Rabbit anti-Human Cytochrome P450 4A11 Polyclonal Antibody | anti-CYP4A11 antibody
Rabbit anti-human Cytochrome P450 4A11 polyclonal Antibody(CYP4A11)
Gene Names
CYP4A11; CP4Y; CYP4A2; CYP4AII
Reactivity
Human
Applications
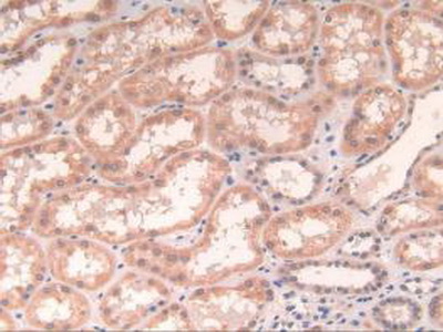
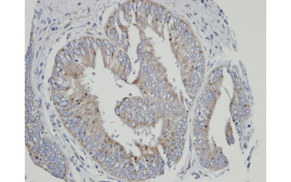
Immunohistochemistry, ELISA
Purity
Antigen Affinity Purified
Synonyms
Cytochrome P450 4A11, Antibody; Rabbit anti-human Cytochrome P450 4A11 polyclonal Antibody(CYP4A11); 20-hydroxyeicosatetraenoic acid synthase; 20-HETE synthase; CYP4AII; CYPIVA11; Cytochrome P-450HK-omega; Cytochrome P450HL-omega; Fatty acid omega-hydroxylase; Lauric acid omega-hydroxylase; CYP4A11; CYP4A2; anti-CYP4A11 antibody
Host
Rabbit
Reactivity
Human
Clonality
Polyclonal
Isotype
IgG
Purity/Purification
Antigen Affinity Purified
Sequence Length
519
Applicable Applications for anti-CYP4A11 antibody
IHC (Immunohistochemistry), ELISA
Storage Buffer
PBS with 0.02% sodium azide, 50% glycerol, pH7.3.
Conjugate
Non-conjugated
Immunogen
Recombinant human Cytochrome P450 4A11 protein(1-200aa)
Preparation and Storage
Shipped at 4 degree C. Upon delivery aliquot and store at -20 degree C or -80 degree C. Avoid repeated freeze.
Related Product Information for anti-CYP4A11 antibody
Catalyzes the omega- and (omega-1)-hydroxylation of various fatty acids such as laurate, myristate and palmitate. Has little activity toward prostaglandins A1 and E1. Oxidizes arachidonic acid to 20-hydroxyeicosatetraenoic acid.
NCBI and Uniprot Product Information
NCBI GI #
NCBI GeneID
NCBI Accession #
NCBI GenBank Nucleotide #
Molecular Weight
41,052 Da
NCBI Official Full Name
cytochrome P450 4A11 isoform 1
NCBI Official Synonym Full Names
cytochrome P450 family 4 subfamily A member 11
NCBI Official Symbol
CYP4A11
NCBI Official Synonym Symbols
CP4Y; CYP4A2; CYP4AII
NCBI Protein Information
cytochrome P450 4A11
UniProt Protein Name
Cytochrome P450 4A11
UniProt Gene Name
CYP4A11
UniProt Synonym Gene Names
CYP4A2; 20-HETE synthase
UniProt Entry Name
CP4AB_HUMAN
Customer Reviews
Loading reviews...
Share Your Experience
Similar Products
Product Notes
The CYP4A11 cyp4a11 (Catalog #AAA119008) is an Antibody produced from Rabbit and is intended for research purposes only. The product is available for immediate purchase. The Rabbit anti-human Cytochrome P450 4A11 polyclonal Antibody(CYP4A11) reacts with Human and may cross-react with other species as described in the data sheet. AAA Biotech's Cytochrome P450 4A11 can be used in a range of immunoassay formats including, but not limited to, IHC (Immunohistochemistry), ELISA. Researchers should empirically determine the suitability of the CYP4A11 cyp4a11 for an application not listed in the data sheet. Researchers commonly develop new applications and it is an integral, important part of the investigative research process. It is sometimes possible for the material contained within the vial of "Cytochrome P450 4A11, Polyclonal Antibody" to become dispersed throughout the inside of the vial, particularly around the seal of said vial, during shipment and storage. We always suggest centrifuging these vials to consolidate all of the liquid away from the lid and to the bottom of the vial prior to opening. Please be advised that certain products may require dry ice for shipping and that, if this is the case, an additional dry ice fee may also be required.Precautions
All products in the AAA Biotech catalog are strictly for research-use only, and are absolutely not suitable for use in any sort of medical, therapeutic, prophylactic, in-vivo, or diagnostic capacity. By purchasing a product from AAA Biotech, you are explicitly certifying that said products will be properly tested and used in line with industry standard. AAA Biotech and its authorized distribution partners reserve the right to refuse to fulfill any order if we have any indication that a purchaser may be intending to use a product outside of our accepted criteria.Disclaimer
Though we do strive to guarantee the information represented in this datasheet, AAA Biotech cannot be held responsible for any oversights or imprecisions. AAA Biotech reserves the right to adjust any aspect of this datasheet at any time and without notice. It is the responsibility of the customer to inform AAA Biotech of any product performance issues observed or experienced within 30 days of receipt of said product. To see additional details on this or any of our other policies, please see our Terms & Conditions page.Item has been added to Shopping Cart
If you are ready to order, navigate to Shopping Cart and get ready to checkout.
