Rabbit anti-Human, Mouse DCAF12 Polyclonal Antibody | anti-DCAF12 antibody
DCAF12 Antibody
Gene Names
DCAF12; CT102; TCC52; WDR40A; KIAA1892
Reactivity
Human, Mouse
Applications
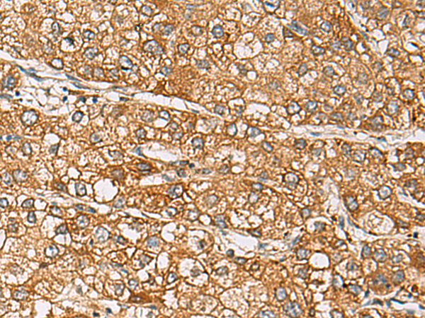
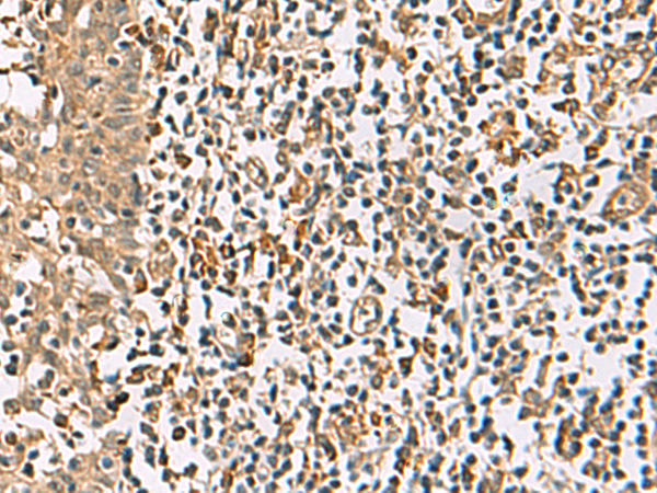
Immunohistochemistry
Purity
Antigen affinity purification
Synonyms
DCAF12, Antibody; DCAF12 Antibody; CT102; TCC52; WDR40A; KIAA1892; anti-DCAF12 antibody
Host
Rabbit
Reactivity
Human, Mouse
Clonality
Polyclonal
Purity/Purification
Antigen affinity purification
Form/Format
pH7.4 PBS, 0.05% NaN3, 40% Glycerol
Concentration
1.9mg/mL (varies by lot)
Applicable Applications for anti-DCAF12 antibody
IHC (Immunohistochemistry)
Immunogen
Synthetic peptide of human DCAF12
Conjugation
Unconjugated
Preparation and Storage
Store at -20 degree C for 1 year.
Related Product Information for anti-DCAF12 antibody
This gene encodes a WD repeat-containing protein that interacts with the COP9 signalosome, a macromolecular complex that interacts with cullin-RING E3 ligases and regulates their activity by hydrolyzing cullin-Nedd8 conjugates.
Product Categories/Family for anti-DCAF12 antibody
NCBI and Uniprot Product Information
NCBI GI #
NCBI GeneID
NCBI Accession #
NCBI GenBank Nucleotide #
UniProt Accession #
Molecular Weight
50,517 Da
NCBI Official Full Name
DDB1- and CUL4-associated factor 12
NCBI Official Synonym Full Names
DDB1 and CUL4 associated factor 12
NCBI Official Symbol
DCAF12
NCBI Official Synonym Symbols
CT102; TCC52; WDR40A; KIAA1892
NCBI Protein Information
DDB1- and CUL4-associated factor 12; WD repeat domain 40A; cancer/testis antigen 102; WD repeat-containing protein 40A; centrosome-related protein TCC52; testis cancer centrosome-related protein
UniProt Protein Name
Zinc finger matrin-type protein 4
UniProt Gene Name
ZMAT4
UniProt Entry Name
ZMAT4_HUMAN
Customer Reviews
Loading reviews...
Share Your Experience
Similar Products
MHC CLASS II MONOMORPHIC Antibody
Host: Mouse
Reactivity: n/a
Apps: Flow Cytometry, Functional Assay
MHC CLASS II MONOMORPHIC Antibody
Host: Mouse
Reactivity: n/a
Apps: Flow Cytometry, Functional Assay
Product Notes
The DCAF12 zmat4 (Catalog #AAA311861) is an Antibody produced from Rabbit and is intended for research purposes only. The product is available for immediate purchase. The DCAF12 Antibody reacts with Human, Mouse and may cross-react with other species as described in the data sheet. AAA Biotech's DCAF12 can be used in a range of immunoassay formats including, but not limited to, IHC (Immunohistochemistry). Researchers should empirically determine the suitability of the DCAF12 zmat4 for an application not listed in the data sheet. Researchers commonly develop new applications and it is an integral, important part of the investigative research process. It is sometimes possible for the material contained within the vial of "DCAF12, Polyclonal Antibody" to become dispersed throughout the inside of the vial, particularly around the seal of said vial, during shipment and storage. We always suggest centrifuging these vials to consolidate all of the liquid away from the lid and to the bottom of the vial prior to opening. Please be advised that certain products may require dry ice for shipping and that, if this is the case, an additional dry ice fee may also be required.Precautions
All products in the AAA Biotech catalog are strictly for research-use only, and are absolutely not suitable for use in any sort of medical, therapeutic, prophylactic, in-vivo, or diagnostic capacity. By purchasing a product from AAA Biotech, you are explicitly certifying that said products will be properly tested and used in line with industry standard. AAA Biotech and its authorized distribution partners reserve the right to refuse to fulfill any order if we have any indication that a purchaser may be intending to use a product outside of our accepted criteria.Disclaimer
Though we do strive to guarantee the information represented in this datasheet, AAA Biotech cannot be held responsible for any oversights or imprecisions. AAA Biotech reserves the right to adjust any aspect of this datasheet at any time and without notice. It is the responsibility of the customer to inform AAA Biotech of any product performance issues observed or experienced within 30 days of receipt of said product. To see additional details on this or any of our other policies, please see our Terms & Conditions page.Item has been added to Shopping Cart
If you are ready to order, navigate to Shopping Cart and get ready to checkout.
