Rabbit anti-Human DEAF1 Polyclonal Antibody | anti-DEAF1 antibody
DEAF1 Antibody
Gene Names
DEAF1; SPN; NUDR; MRD24; ZMYND5
Reactivity
Human
Applications
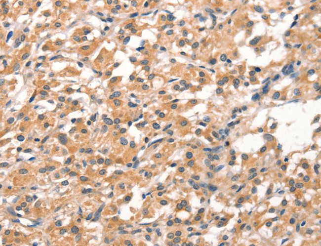
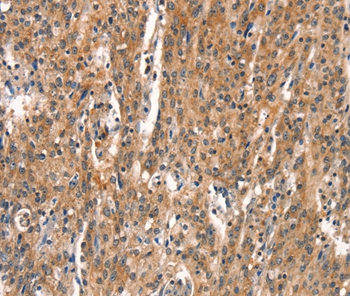
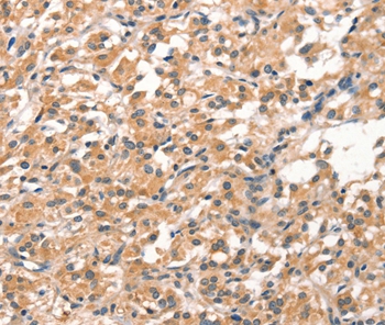
Immunohistochemistry
Purity
Antigen affinity purification.
Synonyms
DEAF1, Antibody; DEAF1 Antibody; SPN; NUDR; ZMYND5; anti-DEAF1 antibody
Host
Rabbit
Reactivity
Human
Clonality
Polyclonal
Specificity
The antibody detects endogenous levels of total DEAF1 protein.
Purity/Purification
Antigen affinity purification.
Form/Format
Rabbit IgG in pH7.3 PBS, 0.05% NaN3, 50% Glycerol.
Concentration
1.5 mg/ml (varies by lot)
Sequence Length
490
Applicable Applications for anti-DEAF1 antibody
IHC (Immunohistochemistry)
Immunogen Type
Peptide
Immunogen Description
Synthetic peptide corresponding to residues near the C terminal of human DEAF1 transcription factor
Target Name
DEAF1
Preparation and Storage
Store at -20 degree C
Related Product Information for anti-DEAF1 antibody
Suppressin, also known as DEAF1 (deformed epidermal autoregulatory factor 1), SPN, NUDR (nuclear DEAF-1-related transcriptional regulator), or ZMYND5 (zinc finger MYND domain-containing protein 5), is a transcription factor required for embryonic development. Suppressin contains one SAND domain and one C-terminal MYND-type zinc finger. It interacts with LMO4 and CLIM-2, suggesting that it plays a role mediating cell fate and embryonic pattern formation. Suppressin is expressed in a variety of tissues and localizes to the nucleus. Several isoforms exist due to alternative splicing and, depending on the isoform, Suppressin is secreted in some cell types. Secreted Suppressin can function to inhibit cell proliferation, arresting cells in the G0 or G1 phase. Mutations in the gene encoding Suppressin may result in a growth advantage leading to the development and progression of neoplasia. This suggest that Supressin is a potential target for cancer therapy.
Product Categories/Family for anti-DEAF1 antibody
NCBI and Uniprot Product Information
NCBI GI #
NCBI GeneID
NCBI Accession #
NCBI GenBank Nucleotide #
UniProt Accession #
Molecular Weight
51,277 Da
NCBI Official Full Name
deformed epidermal autoregulatory factor 1 homolog isoform b
NCBI Official Synonym Full Names
DEAF1 transcription factor
NCBI Official Symbol
DEAF1
NCBI Official Synonym Symbols
SPN; NUDR; MRD24; ZMYND5
NCBI Protein Information
deformed epidermal autoregulatory factor 1 homolog
UniProt Protein Name
Deformed epidermal autoregulatory factor 1 homolog
UniProt Gene Name
DEAF1
UniProt Synonym Gene Names
SPN; ZMYND5; NUDR
UniProt Entry Name
DEAF1_HUMAN
Customer Reviews
Loading reviews...
Share Your Experience
Similar Products
Product Notes
The DEAF1 deaf1 (Catalog #AAA304310) is an Antibody produced from Rabbit and is intended for research purposes only. The product is available for immediate purchase. The DEAF1 Antibody reacts with Human and may cross-react with other species as described in the data sheet. AAA Biotech's DEAF1 can be used in a range of immunoassay formats including, but not limited to, IHC (Immunohistochemistry). Researchers should empirically determine the suitability of the DEAF1 deaf1 for an application not listed in the data sheet. Researchers commonly develop new applications and it is an integral, important part of the investigative research process. It is sometimes possible for the material contained within the vial of "DEAF1, Polyclonal Antibody" to become dispersed throughout the inside of the vial, particularly around the seal of said vial, during shipment and storage. We always suggest centrifuging these vials to consolidate all of the liquid away from the lid and to the bottom of the vial prior to opening. Please be advised that certain products may require dry ice for shipping and that, if this is the case, an additional dry ice fee may also be required.Precautions
All products in the AAA Biotech catalog are strictly for research-use only, and are absolutely not suitable for use in any sort of medical, therapeutic, prophylactic, in-vivo, or diagnostic capacity. By purchasing a product from AAA Biotech, you are explicitly certifying that said products will be properly tested and used in line with industry standard. AAA Biotech and its authorized distribution partners reserve the right to refuse to fulfill any order if we have any indication that a purchaser may be intending to use a product outside of our accepted criteria.Disclaimer
Though we do strive to guarantee the information represented in this datasheet, AAA Biotech cannot be held responsible for any oversights or imprecisions. AAA Biotech reserves the right to adjust any aspect of this datasheet at any time and without notice. It is the responsibility of the customer to inform AAA Biotech of any product performance issues observed or experienced within 30 days of receipt of said product. To see additional details on this or any of our other policies, please see our Terms & Conditions page.Item has been added to Shopping Cart
If you are ready to order, navigate to Shopping Cart and get ready to checkout.
