Rabbit CTNNB1 Polyclonal Antibody | anti-CTNNB1 antibody
CTNNB1 Antibody (N-term)
IF (Immunofluorescence)
(Confocal immunofluorescent analysis of CTNNB1 Antibody (N-term) with T47D cell followed by Alexa Fluor 488-conjugated goat anti-rabbit lgG (green). Actin filaments have been labeled with Alexa Fluor 555 phalloidin (red). DAPI was used to stain the cell nuclear (blue).)
IF (Immunofluorescence)
(Confocal immunofluorescent analysis of CTNNB1 Antibody (N-term) with 293 cell followed by Alexa Fluor 488-conjugated goat anti-rabbit lgG (green). Actin filaments have been labeled with Alexa Fluor 555 phalloidin (red). DAPI was used to stain the cell nuclear (blue).)
FCM/FACS (Flow Cytometry)
(CTNNB1 Antibody (N-term) flow cytometric analysis of 293 cells (right histogram) compared to a negative control cell (left histogram).Alexa Fluor 488-conjugated donkey anti-rabbit lgG secondary antibodies were used for the analysis.)
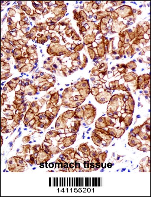
IHC (Immunohiostchemistry)
(CTNNB1 Antibody (N-term) immunohistochemistry analysis in formalin fixed and paraffin embedded human stomach tissue followed by peroxidase conjugation of the secondary antibody and DAB staining.This data demonstrates the use of CTNNB1 Antibody (N-term) for immunohistochemistry. Clinical relevance has not been evaluated.)
WB (Western Blot)
(CTNNB1 Antibody (N-term) western blot analysis in 293,T47D cell line lysates (35ug/lane).This demonstrates the CTNNB1 antibody detected the CTNNB1 protein (arrow).)
proteins that constitute adherens junctions (AJs). AJs are
necessary for the creation and maintenance of epithelial cell
layers by regulating cell growth and adhesion between cells. The
encoded protein also anchors the actin cytoskeleton and may be
responsible for transmitting the contact inhibition signal that
causes cells to stop dividing once the epithelial sheet is
complete. Finally, this protein binds to the product of the APC
gene, which is mutated in adenomatous polyposis of the colon.
Mutations in this gene are a cause of colorectal cancer (CRC),
pilomatrixoma (PTR), medulloblastoma (MDB), and ovarian cancer.
Three transcript variants encoding the same protein have been found
for this gene.
Chairoungdua, A., et al. J. Cell Biol. 190(6):1079-1091(2010)
Mirza, M.K., et al. J. Exp. Med. 207(8):1675-1685(2010)
Guo, Q., et al. Acta Biochim. Biophys. Sin. (Shanghai) 42(7):450-456(2010)
Teng, Y., et al. Zhonghua Yi Xue Za Zhi 90(14):988-992(2010)
NCBI and Uniprot Product Information
Customer Reviews
Loading reviews...
Share Your Experience
Similar Products
Product Notes
The CTNNB1 ctnnb1 (Catalog #AAA285459) is an Antibody produced from Rabbit and is intended for research purposes only. The product is available for immediate purchase. The immunogen sequence is 78-106. The CTNNB1 Antibody (N-term) reacts with Human (Predicted Reactivity: Bovine, Mouse, Rat, Xenopus) and may cross-react with other species as described in the data sheet. AAA Biotech's CTNNB1 can be used in a range of immunoassay formats including, but not limited to, WB (Western Blot), IF (Immunofluorescence), FCM/FACS (Flow Cytometry), IHC (Immunohistochemistry), ELISA. Researchers should empirically determine the suitability of the CTNNB1 ctnnb1 for an application not listed in the data sheet. Researchers commonly develop new applications and it is an integral, important part of the investigative research process. It is sometimes possible for the material contained within the vial of "CTNNB1, Polyclonal Antibody" to become dispersed throughout the inside of the vial, particularly around the seal of said vial, during shipment and storage. We always suggest centrifuging these vials to consolidate all of the liquid away from the lid and to the bottom of the vial prior to opening. Please be advised that certain products may require dry ice for shipping and that, if this is the case, an additional dry ice fee may also be required.Precautions
All products in the AAA Biotech catalog are strictly for research-use only, and are absolutely not suitable for use in any sort of medical, therapeutic, prophylactic, in-vivo, or diagnostic capacity. By purchasing a product from AAA Biotech, you are explicitly certifying that said products will be properly tested and used in line with industry standard. AAA Biotech and its authorized distribution partners reserve the right to refuse to fulfill any order if we have any indication that a purchaser may be intending to use a product outside of our accepted criteria.Disclaimer
Though we do strive to guarantee the information represented in this datasheet, AAA Biotech cannot be held responsible for any oversights or imprecisions. AAA Biotech reserves the right to adjust any aspect of this datasheet at any time and without notice. It is the responsibility of the customer to inform AAA Biotech of any product performance issues observed or experienced within 30 days of receipt of said product. To see additional details on this or any of our other policies, please see our Terms & Conditions page.Item has been added to Shopping Cart
If you are ready to order, navigate to Shopping Cart and get ready to checkout.
