Rabbit DAB2IP Polyclonal Antibody | anti-DAB2IP antibody
DAB2IP Antibody
Predicted Reactivity: Pig(100%), Bovine(100%), Horse(100%), Rabbit(100%), Dog(100%), Chicken(100%)
Predicted Reactivity: Pig(100%), Bovine(100%), Horse(100%), Rabbit(100%), Dog(100%), Chicken(100%)
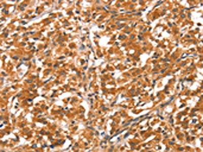
IHC (Immunohistochemistry)
(AAA329101 at 1/100 staining Mouse heart tissue by IHC-P. The sample was formaldehyde fixed and a heat mediated antigen retrieval step in citrate buffer was performed. The sample was then blocked and incubated with the primary antibody at 4°C overnight. An HRP conjugated anti-Rabbit antibody was used as the secondary antibody.)
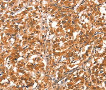
IHC (Immunohistochemisry)
(AAA329101 at 1/100 staining Rat heart tissue by IHC-P. The sample was formaldehyde fixed and a heat mediated antigen retrieval step in citrate buffer was performed. The sample was then blocked and incubated with the primary antibody at 4°C overnight. An HRP conjugated anti-Rabbit antibody was used as the secondary antibody.)
WB (Western Blot)
(Western blot analysis of extracts from Hela cells, using DAB2IP Antibody. The lane on the left was treated with blocking peptide.)
WB (Western Blot)
(Western blot analysis of extracts from B16F10 cells, using DAB2IP Antibody. The lane on the left was treated with blocking peptide.)
Post Translational Modifications: In response to TNF-alpha-induction, phosphorylated at Ser-728; phosphorylation leads to a conformational change, and thus, increases its association with 14-3-3 proteins, MAP3K5, RIPK1 and TRAF2 in endothelial cells; also stimulates regulatory p85 subunit sequestring and PI3K-p85 complex activity inhibition.
Subcellular Location: Cytoplasm. Cell membrane>Peripheral membrane protein. Membrane. Cell projection>Dendrite. Note: Localized in soma and dendrites of Purkinje cells as well as in scattered cell bodies in the molecular layer of the cerebellum (By similarity). Colocalizes with TIRAP at the plasma membrane. Colocalizes with ARF6 at the plasma membrane and endocytic vesicles. Translocates from the plasma membrane to the cytoplasm in response to TNF-alpha. Phosphatidylinositol 4-phosphate (PtdIns4P) binding is essential for plasma membrane localization.
Tissue Specificity: Expressed in endothelial and vascular smooth muscle cells (VSMCs). Expressed in prostate epithelial but poorly in prostate cancer cells. Poorly expressed in medulloblastoma cells compared to cerebellar precursor proliferating progenitor cells (at protein level). Low expression in prostate. Down-regulated in prostate cancer.
Subunit Structure: On plasma membrane, exists in an inactive form complexed with TNFR1; in response to TNF-alpha, dissociates from TNFR1 complex, translocates to cytoplasm and forms part of an intracellular signaling complex comprising TRADD, RALBP1, TRAF2 and MAP3K5. Interacts with DAB1. Interacts (via NPXY motif) with DAB2 (via PID domain). Interacts (via PH domain) with ERN1 (By similarity). Part of a cytoplasmic complex made of HIPK1, DAB2IP and MAP3K5 in response to TNF-alpha; this complex formation promotes MAP3K5-JNK activation and subsequent apoptosis. Interacts (via N-terminal domain) with JAK2; the interaction occurs in a IFNG/IFN-gamma-dependent manner and inhibits JAK2 autophosphorylation activity. Interacts (via C2 domain) with GSK3B; the interaction stimulates GSK3B kinase activation. Interacts (via C2 domain) with PPP2CA. Interacts (via proline-rich motif) with a regulatory p85 subunit (via SH3 domain) of the PI3K complex; the interaction inhibits the PI3K-AKT complex activity in a TNF-alpha-dependent manner in prostate cancer (PCa) cells. Interacts with AKT1; the interaction is increased in a TNF-alpha-induced manner. Interacts (via C2 domain and active form preferentially) with KDR/VEGFR2 (tyrosine-phosphorylated active form preferentially); the interaction occurs at the late phase of VEGFA response and inhibits KDR/VEGFR2 activity. Interacts (via N-terminus C2 domain) with MAP3K5 ('Ser-966' dephosphorylated form preferentially); the interaction occurs in a TNF-alpha-induced manner. Interacts (via Ras-GAP domain) with the catalytic subunit of protein phosphatase PP2A; the interaction occurs in resting endothelial cells, is further enhanced by TNF-alpha stimulation and is required to bridge PP2A to MAP3K5. Interacts (via C-terminus PER domain) with TRAF2 (via zinc fingers); the interaction occurs in a TNF-alpha-dependent manner. Interacts with 14-3-3 proteins; the interaction occurs in a TNF-alpha-dependent manner. Interacts (via Ras-GAP domain) with RIPK1 (via kinase domain); the interaction occurs in a TNF-alpha-dependent manner.
