Rabbit DAPK1 Polyclonal Antibody | anti-DAPK1 antibody
DAPK1 Antibody
Phosphate buffered saline, pH 7.4, 150mM NaCl, 0.02% sodium azide and 50% glycerol.
IHC (Immunohistochemistry)
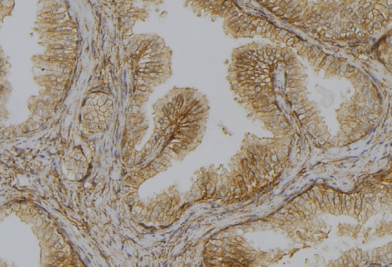
(AAA327382 at 1/100 staining Mouse colon tissue by IHC-P. The sample was formaldehyde fixed and a heat mediated antigen retrieval step in citrate buffer was performed. The sample was then blocked and incubated with the antibody for 1.5 hours at 22 degree C. An HRP conjugated goat anti-rabbit antibody was used as the secondary.)
Subunit Structure: Interacts with KLHL20. Interacts (via death domain) with MAPK1 and MAPK3. Interacts with MAP1B (via N-terminus). Interacts (via death domain) with UNC5B (via death domain). Interacts with PRKD1 in an oxidative stress-regulated manner. Interacts with PIN1, PDCD6, BECN1, GRINB, TSC2 and STX1A. Interacts (via kinase domain) with DAPK3 (via kinase domain).
Post-translational Modifications: Ubiquitinated by the BCR(KLHL20) E3 ubiquitin ligase complex, leading to its degradation by the proteasome. Removal of the C-terminal tail of isoform 2 (corresponding to amino acids 296-337 of isoform 2) by proteolytic cleavage stimulates maximally its membrane-blebbing function. In response to mitogenic stimulation (PMA or EGF), phosphorylated at Ser-289; phosphorylation suppresses DAPK1 pro-apoptotic function. Autophosphorylation at Ser-308 inhibits its catalytic activity. Phosphorylation at Ser-734 by MAPK1 increases its catalytic activity and promotes cytoplasmic retention of MAPK1. Endoplasmic-stress can cause dephosphorylation at Ser-308.
Similarity: The autoinhibitory domain sterically blocks the substrate peptide-binding site by making both hydrophobic and electrostatic contacts with the kinase core. Belongs to the protein kinase superfamily. CAMK Ser/Thr protein kinase family. DAP kinase subfamily.
NCBI and Uniprot Product Information
Predicted: 161 kDa
Customer Reviews
Loading reviews...
Share Your Experience
Similar Products
Product Notes
The DAPK1 dapk1 (Catalog #AAA327382) is an Antibody produced from Rabbit and is intended for research purposes only. The product is available for immediate purchase. The DAPK1 Antibody reacts with Human, Mouse, Rat and may cross-react with other species as described in the data sheet. AAA Biotech's DAPK1 can be used in a range of immunoassay formats including, but not limited to, ELISA, IHC (Immunohistochemistry), WB (Western Blot). Researchers should empirically determine the suitability of the DAPK1 dapk1 for an application not listed in the data sheet. Researchers commonly develop new applications and it is an integral, important part of the investigative research process. It is sometimes possible for the material contained within the vial of "DAPK1, Polyclonal Antibody" to become dispersed throughout the inside of the vial, particularly around the seal of said vial, during shipment and storage. We always suggest centrifuging these vials to consolidate all of the liquid away from the lid and to the bottom of the vial prior to opening. Please be advised that certain products may require dry ice for shipping and that, if this is the case, an additional dry ice fee may also be required.Precautions
All products in the AAA Biotech catalog are strictly for research-use only, and are absolutely not suitable for use in any sort of medical, therapeutic, prophylactic, in-vivo, or diagnostic capacity. By purchasing a product from AAA Biotech, you are explicitly certifying that said products will be properly tested and used in line with industry standard. AAA Biotech and its authorized distribution partners reserve the right to refuse to fulfill any order if we have any indication that a purchaser may be intending to use a product outside of our accepted criteria.Disclaimer
Though we do strive to guarantee the information represented in this datasheet, AAA Biotech cannot be held responsible for any oversights or imprecisions. AAA Biotech reserves the right to adjust any aspect of this datasheet at any time and without notice. It is the responsibility of the customer to inform AAA Biotech of any product performance issues observed or experienced within 30 days of receipt of said product. To see additional details on this or any of our other policies, please see our Terms & Conditions page.Item has been added to Shopping Cart
If you are ready to order, navigate to Shopping Cart and get ready to checkout.
