARNTL E box-mediated transcription. CRY1 acts, in conjunction with CRY2, in maintaining period length and circadian rhythmicity. CRY1 has no photolyase activity. CRY1 is capable of translocating circadian clock core proteins such as PER proteins to the nucleus. CRY1 may inhibit CLOCK NPAS2-ARNTL transcriptional activity through stabilizing the unphosphorylated form of ARNTL.
NCBI and Uniprot Product Information
Customer Reviews
Loading reviews...
Share Your Experience
Similar Products
Product Notes
The CRY1 cry1 (Catalog #AAA200964) is an Antibody produced from Rabbit and is intended for research purposes only. The product is available for immediate purchase. The CRY1 antibody - N-terminal region reacts with Tested Species Reactivity: Human Predicted Species Reactivity: Human, Mouse, Rat, Cow, Dog, Guinea Pig, Horse, Rabbit, Sheep, Zebrafish and may cross-react with other species as described in the data sheet. AAA Biotech's CRY1 can be used in a range of immunoassay formats including, but not limited to, WB (Western Blot), IHC (Immunohistochemistry). Researchers should empirically determine the suitability of the CRY1 cry1 for an application not listed in the data sheet. Researchers commonly develop new applications and it is an integral, important part of the investigative research process. The amino acid sequence is listed below: Synthetic peptide located within the following region: KRFQTLISKM EPLEIPVETI TSEVIEKCTT PLSDDHDEKY GVPSLEELGF. It is sometimes possible for the material contained within the vial of "CRY1, Polyclonal Antibody" to become dispersed throughout the inside of the vial, particularly around the seal of said vial, during shipment and storage. We always suggest centrifuging these vials to consolidate all of the liquid away from the lid and to the bottom of the vial prior to opening. Please be advised that certain products may require dry ice for shipping and that, if this is the case, an additional dry ice fee may also be required.Precautions
All products in the AAA Biotech catalog are strictly for research-use only, and are absolutely not suitable for use in any sort of medical, therapeutic, prophylactic, in-vivo, or diagnostic capacity. By purchasing a product from AAA Biotech, you are explicitly certifying that said products will be properly tested and used in line with industry standard. AAA Biotech and its authorized distribution partners reserve the right to refuse to fulfill any order if we have any indication that a purchaser may be intending to use a product outside of our accepted criteria.Disclaimer
Though we do strive to guarantee the information represented in this datasheet, AAA Biotech cannot be held responsible for any oversights or imprecisions. AAA Biotech reserves the right to adjust any aspect of this datasheet at any time and without notice. It is the responsibility of the customer to inform AAA Biotech of any product performance issues observed or experienced within 30 days of receipt of said product. To see additional details on this or any of our other policies, please see our Terms & Conditions page.Item has been added to Shopping Cart
If you are ready to order, navigate to Shopping Cart and get ready to checkout.
