Rabbit CX43 Polyclonal Antibody | anti-CX43 antibody
Phospho-CX43(Tyr265) Antibody
Phosphate buffered saline, pH 7.4, 150mM NaCl, 0.02% sodium azide and 50% glycerol.
WB (Western Blot)
(Western blot analysis of extracts of C2C12 cells treated with TPA, using Phospho-CX43(Tyr265)Antibody.)
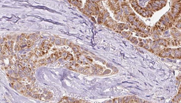
IHC (Immunohistochemistry)
(AAA321290 at 1/100 staining Human thyroid cancer tissue by IHC-P. The sample was formaldehyde fixed and a heat mediated antigen retrieval step in citrate buffer was performed. The sample was then blocked and incubated with the antibody for 1.5 hours at 22 degree C. An HRP conjugated goat anti-rabbit antibody was used as the secondary.)
Subunit Structure: A connexon is composed of a hexamer of connexins. Interacts (via C-terminus) with TJP1 (By similarity). Interacts (via C-terminus) with SRC (via SH3 domain) (By similarity). Interacts (not ubiquitinated) with UBQLN4 (via UBA domain) (By similarity). Interacts with SGSM3 and CNST (By similarity). Interacts with RIC1/CIP150. Interacts with CSNK1D. Interacts with NOV (PubMed:15181016, PubMed:15213231). Interacts with TMEM65 (By similarity).
Post-translational Modifications: Phosphorylated at Ser-368 by PRKCG; phosphorylation induces disassembly of gap junction plaques and inhibition of gap junction activity (By similarity). Phosphorylation at Ser-325, Ser-328 and Ser-330 by CK1 modulates gap junction assembly. Phosphorylation at Ser-368 by PRKCD triggers its internalization into small vesicles leading to proteasome-mediated degradation (By similarity). Sumoylated with SUMO1, SUMO2 and SUMO3, which may regulate the level of functional Cx43 gap junctions at the plasma membrane. May be desumoylated by SENP1 or SENP2. S-nitrosylation at Cys-271 is enriched at the muscle endothelial gap junction in arteries, it augments channel permeability and may regulate of smooth muscle cell to endothelial cell communication.
Similarity: Belongs to the connexin family. Alpha-type (group II) subfamily.
NCBI and Uniprot Product Information
Predicted: 44 kDa
Customer Reviews
Loading reviews...
Share Your Experience
Similar Products
Product Notes
The CX43 gja1 (Catalog #AAA321290) is an Antibody produced from Rabbit and is intended for research purposes only. The product is available for immediate purchase. The Phospho-CX43(Tyr265) Antibody reacts with Human, Mouse, Rat and may cross-react with other species as described in the data sheet. AAA Biotech's CX43 can be used in a range of immunoassay formats including, but not limited to, IHC (Immunohistochemistry), WB (Western Blot). Researchers should empirically determine the suitability of the CX43 gja1 for an application not listed in the data sheet. Researchers commonly develop new applications and it is an integral, important part of the investigative research process. It is sometimes possible for the material contained within the vial of "CX43, Polyclonal Antibody" to become dispersed throughout the inside of the vial, particularly around the seal of said vial, during shipment and storage. We always suggest centrifuging these vials to consolidate all of the liquid away from the lid and to the bottom of the vial prior to opening. Please be advised that certain products may require dry ice for shipping and that, if this is the case, an additional dry ice fee may also be required.Precautions
All products in the AAA Biotech catalog are strictly for research-use only, and are absolutely not suitable for use in any sort of medical, therapeutic, prophylactic, in-vivo, or diagnostic capacity. By purchasing a product from AAA Biotech, you are explicitly certifying that said products will be properly tested and used in line with industry standard. AAA Biotech and its authorized distribution partners reserve the right to refuse to fulfill any order if we have any indication that a purchaser may be intending to use a product outside of our accepted criteria.Disclaimer
Though we do strive to guarantee the information represented in this datasheet, AAA Biotech cannot be held responsible for any oversights or imprecisions. AAA Biotech reserves the right to adjust any aspect of this datasheet at any time and without notice. It is the responsibility of the customer to inform AAA Biotech of any product performance issues observed or experienced within 30 days of receipt of said product. To see additional details on this or any of our other policies, please see our Terms & Conditions page.Item has been added to Shopping Cart
If you are ready to order, navigate to Shopping Cart and get ready to checkout.
