Rabbit Csf1r Polyclonal Antibody | anti-Csf1r antibody
Mouse Csf1r Antibody (C-term)
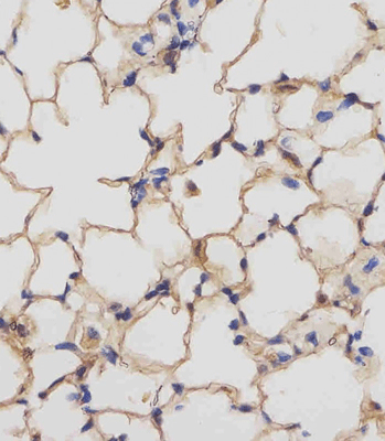
IHC (Immunohistochemistry)
(AAA286945 staining Mouse Csf1r in mouse lung tissue sections by Immunohistochemistry (IHC-P - paraformaldehyde-fixed, paraffin-embedded sections). Tissue was fixed with formaldehyde and blocked with 3% BSA for 0.5 hour at room temperature; antigen retrieval was by heat mediation with a citrate buffer (pH6). Samples were incubated with primary antibody (1/25) for 1 hours at 37°C. A undiluted biotinylated goat polyvalent antibody was used as the secondary antibody.)
WB (Western Blot)
(All lanes : Anti-Mouse Csf1r Antibody (C-term) at 1:1000-2000 dilution Lane 1: Mouse heart tissue lysate Lane 2: Mouse skeletal muscle tissue lysate Lane 3: Mouse spleen tissue lysate Lane 4: Rat brain tissue lysate Lysates/proteins at 20 ug per lane. Secondary Goat Anti-Rabbit IgG, (H+L),Peroxidase conjugated at 1/10000 dilution. Predicted band size : 109 kDa Blocking/Dilution buffer: 5% NFDM/TBST.)
WB (Western Blot)
(All lanes : Anti-Mouse Csf1r Antibody (C-term) at 1:1000 dilution Lane 1: Mouse heart lysate Lane 2: Mouse skeletal muscle lysate Lane 3: Rat skeletal muscle lysate Lysates/proteins at 20 ug per lane. Secondary Goat Anti-Rabbit IgG, (H+L), Peroxidase conjugated at 1/10000 dilution. Predicted band size : 109 kDa. Blocking/Dilution buffer: 5% NFDM/TBST.)
WB (Western Blot)
(Mouse Csf1r Antibody (C-term) western blot analysis in mouse heart tissue lysates (35ug/lane). This demonstrates the Csf1r antibody detected the Csf1r protein (arrow).)
IF (Immunofluorescence)
(Immunofluorescent analysis of 4% paraformaldehyde-fixed, 0. 1% Triton X-100 permeabilized NIH/3T3 cells labeling Csf1r with AAA286945 at 1/25 dilution, followed by Dylight® 488-conjugated goat anti-Rabbit IgG secondary antibody at 1/200 dilution (green). Immunofluorescence image showing Cytoplasm staining on NIH/3T3 cell line. Cytoplasmic actin is detected with Dylight® 554 Phalloidin(red). The nuclear counter stain is DAPI (blue).)
Nagamachi, A., et al. Dev. Biol. 345(2):226-236(2010)
Wei, S., et al. J. Leukoc. Biol. 88(3):495-505(2010)
Maitra, R., et al. J. Immunol. 185(3):1485-1491(2010)
Aikawa, Y., et al. Nat. Med. 16(5):580-585(2010)
NCBI and Uniprot Product Information
Customer Reviews
Loading reviews...
Share Your Experience
Similar Products
Product Notes
The Csf1r csf1r (Catalog #AAA286945) is an Antibody produced from Rabbit and is intended for research purposes only. The product is available for immediate purchase. The immunogen sequence is 895-923. The Mouse Csf1r Antibody (C-term) reacts with Mouse (Predicted Reactivity: Rat) and may cross-react with other species as described in the data sheet. AAA Biotech's Csf1r can be used in a range of immunoassay formats including, but not limited to, IF (Immunofluorescence), IHC (Immunohistochemistry), ELISA, WB (Western Blot). Researchers should empirically determine the suitability of the Csf1r csf1r for an application not listed in the data sheet. Researchers commonly develop new applications and it is an integral, important part of the investigative research process. It is sometimes possible for the material contained within the vial of "Csf1r, Polyclonal Antibody" to become dispersed throughout the inside of the vial, particularly around the seal of said vial, during shipment and storage. We always suggest centrifuging these vials to consolidate all of the liquid away from the lid and to the bottom of the vial prior to opening. Please be advised that certain products may require dry ice for shipping and that, if this is the case, an additional dry ice fee may also be required.Precautions
All products in the AAA Biotech catalog are strictly for research-use only, and are absolutely not suitable for use in any sort of medical, therapeutic, prophylactic, in-vivo, or diagnostic capacity. By purchasing a product from AAA Biotech, you are explicitly certifying that said products will be properly tested and used in line with industry standard. AAA Biotech and its authorized distribution partners reserve the right to refuse to fulfill any order if we have any indication that a purchaser may be intending to use a product outside of our accepted criteria.Disclaimer
Though we do strive to guarantee the information represented in this datasheet, AAA Biotech cannot be held responsible for any oversights or imprecisions. AAA Biotech reserves the right to adjust any aspect of this datasheet at any time and without notice. It is the responsibility of the customer to inform AAA Biotech of any product performance issues observed or experienced within 30 days of receipt of said product. To see additional details on this or any of our other policies, please see our Terms & Conditions page.Item has been added to Shopping Cart
If you are ready to order, navigate to Shopping Cart and get ready to checkout.
