Rabbit CTGF Polyclonal Antibody | anti-CTGF antibody
CTGF Polyclonal Antibody
Gene Names
CTGF; CCN2; NOV2; HCS24; IGFBP8
Reactivity
Human, Mouse, Rat
Applications
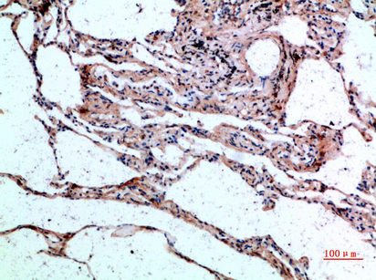
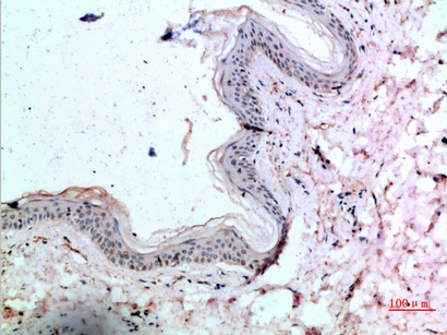
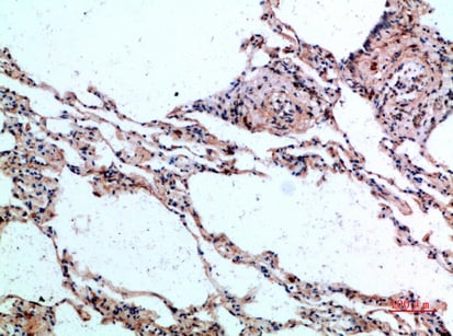
Immunohistochemistry
Synonyms
CTGF, Antibody; CTGF Polyclonal Antibody; Connective tissue growth factor (CCN family member 2)(Hypertrophic chondrocyte-specific protein 24)(Insulin-like growth factor-binding protein 8)(IBP-8)(IGF-binding protein 8)(IGFBP-8); anti-CTGF antibody
Host
Rabbit
Reactivity
Human, Mouse, Rat
Clonality
Polyclonal
Applicable Applications for anti-CTGF antibody
IHC (Immunohistochemistry)
Preparation and Storage
Maintain refrigerated at 2-8 degree C for up to 2 weeks. For long term storage store at -20 degree C in small aliquots to prevent freeze-thaw cycles.
Related Product Information for anti-CTGF antibody
Major connective tissue mitoattractant secreted by vascular endothelial cells. Promotes proliferation and differentiation of chondrocytes. Mediates heparin- and divalent cation-dependent cell adhesion in many cell types including fibroblasts, myofibroblasts, endothelial and epithelial cells. Enhances fibroblast growth factor-induced DNA synthesis.
NCBI and Uniprot Product Information
NCBI GI #
NCBI GeneID
NCBI Accession #
NCBI GenBank Nucleotide #
Molecular Weight
38,091 Da
NCBI Official Full Name
connective tissue growth factor
NCBI Official Synonym Full Names
connective tissue growth factor
NCBI Official Symbol
CTGF
NCBI Official Synonym Symbols
CCN2; NOV2; HCS24; IGFBP8
NCBI Protein Information
connective tissue growth factor; IBP-8; IGFBP-8; CCN family member 2; IGF-binding protein 8; hypertrophic chondrocyte-specific protein 24; insulin-like growth factor-binding protein 8
UniProt Protein Name
Connective tissue growth factor
UniProt Gene Name
CTGF
UniProt Synonym Gene Names
CCN2; HCS24; IGFBP8; IBP-8; IGF-binding protein 8; IGFBP-8
UniProt Entry Name
CTGF_HUMAN
Customer Reviews
Loading reviews...
Share Your Experience
Similar Products
Product Notes
The CTGF ctgf (Catalog #AAA296599) is an Antibody produced from Rabbit and is intended for research purposes only. The product is available for immediate purchase. The CTGF Polyclonal Antibody reacts with Human, Mouse, Rat and may cross-react with other species as described in the data sheet. AAA Biotech's CTGF can be used in a range of immunoassay formats including, but not limited to, IHC (Immunohistochemistry). Researchers should empirically determine the suitability of the CTGF ctgf for an application not listed in the data sheet. Researchers commonly develop new applications and it is an integral, important part of the investigative research process. It is sometimes possible for the material contained within the vial of "CTGF, Polyclonal Antibody" to become dispersed throughout the inside of the vial, particularly around the seal of said vial, during shipment and storage. We always suggest centrifuging these vials to consolidate all of the liquid away from the lid and to the bottom of the vial prior to opening. Please be advised that certain products may require dry ice for shipping and that, if this is the case, an additional dry ice fee may also be required.Precautions
All products in the AAA Biotech catalog are strictly for research-use only, and are absolutely not suitable for use in any sort of medical, therapeutic, prophylactic, in-vivo, or diagnostic capacity. By purchasing a product from AAA Biotech, you are explicitly certifying that said products will be properly tested and used in line with industry standard. AAA Biotech and its authorized distribution partners reserve the right to refuse to fulfill any order if we have any indication that a purchaser may be intending to use a product outside of our accepted criteria.Disclaimer
Though we do strive to guarantee the information represented in this datasheet, AAA Biotech cannot be held responsible for any oversights or imprecisions. AAA Biotech reserves the right to adjust any aspect of this datasheet at any time and without notice. It is the responsibility of the customer to inform AAA Biotech of any product performance issues observed or experienced within 30 days of receipt of said product. To see additional details on this or any of our other policies, please see our Terms & Conditions page.Item has been added to Shopping Cart
If you are ready to order, navigate to Shopping Cart and get ready to checkout.