Similarity: The C2 and Ras-GAP domains constitutively bind to MAP3K5 and facilitate the release of 14-3-3 proteins from MAP3K5. The PH and Ras-GAP domains, but not the NPXY motif, are crucial for its cell membrane localization and neuronal migration function. The PH domain is necessary but not sufficient to activate the JNK signaling pathway through ERN1 (By similarity). Exists in a closed inactive form by an intramolecular interaction between the N- and the C-terminal domains. The proline-rich motif is critical both for PI3K-AKT activity inhibition and MAP3K5 activation. The PH and C2 domains are necessary for the binding to phosphatidylinositol phosphate. The Ras-GAP domain is necessary for its tumor-suppressive function.
NCBI and Uniprot Product Information
Predicted Molecular Weight: (Calculated)132kDa.
Customer Reviews
Loading reviews...
Share Your Experience
Similar Products
Product Notes
The DAB2IP dab2ip (Catalog #AAA329101) is an Antibody produced from Rabbit and is intended for research purposes only. The product is available for immediate purchase. The DAB2IP Antibody reacts with Human, Mouse, Rat Predicted Reactivity: Pig(100%), Bovine(100%), Horse(100%), Rabbit(100%), Dog(100%), Chicken(100%) and may cross-react with other species as described in the data sheet. AAA Biotech's DAB2IP can be used in a range of immunoassay formats including, but not limited to, ELISA. Researchers should empirically determine the suitability of the DAB2IP dab2ip for an application not listed in the data sheet. Researchers commonly develop new applications and it is an integral, important part of the investigative research process. It is sometimes possible for the material contained within the vial of "DAB2IP, Polyclonal Antibody" to become dispersed throughout the inside of the vial, particularly around the seal of said vial, during shipment and storage. We always suggest centrifuging these vials to consolidate all of the liquid away from the lid and to the bottom of the vial prior to opening. Please be advised that certain products may require dry ice for shipping and that, if this is the case, an additional dry ice fee may also be required.Precautions
All products in the AAA Biotech catalog are strictly for research-use only, and are absolutely not suitable for use in any sort of medical, therapeutic, prophylactic, in-vivo, or diagnostic capacity. By purchasing a product from AAA Biotech, you are explicitly certifying that said products will be properly tested and used in line with industry standard. AAA Biotech and its authorized distribution partners reserve the right to refuse to fulfill any order if we have any indication that a purchaser may be intending to use a product outside of our accepted criteria.Disclaimer
Though we do strive to guarantee the information represented in this datasheet, AAA Biotech cannot be held responsible for any oversights or imprecisions. AAA Biotech reserves the right to adjust any aspect of this datasheet at any time and without notice. It is the responsibility of the customer to inform AAA Biotech of any product performance issues observed or experienced within 30 days of receipt of said product. To see additional details on this or any of our other policies, please see our Terms & Conditions page.Item has been added to Shopping Cart
If you are ready to order, navigate to Shopping Cart and get ready to checkout.
