Rabbit DCPS Polyclonal Antibody | anti-DCPS antibody
DCPS Antibody
Gene Names
DCPS; ARS; DCS1; HSL1; HINT5; HINT-5; HSPC015
Reactivity
Human, Mouse, Rat
Applications
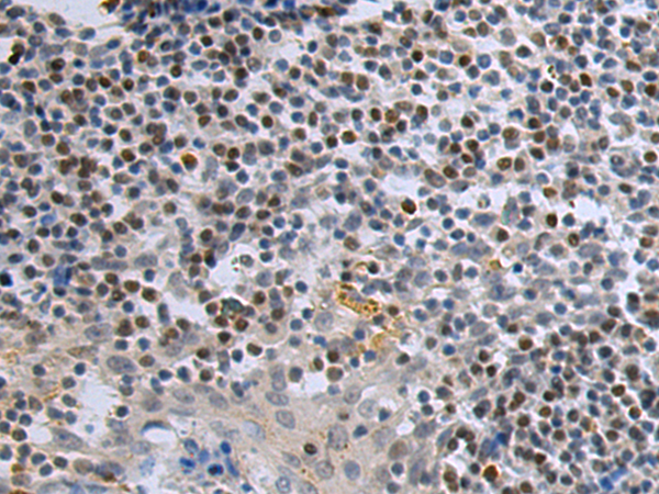
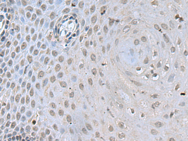
Immunohistochemistry
Purity
Antigen affinity purification
Synonyms
DCPS, Antibody; DCPS Antibody; ARS; DCS1; HSL1; HINT5; HINT-5; HSPC015; anti-DCPS antibody
Host
Rabbit
Reactivity
Human, Mouse, Rat
Clonality
Polyclonal
Purity/Purification
Antigen affinity purification
Form/Format
pH7.4 PBS, 0.05% NaN3, 40% Glycerol
Concentration
0.6mg/mL (varies by lot)
Applicable Applications for anti-DCPS antibody
IHC (Immunohistochemistry)
Immunogen
Fusion protein of human DCPS
Conjugation
Unconjugated
Preparation and Storage
Store at -20 degree C for 1 year.
Related Product Information for anti-DCPS antibody
Decapping scavenger enzyme that catalyzes the cleavage of a residual cap structure following the degradation of mRNAs by the 3'->5' exosome-mediated mRNA decay pathway. Hydrolyzes cap analog structures like 7-methylguanosine nucleoside triphosphate (m7GpppG) with up to 10 nucleotide substrates (small capped oligoribonucleotides) and specifically releases 5'-phosphorylated RNA fragments and 7-methylguanosine monophosphate (m7GMP). Cleaves cap analog structures like tri-methyl guanosine nucleoside triphosphate (m3 (2, 2, 7)GpppG) with very poor efficiency. Does not hydrolyze unmethylated cap analog (GpppG) and shows no decapping activity on intact m7GpppG-capped mRNA molecules longer than 25 nucleotides. Does not hydrolyze 7-methylguanosine diphosphate (m7GDP) to m7GMP (PubMed:22985415). May also play a role in the 5'->3 mRNA decay pathway; m7GDP, the downstream product released by the 5'->3' mRNA mediated decapping activity, may be also converted by DCPS to m7GMP (PubMed:14523240). Binds to m7GpppG and strongly to m7GDP. Plays a role in first intron splicing of pre-mRNAs. Inhibits activation-induced cell death.
Product Categories/Family for anti-DCPS antibody
NCBI and Uniprot Product Information
NCBI GI #
NCBI GeneID
Molecular Weight
38,609 Da
NCBI Official Full Name
Homo sapiens decapping enzyme, scavenger, mRNA
NCBI Official Synonym Full Names
decapping enzyme, scavenger
NCBI Official Symbol
DCPS
NCBI Official Synonym Symbols
ARS; DCS1; HSL1; HINT5; HINT-5; HSPC015
NCBI Protein Information
m7GpppX diphosphatase
UniProt Protein Name
Charged multivesicular body protein 6
UniProt Gene Name
CHMP6
UniProt Synonym Gene Names
VPS20; Vps20; hVps20
UniProt Entry Name
CHMP6_HUMAN
Customer Reviews
Loading reviews...
Share Your Experience
Similar Products
Product Notes
The DCPS chmp6 (Catalog #AAA311743) is an Antibody produced from Rabbit and is intended for research purposes only. The product is available for immediate purchase. The DCPS Antibody reacts with Human, Mouse, Rat and may cross-react with other species as described in the data sheet. AAA Biotech's DCPS can be used in a range of immunoassay formats including, but not limited to, IHC (Immunohistochemistry). Researchers should empirically determine the suitability of the DCPS chmp6 for an application not listed in the data sheet. Researchers commonly develop new applications and it is an integral, important part of the investigative research process. It is sometimes possible for the material contained within the vial of "DCPS, Polyclonal Antibody" to become dispersed throughout the inside of the vial, particularly around the seal of said vial, during shipment and storage. We always suggest centrifuging these vials to consolidate all of the liquid away from the lid and to the bottom of the vial prior to opening. Please be advised that certain products may require dry ice for shipping and that, if this is the case, an additional dry ice fee may also be required.Precautions
All products in the AAA Biotech catalog are strictly for research-use only, and are absolutely not suitable for use in any sort of medical, therapeutic, prophylactic, in-vivo, or diagnostic capacity. By purchasing a product from AAA Biotech, you are explicitly certifying that said products will be properly tested and used in line with industry standard. AAA Biotech and its authorized distribution partners reserve the right to refuse to fulfill any order if we have any indication that a purchaser may be intending to use a product outside of our accepted criteria.Disclaimer
Though we do strive to guarantee the information represented in this datasheet, AAA Biotech cannot be held responsible for any oversights or imprecisions. AAA Biotech reserves the right to adjust any aspect of this datasheet at any time and without notice. It is the responsibility of the customer to inform AAA Biotech of any product performance issues observed or experienced within 30 days of receipt of said product. To see additional details on this or any of our other policies, please see our Terms & Conditions page.Item has been added to Shopping Cart
If you are ready to order, navigate to Shopping Cart and get ready to checkout.
