Rabbit anti-Human, mouse Ctr9 Polyclonal Antibody | anti-Ctr9 antibody
Mouse Ctr9 Antibody (C-term)
WB (Western Blot)
(Western blot analysis of lysates from Jurkat, HT-29, mouse BA/F3, mouse F9 cell line, mouse cerebellum, mouse testis tissue (from left to right), using Mouse Ctr9 Antibody (C-term). AAA289925 was diluted at 1:1000 at each lane. A goat anti-rabbit IgG H&L(HRP) at 1:10000 dilution was used as the secondary antibody. Lysates at 20ug per lane.)
IHC (Immunohistochemisry)
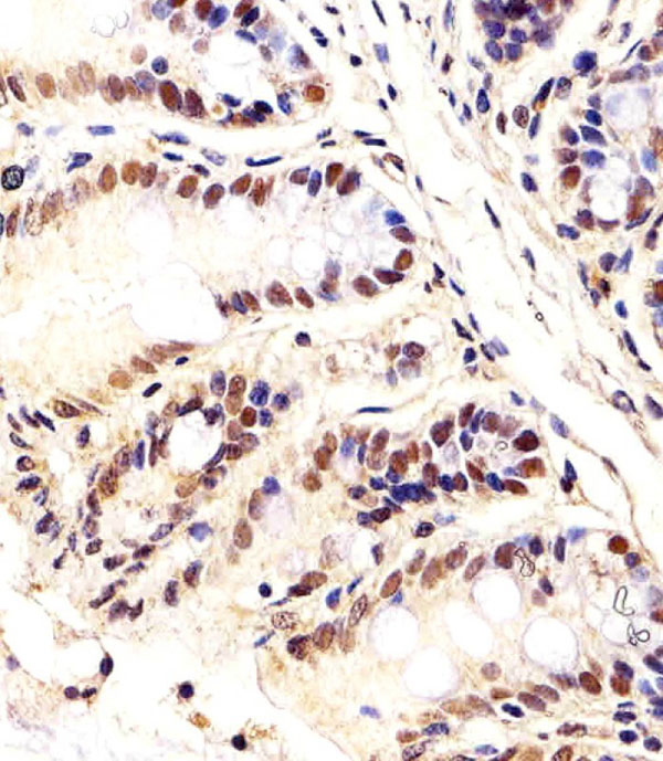
(Immunohistochemical analysis of paraffin-embedded M. colon section using Mouse Ctr9 Antibody (C-term). AAA289925 was diluted at 1:25 dilution. A undiluted biotinylated goat polyvalent antibody was used as the secondary, followed by DAB staining.)
IF (Immunofluorescence)
(Fluorescent image of A431 cells stained with Mouse Ctr9 Antibody (C-term). AAA289925 was diluted at 1:25 dilution. An Alexa Fluor 488-conjugated goat anti-rabbit lgG at 1:400 dilution was used as the secondary antibody (green). Cytoplasmic actin was counterstained with Alexa Fluor 555 conjugated with Phalloidin (red).)
IHC (Immunohistochemistry)
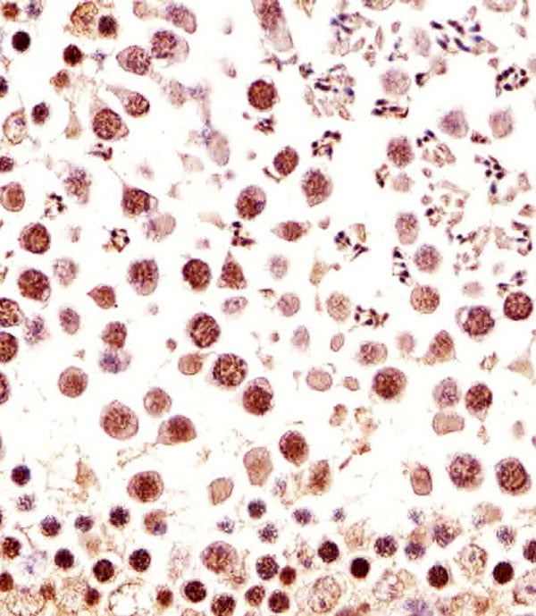
(Immunohistochemical analysis of paraffin-embedded M. testis section using Mouse Ctr9 Antibody (C-term). AAA289925 was diluted at 1:25 dilution. A undiluted biotinylated goat polyvalent antibody was used as the secondary, followed by DAB staining.)
Carninci P.,et al.Science 309:1559-1563(2005).
Okazaki N.,et al.DNA Res. 9:179-188(2002).
Ballif B.A.,et al.Mol. Cell. Proteomics 3:1093-1101(2004).
Youn M.Y.,et al.J. Biol. Chem. 282:34727-34734(2007).
NCBI and Uniprot Product Information
Customer Reviews
Loading reviews...
Share Your Experience
Similar Products
Product Notes
The Ctr9 ctr9 (Catalog #AAA289925) is an Antibody produced from Rabbit and is intended for research purposes only. The product is available for immediate purchase. The Mouse Ctr9 Antibody (C-term) reacts with Human, mouse and may cross-react with other species as described in the data sheet. AAA Biotech's Ctr9 can be used in a range of immunoassay formats including, but not limited to, WB (Western Blot), IF (Immunofluorescence), IHC (Immunohistochemistry), ELISA. Researchers should empirically determine the suitability of the Ctr9 ctr9 for an application not listed in the data sheet. Researchers commonly develop new applications and it is an integral, important part of the investigative research process. It is sometimes possible for the material contained within the vial of "Ctr9, Polyclonal Antibody" to become dispersed throughout the inside of the vial, particularly around the seal of said vial, during shipment and storage. We always suggest centrifuging these vials to consolidate all of the liquid away from the lid and to the bottom of the vial prior to opening. Please be advised that certain products may require dry ice for shipping and that, if this is the case, an additional dry ice fee may also be required.Precautions
All products in the AAA Biotech catalog are strictly for research-use only, and are absolutely not suitable for use in any sort of medical, therapeutic, prophylactic, in-vivo, or diagnostic capacity. By purchasing a product from AAA Biotech, you are explicitly certifying that said products will be properly tested and used in line with industry standard. AAA Biotech and its authorized distribution partners reserve the right to refuse to fulfill any order if we have any indication that a purchaser may be intending to use a product outside of our accepted criteria.Disclaimer
Though we do strive to guarantee the information represented in this datasheet, AAA Biotech cannot be held responsible for any oversights or imprecisions. AAA Biotech reserves the right to adjust any aspect of this datasheet at any time and without notice. It is the responsibility of the customer to inform AAA Biotech of any product performance issues observed or experienced within 30 days of receipt of said product. To see additional details on this or any of our other policies, please see our Terms & Conditions page.Item has been added to Shopping Cart
If you are ready to order, navigate to Shopping Cart and get ready to checkout.
