CYP1A2 Polyclonal Antibody | anti-CYP1A2 antibody
Anti-CYP1A2 Antibody
IHC (Immunohistochemistry)
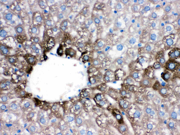
(Anti- CYP1A2 Picoband antibody, AAA46318, IHC(P)IHC(P): Human Liver Cancer Tissue)
IHC (Immunohistochemisry)
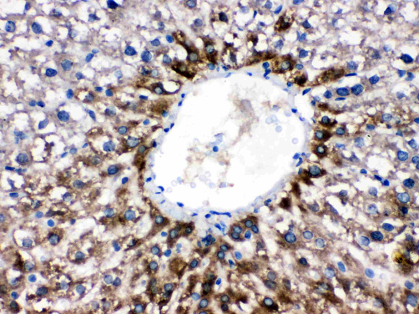
(Anti- CYP1A2 Picoband antibody, AAA46318, IHC(P)IHC(P): Rat Liver Tissue)
IHC (Immunohiostchemistry)
(Anti- CYP1A2 Picoband antibody, AAA46318, IHC(P)IHC(P): Mouse Liver Tissue)
WB (Western Blot)
(Anti- CYP1A2 Picoband antibody, AAA46318, Western blottingAll lanes: Anti CYP1A2 (AAA46318) at 0.5ug/mlLane 1: Rat Liver Tissue Lysate at 50ugLane 2: Mouse Liver Tissue Lysate at 50ugPredicted bind size: 58KDObserved bind size: 58KD)
Background: CYP1A2 (Cytochrome P450, Subfamily I, Polypeptide 2) is a member of the cytochrome P450 mixed-function oxidase system and is involved in the metabolism of xenobiotics in the body. CYP1A2 is a member of the cytochrome P450 superfamily of enzymes. In humans, the CYP1A2 enzyme is encoded by the CYP1A2 gene. CYP1A2 localizes to the endoplasmic reticulum and its expression is induced by some polycyclic aromatic hydrocarbons (PAHs), some of which are found in cigarette smoke. The CYP1A2 gene encodes a P450 enzyme involved in O-deethylation of phenacetin. Ikeya et al. (1989) found that the human CYP1A2 gene spans almost 7.8 kb and contains 7 exons. The CYP1A2 gene is mapped on 15q24.1. CYP1A2 accounts for nearly 15% of the cytochrome P450 in the human liver. CYP1A2 displays higher activity in men than in women, and is inhibited by oral contraceptives. Inducers of CYP1A2 include cruciferous vegetables. Cigarette smoking has also been shown to increase CYP1A2 activity. Expression of CYP1A2 appears to be induced by various dietary constituents.
NCBI and Uniprot Product Information
Customer Reviews
Loading reviews...
Share Your Experience
Similar Products
Product Notes
The CYP1A2 cyp1a2 (Catalog #AAA46318) is an Antibody and is intended for research purposes only. The product is available for immediate purchase. The Anti-CYP1A2 Antibody reacts with Human, Mouse, Rat and may cross-react with other species as described in the data sheet. AAA Biotech's CYP1A2 can be used in a range of immunoassay formats including, but not limited to, IHC (Immunohistochemistry), WB (Western Blot). Researchers should empirically determine the suitability of the CYP1A2 cyp1a2 for an application not listed in the data sheet. Researchers commonly develop new applications and it is an integral, important part of the investigative research process. It is sometimes possible for the material contained within the vial of "CYP1A2, Polyclonal Antibody" to become dispersed throughout the inside of the vial, particularly around the seal of said vial, during shipment and storage. We always suggest centrifuging these vials to consolidate all of the liquid away from the lid and to the bottom of the vial prior to opening. Please be advised that certain products may require dry ice for shipping and that, if this is the case, an additional dry ice fee may also be required.Precautions
All products in the AAA Biotech catalog are strictly for research-use only, and are absolutely not suitable for use in any sort of medical, therapeutic, prophylactic, in-vivo, or diagnostic capacity. By purchasing a product from AAA Biotech, you are explicitly certifying that said products will be properly tested and used in line with industry standard. AAA Biotech and its authorized distribution partners reserve the right to refuse to fulfill any order if we have any indication that a purchaser may be intending to use a product outside of our accepted criteria.Disclaimer
Though we do strive to guarantee the information represented in this datasheet, AAA Biotech cannot be held responsible for any oversights or imprecisions. AAA Biotech reserves the right to adjust any aspect of this datasheet at any time and without notice. It is the responsibility of the customer to inform AAA Biotech of any product performance issues observed or experienced within 30 days of receipt of said product. To see additional details on this or any of our other policies, please see our Terms & Conditions page.Item has been added to Shopping Cart
If you are ready to order, navigate to Shopping Cart and get ready to checkout.
