Rabbit CRYAA Polyclonal Antibody | anti-CRYAA antibody
CRYAA Polyclonal Antibody
Gene Names
CRYAA; CRYA1; HSPB4; CTRCT9
Reactivity
Human, Mouse, Rat
Applications
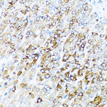
Immunofluorescence, Western Blot
Purity
Affinity purification
Synonyms
CRYAA, Antibody; CRYAA Polyclonal Antibody; CRYAA; CRYA1; CTRCT9; HSPB4; anti-CRYAA antibody
Host
Rabbit
Reactivity
Human, Mouse, Rat
Clonality
Polyclonal
Isotype
IgG
Purity/Purification
Affinity purification
Form/Format
PBS with 0.02% sodium azide,50% glycerol,pH7.3.
Concentration
1mg/mL (varies by lot)
Applicable Applications for anti-CRYAA antibody
IF (Immunofluorescence), WB (Western Blot)
Immunogen
Recombinant fusion protein of human CRYAA
Research Area
Cancer, Neuroscience, Signal Transduction, Tags and Cell Markers
Preparation and Storage
Storage: -20 degree C/One year. Avoid freeze/thaw cycles.
Related Product Information for anti-CRYAA antibody
Mammalian lens crystallins are divided into alpha, beta, and gamma families. Alpha crystallins are composed of two gene products: alpha-A and alpha-B, for acidic and basic, respectively. Alpha crystallins can be induced by heat shock and are members of the small heat shock protein (HSP20) family. They act as molecular chaperones although they do not renature proteins and release them in the fashion of a true chaperone; instead they hold them in large soluble aggregates. Post-translational modifications decrease the ability to chaperone. These heterogeneous aggregates consist of 30-40 subunits; the alpha-A and alpha-B subunits have a 3:1 ratio, respectively. Two additional functions of alpha crystallins are an autokinase activity and participation in the intracellular architecture. The encoded protein has been identified as a moonlighting protein based on its ability to perform mechanistically distinct functions. Alpha-A and alpha-B gene products are differentially expressed; alpha-A is preferentially restricted to the lens and alpha-B is expressed widely in many tissues and organs. Defects in this gene cause autosomal dominant congenital cataract (ADCC).
Product Categories/Family for anti-CRYAA antibody
NCBI and Uniprot Product Information
NCBI GI #
NCBI GeneID
NCBI Accession #
NCBI GenBank Nucleotide #
Molecular Weight
19,909 Da
NCBI Official Full Name
alpha-crystallin A chain
NCBI Official Synonym Full Names
crystallin, alpha A
NCBI Official Symbol
CRYAA
NCBI Official Synonym Symbols
CRYA1; HSPB4; CTRCT9
NCBI Protein Information
alpha-crystallin A chain; crystallin, alpha-1; heat shock protein beta-4; human alphaA-crystallin (CRYA1)
UniProt Protein Name
Alpha-crystallin A chain
UniProt Gene Name
CRYAA
UniProt Synonym Gene Names
CRYA1; HSPB4; HspB4
UniProt Entry Name
CRYAA_HUMAN
Similar Products
Product Notes
The CRYAA cryaa (Catalog #AAA178737) is an Antibody produced from Rabbit and is intended for research purposes only. The product is available for immediate purchase. The CRYAA Polyclonal Antibody reacts with Human, Mouse, Rat and may cross-react with other species as described in the data sheet. AAA Biotech's CRYAA can be used in a range of immunoassay formats including, but not limited to, IF (Immunofluorescence), WB (Western Blot). Researchers should empirically determine the suitability of the CRYAA cryaa for an application not listed in the data sheet. Researchers commonly develop new applications and it is an integral, important part of the investigative research process. It is sometimes possible for the material contained within the vial of "CRYAA, Polyclonal Antibody" to become dispersed throughout the inside of the vial, particularly around the seal of said vial, during shipment and storage. We always suggest centrifuging these vials to consolidate all of the liquid away from the lid and to the bottom of the vial prior to opening. Please be advised that certain products may require dry ice for shipping and that, if this is the case, an additional dry ice fee may also be required.Precautions
All products in the AAA Biotech catalog are strictly for research-use only, and are absolutely not suitable for use in any sort of medical, therapeutic, prophylactic, in-vivo, or diagnostic capacity. By purchasing a product from AAA Biotech, you are explicitly certifying that said products will be properly tested and used in line with industry standard. AAA Biotech and its authorized distribution partners reserve the right to refuse to fulfill any order if we have any indication that a purchaser may be intending to use a product outside of our accepted criteria.Disclaimer
Though we do strive to guarantee the information represented in this datasheet, AAA Biotech cannot be held responsible for any oversights or imprecisions. AAA Biotech reserves the right to adjust any aspect of this datasheet at any time and without notice. It is the responsibility of the customer to inform AAA Biotech of any product performance issues observed or experienced within 30 days of receipt of said product. To see additional details on this or any of our other policies, please see our Terms & Conditions page.Item has been added to Shopping Cart
If you are ready to order, navigate to Shopping Cart and get ready to checkout.
