Rabbit anti-Human CXCR3 Polyclonal Antibody | anti-CXCR3 antibody
CXCR3 Antibody
Gene Names
CXCR3; GPR9; MigR; CD182; CD183; Mig-R; CKR-L2; CMKAR3; IP10-R
Reactivity
Human
Applications
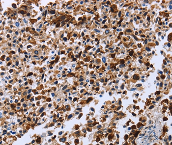
Immunohistochemistry
Purity
Antigen affinity purification.
Synonyms
CXCR3, Antibody; CXCR3 Antibody; GPR9; MigR; CD182; CD183; Mig-R; CKR-L2; CMKAR3; IP10-R; anti-CXCR3 antibody
Host
Rabbit
Reactivity
Human
Clonality
Polyclonal
Specificity
The antibody detects endogenous levels of total CXCR3 protein.
Purity/Purification
Antigen affinity purification.
Form/Format
Rabbit IgG in pH7.3 PBS, 0.05% NaN3, 50% Glycerol.
Concentration
1 mg/ml (varies by lot)
Sequence Length
415
Applicable Applications for anti-CXCR3 antibody
IHC (Immunohistochemistry)
Immunogen Type
Peptide
Immunogen Description
Synthetic peptide corresponding to residues near the C terminal of human chemokine (C-X-C motif) receptor 3
Target Name
CXCR3
Preparation and Storage
Store at -20 degree C
Related Product Information for anti-CXCR3 antibody
This gene encodes a G protein-coupled receptor with selectivity for three chemokines, termed CXCL9/Mig (monokine induced by interferon-g), CXCL10/IP10 (interferon-g-inducible 10 kDa protein) and CXCL11/I-TAC (interferon-inducible T cell a-chemoattractant). Binding of chemokines to this protein induces cellular responses that are involved in leukocyte traffic, most notably integrin activation, cytoskeletal changes and chemotactic migration. Alternatively spliced transcript variants encoding different isoforms have been found for this gene. One of the isoforms (CXCR3-B) shows high affinity binding to chemokine, CXCL4/PF4.
Product Categories/Family for anti-CXCR3 antibody
NCBI and Uniprot Product Information
NCBI GI #
NCBI GeneID
NCBI Accession #
NCBI GenBank Nucleotide #
Molecular Weight
28,715 Da
NCBI Official Full Name
C-X-C chemokine receptor type 3 isoform 2
NCBI Official Synonym Full Names
chemokine (C-X-C motif) receptor 3
NCBI Official Symbol
CXCR3
NCBI Official Synonym Symbols
GPR9; MigR; CD182; CD183; Mig-R; CKR-L2; CMKAR3; IP10-R
NCBI Protein Information
C-X-C chemokine receptor type 3
UniProt Protein Name
C-X-C chemokine receptor type 3
UniProt Gene Name
CXCR3
UniProt Synonym Gene Names
GPR9; CXC-R3; CXCR-3; IP-10 receptor
UniProt Entry Name
CXCR3_HUMAN
Customer Reviews
Loading reviews...
Share Your Experience
Similar Products
Product Notes
The CXCR3 cxcr3 (Catalog #AAA303654) is an Antibody produced from Rabbit and is intended for research purposes only. The product is available for immediate purchase. The CXCR3 Antibody reacts with Human and may cross-react with other species as described in the data sheet. AAA Biotech's CXCR3 can be used in a range of immunoassay formats including, but not limited to, IHC (Immunohistochemistry). Researchers should empirically determine the suitability of the CXCR3 cxcr3 for an application not listed in the data sheet. Researchers commonly develop new applications and it is an integral, important part of the investigative research process. It is sometimes possible for the material contained within the vial of "CXCR3, Polyclonal Antibody" to become dispersed throughout the inside of the vial, particularly around the seal of said vial, during shipment and storage. We always suggest centrifuging these vials to consolidate all of the liquid away from the lid and to the bottom of the vial prior to opening. Please be advised that certain products may require dry ice for shipping and that, if this is the case, an additional dry ice fee may also be required.Precautions
All products in the AAA Biotech catalog are strictly for research-use only, and are absolutely not suitable for use in any sort of medical, therapeutic, prophylactic, in-vivo, or diagnostic capacity. By purchasing a product from AAA Biotech, you are explicitly certifying that said products will be properly tested and used in line with industry standard. AAA Biotech and its authorized distribution partners reserve the right to refuse to fulfill any order if we have any indication that a purchaser may be intending to use a product outside of our accepted criteria.Disclaimer
Though we do strive to guarantee the information represented in this datasheet, AAA Biotech cannot be held responsible for any oversights or imprecisions. AAA Biotech reserves the right to adjust any aspect of this datasheet at any time and without notice. It is the responsibility of the customer to inform AAA Biotech of any product performance issues observed or experienced within 30 days of receipt of said product. To see additional details on this or any of our other policies, please see our Terms & Conditions page.Item has been added to Shopping Cart
If you are ready to order, navigate to Shopping Cart and get ready to checkout.
