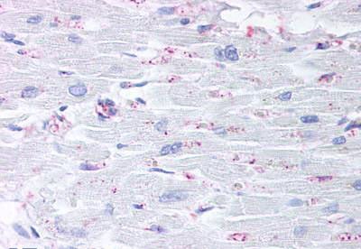
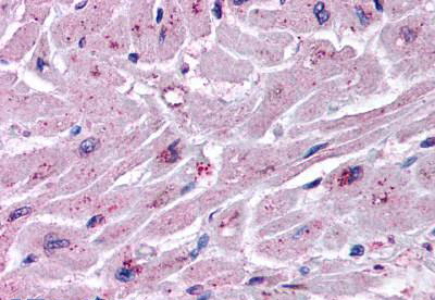
Rabbit anti-Human CysLTR2 Polyclonal Antibody | anti-CysLTR2 antibody
CysLTR2 Polyclonal Antibody
Gene Names
CYSLTR2; HG57; CYSLT2; HPN321; CYSLT2R; KPG_011; hGPCR21; PSEC0146
Reactivity
Human
Applications
Immunofluorescence, Western Blot
Synonyms
CysLTR2, Antibody; CysLTR2 Polyclonal Antibody; CYSLTR2; CYSLT2; CYSLT2R; PSEC0146; Cysteinyl leukotriene receptor 2; CysLTR2; G-protein coupled receptor GPCR21; hGPCR21; G-protein coupled receptor HG57; HPN321; anti-CysLTR2 antibody
Host
Rabbit
Reactivity
Human
Clonality
Polyclonal
Applicable Applications for anti-CysLTR2 antibody
IF (Immunofluorescence), WB (Western Blot)
Preparation and Storage
Maintain refrigerated at 2-8 degree C for up to 2 weeks. For long term storage store at -20 degree C in small aliquots to prevent freeze-thaw cycles.
Related Product Information for anti-CysLTR2 antibody
Receptor for cysteinyl leukotrienes. The response is mediated via a G-protein that activates a phosphatidylinositol- calcium second messenger system. Stimulation by BAY u9773, a partial agonist, induces specific contractions of pulmonary veins and might also have an indirect role in the relaxation of the pulmonary vascular endothelium. The rank order of affinities for the leukotrienes is LTC4 = LTD4 >> LTE4.
NCBI and Uniprot Product Information
NCBI GI #
NCBI GeneID
NCBI Accession #
NCBI GenBank Nucleotide #
Molecular Weight
39,635 Da
NCBI Official Full Name
cysteinyl leukotriene receptor 2
NCBI Official Synonym Full Names
cysteinyl leukotriene receptor 2
NCBI Official Symbol
CYSLTR2
NCBI Official Synonym Symbols
HG57; CYSLT2; HPN321; CYSLT2R; KPG_011; hGPCR21; PSEC0146
NCBI Protein Information
cysteinyl leukotriene receptor 2; G protein-coupled receptor; G-protein coupled receptor HG57; G-protein coupled receptor GPCR21; cysteinyl leukotriene CysLT2 receptor
UniProt Protein Name
Cysteinyl leukotriene receptor 2
UniProt Gene Name
CYSLTR2
UniProt Synonym Gene Names
CYSLT2; CYSLT2R; CysLTR2; hGPCR21
UniProt Entry Name
CLTR2_HUMAN
Customer Reviews
Loading reviews...
Share Your Experience
Similar Products
Product Notes
The CysLTR2 cysltr2 (Catalog #AAA294619) is an Antibody produced from Rabbit and is intended for research purposes only. The product is available for immediate purchase. The CysLTR2 Polyclonal Antibody reacts with Human and may cross-react with other species as described in the data sheet. AAA Biotech's CysLTR2 can be used in a range of immunoassay formats including, but not limited to, IF (Immunofluorescence), WB (Western Blot). Researchers should empirically determine the suitability of the CysLTR2 cysltr2 for an application not listed in the data sheet. Researchers commonly develop new applications and it is an integral, important part of the investigative research process. It is sometimes possible for the material contained within the vial of "CysLTR2, Polyclonal Antibody" to become dispersed throughout the inside of the vial, particularly around the seal of said vial, during shipment and storage. We always suggest centrifuging these vials to consolidate all of the liquid away from the lid and to the bottom of the vial prior to opening. Please be advised that certain products may require dry ice for shipping and that, if this is the case, an additional dry ice fee may also be required.Precautions
All products in the AAA Biotech catalog are strictly for research-use only, and are absolutely not suitable for use in any sort of medical, therapeutic, prophylactic, in-vivo, or diagnostic capacity. By purchasing a product from AAA Biotech, you are explicitly certifying that said products will be properly tested and used in line with industry standard. AAA Biotech and its authorized distribution partners reserve the right to refuse to fulfill any order if we have any indication that a purchaser may be intending to use a product outside of our accepted criteria.Disclaimer
Though we do strive to guarantee the information represented in this datasheet, AAA Biotech cannot be held responsible for any oversights or imprecisions. AAA Biotech reserves the right to adjust any aspect of this datasheet at any time and without notice. It is the responsibility of the customer to inform AAA Biotech of any product performance issues observed or experienced within 30 days of receipt of said product. To see additional details on this or any of our other policies, please see our Terms & Conditions page.Item has been added to Shopping Cart
If you are ready to order, navigate to Shopping Cart and get ready to checkout.
