Rabbit CTNNB1 Polyclonal Antibody | anti-CTNNB1 antibody
CTNNB1 antibody - C-terminal region
Predicted Species Reactivity: Human, Mouse, Dog, Guinea Pig, Horse, Rabbit, Zebrafish
Predicted Species Reactivity: Human, Mouse, Dog, Guinea Pig, Horse, Rabbit, Zebrafish
WB (Western Blot)
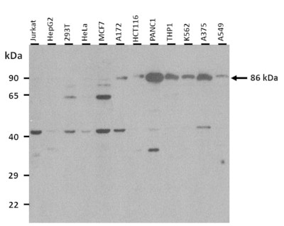
(25 ug of the indicated Human whole cell extracts was loaded onto a 12% SDS-PAGE gel. 3 ug/mL of the antibody was used in this experiment.)
WB (Western Blot)
(WB Suggested Anti-CTNNB1 Antibody Titration: 0.2-1 ug/mlELISA Titer: 1:62500Positive Control: Fetal Heart)
Target Description: Beta-catenin is an adherens junction protein. Adherens junctions (AJs; also called the zonula adherens) are critical for the establishment and maintenance of epithelial layers, such as those lining organ surfaces. AJs mediate adhesion between cells, communicate a signal that neighboring cells are present, and anchor the actin cytoskeleton. In serving these roles, AJs regulate normal cell growth and behavior. At several stages of embryogenesis, wound healing, and tumor cell metastasis, cells form and leave epithelia. This process, which involves the disruption and reestablishment of epithelial cell-cell contacts, may be regulated by the disassembly and assembly of AJs. AJs may also function in the transmission of the 'contact inhibition' signal, which instructs cells to stop dividing once an epithelial sheet is complete.Beta-catenin is an adherens junction protein. Adherens junctions (AJs; also called the zonula adherens) are critical for the establishment and maintenance of epithelial layers, such as those lining organ surfaces. AJs mediate adhesion between cells, communicate a signal that neighboring cells are present, and anchor the actin cytoskeleton. In serving these roles, AJs regulate normal cell growth and behavior. At several stages of embryogenesis, wound healing, and tumor cell metastasis, cells form and leave epithelia. This process, which involves the disruption and reestablishment of epithelial cell-cell contacts, may be regulated by the disassembly and assembly of AJs. AJs may also function in the transmission of the 'contact inhibition' signal, which instructs cells to stop dividing once an epithelial sheet is complete.[supplied by OMIM]. Publication Note: This RefSeq record includes a subset of the publications that are available for this gene. Please see the Entrez Gene record to access additional publications. PRIMARYREFSEQ_SPAN PRIMARY_IDENTIFIER PRIMARY_SPAN COMP 1-54 DA216720.1 1-54 55-2626 X87838.1 1-2572 2627-3720 AC104307.2 83770-84863
NCBI and Uniprot Product Information
Similar Products
Product Notes
The CTNNB1 ctnnb1 (Catalog #AAA201734) is an Antibody produced from Rabbit and is intended for research purposes only. The product is available for immediate purchase. The CTNNB1 antibody - C-terminal region reacts with Tested Species Reactivity: Human Predicted Species Reactivity: Human, Mouse, Dog, Guinea Pig, Horse, Rabbit, Zebrafish and may cross-react with other species as described in the data sheet. AAA Biotech's CTNNB1 can be used in a range of immunoassay formats including, but not limited to, WB (Western Blot), ChIP (Chromatin immunoprecipitation). Researchers should empirically determine the suitability of the CTNNB1 ctnnb1 for an application not listed in the data sheet. Researchers commonly develop new applications and it is an integral, important part of the investigative research process. The amino acid sequence is listed below: Synthetic peptide located within the following region: RTEPMAWNET ADLGLDIGAQ GEPLGYRQDD PSYRSFHSGG YGQDALGMDP. It is sometimes possible for the material contained within the vial of "CTNNB1, Polyclonal Antibody" to become dispersed throughout the inside of the vial, particularly around the seal of said vial, during shipment and storage. We always suggest centrifuging these vials to consolidate all of the liquid away from the lid and to the bottom of the vial prior to opening. Please be advised that certain products may require dry ice for shipping and that, if this is the case, an additional dry ice fee may also be required.Precautions
All products in the AAA Biotech catalog are strictly for research-use only, and are absolutely not suitable for use in any sort of medical, therapeutic, prophylactic, in-vivo, or diagnostic capacity. By purchasing a product from AAA Biotech, you are explicitly certifying that said products will be properly tested and used in line with industry standard. AAA Biotech and its authorized distribution partners reserve the right to refuse to fulfill any order if we have any indication that a purchaser may be intending to use a product outside of our accepted criteria.Disclaimer
Though we do strive to guarantee the information represented in this datasheet, AAA Biotech cannot be held responsible for any oversights or imprecisions. AAA Biotech reserves the right to adjust any aspect of this datasheet at any time and without notice. It is the responsibility of the customer to inform AAA Biotech of any product performance issues observed or experienced within 30 days of receipt of said product. To see additional details on this or any of our other policies, please see our Terms & Conditions page.Item has been added to Shopping Cart
If you are ready to order, navigate to Shopping Cart and get ready to checkout.
