Rabbit anti-Human, Pig Defensin Alpha 3 Polyclonal Antibody | anti-DEFa3 antibody
Polyclonal Antibody to Defensin Alpha 3, Neutrophil Specific (DEFa3)
Gene Names
DEFA3; HP3; DEF3; HNP3; HP-3; HNP-3
Reactivity
Human, Pig
Applications
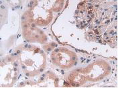
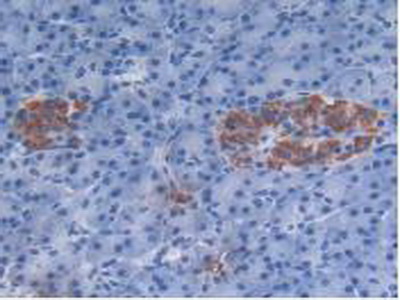
Immunoprecipitation, Immunocytochemistry, Immunohistochemistry, Western Blot
Purity
Antigen-specific affinity chromatography followed by Protein A affinity chromatography
Synonyms
Defensin Alpha 3, Antibody; Polyclonal Antibody to Defensin Alpha 3, Neutrophil Specific (DEFa3); anti-DEFa3 antibody
Host
Rabbit
Reactivity
Human, Pig
Clonality
Polyclonal
Specificity
The antibody is a rabbit polyclonal antibody raised against DEFa3. It has beenselected for its ability to recognize DEFa3 in immunohistochemical staining andwestern blotting.
Purity/Purification
Antigen-specific affinity chromatography followed by Protein A affinity chromatography
Form/Format
Supplied as solution form in 0.01M PBS, pH7.4, containing 0.05% Proclin-300, 50% glycerol.
Concentration
500ug/mL (varies by lot)
Sequence
Antigen: The target protein is fused with N-terminal His-Tag and its sequence is listed below.
MGHHHHHHSGSEF-PLQARADEVA AAPEQIAADI PEVVVSLAWD ESLAPKHPGS RKNMDCYCRI PACIAGERRY GTCIYQGRLW AFCC
MGHHHHHHSGSEF-PLQARADEVA AAPEQIAADI PEVVVSLAWD ESLAPKHPGS RKNMDCYCRI PACIAGERRY GTCIYQGRLW AFCC
Sequence Length
94
Applicable Applications for anti-DEFa3 antibody
IP (Immunoprecipitation), ICC (Immunocytochemistry), IHC (Immunohistochemistry), WB (Western Blot)
Source
Polyclonal antibody preparation
Traits
Liquid
Immunogen
Recombinant DEFa3 (Pro21~Cys94) expressed in E.coli
Cross Reactivity
Human
Conjugated Antibody
The APC conjugated antibody version of this item is also available as
Preparation and Storage
Storage:
Avoid repeated freeze/thaw cycles.
Store at 4ºC for frequent use.
Aliquot and store at -20ºC for 12 months.
Stability Test:
The thermal stability is described by the loss rate. The loss rate was determined by accelerated thermal degradation test, that is, incubate the protein at 37°C for 48h, and no obvious degradation and precipitation were observed. The loss rate is less than 5% within the expiration date under appropriate storage condition.
Avoid repeated freeze/thaw cycles.
Store at 4ºC for frequent use.
Aliquot and store at -20ºC for 12 months.
Stability Test:
The thermal stability is described by the loss rate. The loss rate was determined by accelerated thermal degradation test, that is, incubate the protein at 37°C for 48h, and no obvious degradation and precipitation were observed. The loss rate is less than 5% within the expiration date under appropriate storage condition.
NCBI and Uniprot Product Information
NCBI GI #
NCBI GeneID
NCBI Accession #
NCBI GenBank Nucleotide #
Molecular Weight
10,245 Da
NCBI Official Full Name
neutrophil defensin 3 preproprotein
NCBI Official Synonym Full Names
defensin alpha 3
NCBI Official Symbol
DEFA3
NCBI Official Synonym Symbols
HP3; DEF3; HNP3; HP-3; HNP-3
NCBI Protein Information
neutrophil defensin 3
UniProt Protein Name
Neutrophil defensin 3
UniProt Gene Name
DEFA3
UniProt Synonym Gene Names
DEF3; HP-3; HP3; HP-2; HP2
Customer Reviews
Loading reviews...
Share Your Experience
Similar Products
Product Notes
The DEFa3 defa3 (Catalog #AAA141540) is an Antibody produced from Rabbit and is intended for research purposes only. The product is available for immediate purchase. The Polyclonal Antibody to Defensin Alpha 3, Neutrophil Specific (DEFa3) reacts with Human, Pig and may cross-react with other species as described in the data sheet. AAA Biotech's Defensin Alpha 3 can be used in a range of immunoassay formats including, but not limited to, IP (Immunoprecipitation), ICC (Immunocytochemistry), IHC (Immunohistochemistry), WB (Western Blot). Researchers should empirically determine the suitability of the DEFa3 defa3 for an application not listed in the data sheet. Researchers commonly develop new applications and it is an integral, important part of the investigative research process. The amino acid sequence is listed below: Antigen: The target protein is fused with N-terminal His-Tag and its sequence is listed below. MGHHHHHHSG SEF-PLQARA DEVA AAPEQIAADI PEVVVSLAWD ESLAPKHPGS RKNMDCYCRI PACIAGERRY GTCIYQGRLW AFCC. It is sometimes possible for the material contained within the vial of "Defensin Alpha 3, Polyclonal Antibody" to become dispersed throughout the inside of the vial, particularly around the seal of said vial, during shipment and storage. We always suggest centrifuging these vials to consolidate all of the liquid away from the lid and to the bottom of the vial prior to opening. Please be advised that certain products may require dry ice for shipping and that, if this is the case, an additional dry ice fee may also be required.Precautions
All products in the AAA Biotech catalog are strictly for research-use only, and are absolutely not suitable for use in any sort of medical, therapeutic, prophylactic, in-vivo, or diagnostic capacity. By purchasing a product from AAA Biotech, you are explicitly certifying that said products will be properly tested and used in line with industry standard. AAA Biotech and its authorized distribution partners reserve the right to refuse to fulfill any order if we have any indication that a purchaser may be intending to use a product outside of our accepted criteria.Disclaimer
Though we do strive to guarantee the information represented in this datasheet, AAA Biotech cannot be held responsible for any oversights or imprecisions. AAA Biotech reserves the right to adjust any aspect of this datasheet at any time and without notice. It is the responsibility of the customer to inform AAA Biotech of any product performance issues observed or experienced within 30 days of receipt of said product. To see additional details on this or any of our other policies, please see our Terms & Conditions page.Item has been added to Shopping Cart
If you are ready to order, navigate to Shopping Cart and get ready to checkout.
