Rabbit anti-Human DDX43 Polyclonal Antibody | anti-DDX43 antibody
DDX43 Antibody
Gene Names
DDX43; CT13; HAGE
Reactivity
Human
Applications
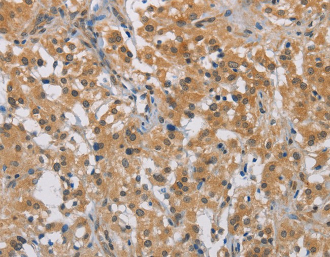
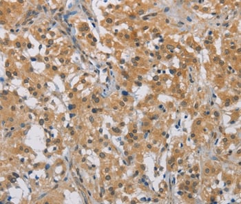
Immunohistochemistry, Western Blot
Purity
Antigen affinity purification.
Synonyms
DDX43, Antibody; DDX43 Antibody; CT13; HAGE; anti-DDX43 antibody
Host
Rabbit
Reactivity
Human
Clonality
Polyclonal
Specificity
The antibody detects endogenous levels of total DDX43 protein.
Purity/Purification
Antigen affinity purification.
Form/Format
Rabbit IgG in pH7.3 PBS, 0.05% NaN3, 50% Glycerol.
Concentration
2.3 mg/ml (varies by lot)
Sequence Length
648
Applicable Applications for anti-DDX43 antibody
IHC (Immunohistochemistry), WB (Western Blot)
Immunogen Type
Recombinant Protein
Immunogen Description
Fusion protein corresponding to a region derived from internal residues of human DEAD (Asp-Glu-Ala-Asp) box polypeptide 43
Target Name
DDX43
Preparation and Storage
Store at -20 degree C
Related Product Information for anti-DDX43 antibody
DEAD-box proteins, characterized by the conserved motif Asp-Glu-Ala-Asp, are putative RNA helicases implicated in several cellular processes involving modifications of RNA secondary structure and ribosome/spliceosome assembly. Based on their distribution patterns, some members of this family may be involved in embryogenesis, spermatogenesis and cellular growth and division. DDX43 (DEAD (Asp-Glu-Ala-Asp) box polypeptide 43), also known as CT13 or HAGE, is a 648 amino acid protein that contains one KH domain, one helicase C-terminal domain and one helicase ATP-binding domain and belongs to the DEAD-box family. Expressed in testis and present at abnormally high levels in a variety of tumors, DDX43 is thought to function as an ATP-dependent RNA helicase that may play a role tumor transformation and metastasis.
Product Categories/Family for anti-DDX43 antibody
NCBI and Uniprot Product Information
NCBI GI #
NCBI GeneID
NCBI Accession #
NCBI GenBank Nucleotide #
Molecular Weight
21,295 Da
NCBI Official Full Name
probable ATP-dependent RNA helicase DDX43
NCBI Official Synonym Full Names
DEAD (Asp-Glu-Ala-Asp) box polypeptide 43
NCBI Official Symbol
DDX43
NCBI Official Synonym Symbols
CT13; HAGE
NCBI Protein Information
probable ATP-dependent RNA helicase DDX43
UniProt Protein Name
Probable ATP-dependent RNA helicase DDX43
UniProt Gene Name
DDX43
UniProt Synonym Gene Names
HAGE; CT13
UniProt Entry Name
DDX43_HUMAN
Customer Reviews
Loading reviews...
Share Your Experience
Similar Products
Product Notes
The DDX43 ddx43 (Catalog #AAA307325) is an Antibody produced from Rabbit and is intended for research purposes only. The product is available for immediate purchase. The DDX43 Antibody reacts with Human and may cross-react with other species as described in the data sheet. AAA Biotech's DDX43 can be used in a range of immunoassay formats including, but not limited to, IHC (Immunohistochemistry), WB (Western Blot). Researchers should empirically determine the suitability of the DDX43 ddx43 for an application not listed in the data sheet. Researchers commonly develop new applications and it is an integral, important part of the investigative research process. It is sometimes possible for the material contained within the vial of "DDX43, Polyclonal Antibody" to become dispersed throughout the inside of the vial, particularly around the seal of said vial, during shipment and storage. We always suggest centrifuging these vials to consolidate all of the liquid away from the lid and to the bottom of the vial prior to opening. Please be advised that certain products may require dry ice for shipping and that, if this is the case, an additional dry ice fee may also be required.Precautions
All products in the AAA Biotech catalog are strictly for research-use only, and are absolutely not suitable for use in any sort of medical, therapeutic, prophylactic, in-vivo, or diagnostic capacity. By purchasing a product from AAA Biotech, you are explicitly certifying that said products will be properly tested and used in line with industry standard. AAA Biotech and its authorized distribution partners reserve the right to refuse to fulfill any order if we have any indication that a purchaser may be intending to use a product outside of our accepted criteria.Disclaimer
Though we do strive to guarantee the information represented in this datasheet, AAA Biotech cannot be held responsible for any oversights or imprecisions. AAA Biotech reserves the right to adjust any aspect of this datasheet at any time and without notice. It is the responsibility of the customer to inform AAA Biotech of any product performance issues observed or experienced within 30 days of receipt of said product. To see additional details on this or any of our other policies, please see our Terms & Conditions page.Item has been added to Shopping Cart
If you are ready to order, navigate to Shopping Cart and get ready to checkout.
