Rabbit anti-Human DAN domain family member 5 Polyclonal Antibody | anti-DAND5 antibody
Rabbit anti-human DAN domain family member 5 polyclonal Antibody(DAND5)
Gene Names
DAND5; SP1; CER2; COCO; CRL2; CERL2; DANTE; GREM3; CKTSF1B3
Reactivity
Human
Applications
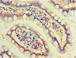
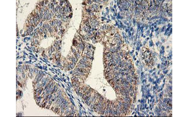
Immunohistochemistry, ELISA
Purity
Caprylic Acid Ammonium Sulfate Precipitation Purified
Synonyms
DAN domain family member 5, Antibody; Rabbit anti-human DAN domain family member 5 polyclonal Antibody(DAND5); Cerberus-like protein 2; Cerl-2; Cysteine knot superfamily 1; BMP antagonist 3; Gremlin-3; CER2; CKTSF1B3; GREM3; SP1; DAND5; anti-DAND5 antibody
Host
Rabbit
Reactivity
Human
Clonality
Polyclonal
Isotype
IgG
Purity/Purification
Caprylic Acid Ammonium Sulfate Precipitation Purified
Sequence Length
189
Applicable Applications for anti-DAND5 antibody
IHC (Immunohistochemistry), ELISA
Storage Buffer
Preservative: 0.03% Proclin 300
Constituents: 50% Glycerol, 0.01M PBS, PH 7.4
Constituents: 50% Glycerol, 0.01M PBS, PH 7.4
Conjugate
Non-conjugated
Immunogen
Recombinant human DAN domain family member 5 protein(23-189aa)
Preparation and Storage
Shipped at 4 degree C. Upon delivery aliquot and store at -20 degree C or -80 degree C. Avoid repeated freeze.
Related Product Information for anti-DAND5 antibody
Seems to play a role in the correct specification of the left-right axis. May antagonize NODAL and BMP4 signaling. Cystine knot-containing proteins play important roles during development, organogenesis, tissue growth and differentiation (By similarity).
NCBI and Uniprot Product Information
NCBI GI #
NCBI GeneID
NCBI Accession #
NCBI GenBank Nucleotide #
UniProt Accession #
Molecular Weight
20,180 Da
NCBI Official Full Name
DAN domain family member 5
NCBI Official Synonym Full Names
DAN domain family member 5, BMP antagonist
NCBI Official Symbol
DAND5
NCBI Official Synonym Symbols
SP1; CER2; COCO; CRL2; CERL2; DANTE; GREM3; CKTSF1B3
NCBI Protein Information
DAN domain family member 5
UniProt Protein Name
DAN domain family member 5
UniProt Gene Name
DAND5
UniProt Synonym Gene Names
CER2; CKTSF1B3; GREM3; SP1; Cerl-2
UniProt Entry Name
DAND5_HUMAN
Customer Reviews
Loading reviews...
Share Your Experience
Similar Products
Product Notes
The DAND5 dand5 (Catalog #AAA118300) is an Antibody produced from Rabbit and is intended for research purposes only. The product is available for immediate purchase. The Rabbit anti-human DAN domain family member 5 polyclonal Antibody(DAND5) reacts with Human and may cross-react with other species as described in the data sheet. AAA Biotech's DAN domain family member 5 can be used in a range of immunoassay formats including, but not limited to, IHC (Immunohistochemistry), ELISA. Researchers should empirically determine the suitability of the DAND5 dand5 for an application not listed in the data sheet. Researchers commonly develop new applications and it is an integral, important part of the investigative research process. It is sometimes possible for the material contained within the vial of "DAN domain family member 5, Polyclonal Antibody" to become dispersed throughout the inside of the vial, particularly around the seal of said vial, during shipment and storage. We always suggest centrifuging these vials to consolidate all of the liquid away from the lid and to the bottom of the vial prior to opening. Please be advised that certain products may require dry ice for shipping and that, if this is the case, an additional dry ice fee may also be required.Precautions
All products in the AAA Biotech catalog are strictly for research-use only, and are absolutely not suitable for use in any sort of medical, therapeutic, prophylactic, in-vivo, or diagnostic capacity. By purchasing a product from AAA Biotech, you are explicitly certifying that said products will be properly tested and used in line with industry standard. AAA Biotech and its authorized distribution partners reserve the right to refuse to fulfill any order if we have any indication that a purchaser may be intending to use a product outside of our accepted criteria.Disclaimer
Though we do strive to guarantee the information represented in this datasheet, AAA Biotech cannot be held responsible for any oversights or imprecisions. AAA Biotech reserves the right to adjust any aspect of this datasheet at any time and without notice. It is the responsibility of the customer to inform AAA Biotech of any product performance issues observed or experienced within 30 days of receipt of said product. To see additional details on this or any of our other policies, please see our Terms & Conditions page.Item has been added to Shopping Cart
If you are ready to order, navigate to Shopping Cart and get ready to checkout.
