CYP27B1 Polyclonal Antibody | anti-CYP27B1 antibody
Anti-CYP27B1 Antibody
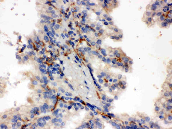
IHC (Immunohistochemisry)
(Anti-CYP27B1 Picoband antibody, AAA46372, IHC(P)IHC(P): Human Kidney Cancer Tissue)
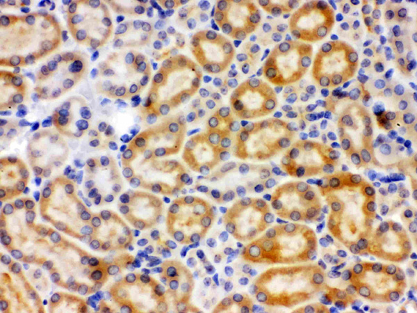
IHC (Immunohiostchemistry)
(Anti-CYP27B1 Picoband antibody, AAA46372, IHC(P)IHC(P): Rat Kidney Tissue)
WB (Western Blot)
(Anti-CYP27B1 Picoband antibody, AAA46372, Western blottingAll lanes: Anti CYP27B1 (AAA46372) at 0.5ug/mlLane 1: Rat Kidney Tissue Lysate at 50ugLane 2: Mouse Kidney Tissue Lysate at 50ugLane 3: 293T Whole Cell Lysate at 40ugPredicted bind size: 57KDObserved bind size: 57KD)
Background: CYP27B1 belongs to the cytochrome P450 superfamily of enzymes. The cytochrome P450 proteins are monooxygenases which catalyze many reactions involved in drug metabolism and synthesis of cholesterol, steroids and other lipids. The protein encoded by this gene localizes to the inner mitochondrial membrane where it hydroxylates 25-hydroxyvitamin D3 at the 1alpha position. This reaction synthesizes 1alpha,25-dihydroxyvitamin D3, the active form of vitamin D3, which binds to the vitamin D receptor and regulates calcium metabolism. Thus this enzyme regulates the level of biologically active vitamin D and plays an important role in calcium homeostasis. Mutations in this gene can result in vitamin D-dependent rickets type I.
NCBI and Uniprot Product Information
Customer Reviews
Loading reviews...
Share Your Experience
Similar Products
Product Notes
The CYP27B1 cyp27b1 (Catalog #AAA46372) is an Antibody and is intended for research purposes only. The product is available for immediate purchase. The Anti-CYP27B1 Antibody reacts with Human, Mouse, Rat and may cross-react with other species as described in the data sheet. AAA Biotech's CYP27B1 can be used in a range of immunoassay formats including, but not limited to, IHC (Immunohistochemistry), WB (Western Blot). Researchers should empirically determine the suitability of the CYP27B1 cyp27b1 for an application not listed in the data sheet. Researchers commonly develop new applications and it is an integral, important part of the investigative research process. It is sometimes possible for the material contained within the vial of "CYP27B1, Polyclonal Antibody" to become dispersed throughout the inside of the vial, particularly around the seal of said vial, during shipment and storage. We always suggest centrifuging these vials to consolidate all of the liquid away from the lid and to the bottom of the vial prior to opening. Please be advised that certain products may require dry ice for shipping and that, if this is the case, an additional dry ice fee may also be required.Precautions
All products in the AAA Biotech catalog are strictly for research-use only, and are absolutely not suitable for use in any sort of medical, therapeutic, prophylactic, in-vivo, or diagnostic capacity. By purchasing a product from AAA Biotech, you are explicitly certifying that said products will be properly tested and used in line with industry standard. AAA Biotech and its authorized distribution partners reserve the right to refuse to fulfill any order if we have any indication that a purchaser may be intending to use a product outside of our accepted criteria.Disclaimer
Though we do strive to guarantee the information represented in this datasheet, AAA Biotech cannot be held responsible for any oversights or imprecisions. AAA Biotech reserves the right to adjust any aspect of this datasheet at any time and without notice. It is the responsibility of the customer to inform AAA Biotech of any product performance issues observed or experienced within 30 days of receipt of said product. To see additional details on this or any of our other policies, please see our Terms & Conditions page.Item has been added to Shopping Cart
If you are ready to order, navigate to Shopping Cart and get ready to checkout.
