Rabbit DES Polyclonal Antibody | anti-DES antibody
DES Antibody
Phosphate buffered saline, pH 7.4, 150mM NaCl, 0.02% sodium azide and 50% glycerol.
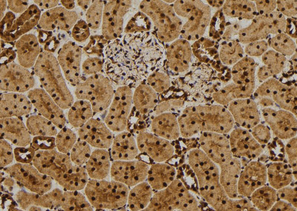
IHC (Immunohiostchemistry)
(AAA325920 at 1/100 staining Rat kidney tissue by IHC-P. The sample was formaldehyde fixed and a heat mediated antigen retrieval step in citrate buffer was performed. The sample was then blocked and incubated with the antibody for 1.5 hours at 22 degree C. An HRP conjugated goat anti-rabbit antibody was used as the secondary.)
WB (Western Blot)
(Western blot analysis of heart lysate using DES antibody. The lane on the left is treated with the antigen-specific peptide.)
Function: Muscle-specific type III intermediate filament essential for proper muscular structure and function. Plays a crucial role in maintaining the structure of sarcomeres, inter-connecting the Z-disks and forming the myofibrils, linking them not only to the sarcolemmal cytoskeleton, but also to the nucleus and mitochondria, thus providing strength for the muscle fiber during activity (PubMed:25358400). In adult striated muscle they form a fibrous network connecting myofibrils to each other and to the plasma membrane from the periphery of the Z-line structures (PubMed:24200904, PubMed:25394388, PubMed:26724190). May act as a sarcomeric microtubule-anchoring protein: specifically associates with detyrosinated tubulin-alpha chains, leading to buckled microtubules and mechanical resistance to contraction. Contributes to the transcriptional regulation of the NKX2-5 gene in cardiac progenitor cells during a short period of cardiomyogenesis and in cardiac side population stem cells in the adult. Plays a role in maintaining an optimal conformation of nebulette (NEB) on heart muscle sarcomeres to bind and recruit cardiac alpha-actin (By similarity).
Subunit Structure: Homopolymer (PubMed:21135508). Interacts with DST (By similarity). Interacts with MTM1 (PubMed:21135508). Interacts with EPPK1; interaction is dependent of higher-order structure of intermediate filament (PubMed:16923132). Interacts with CRYAB (PubMed:28470624). Interacts with NEB (via nebulin repeats 160-164) (PubMed:23615443). Interacts (via rod region) with NEBL (via nebulin repeats 1-5) (PubMed:27733623).
Post-translational Modifications: ADP-ribosylation prevents ability to form intermediate filaments. Phosphorylation at Ser-7, Ser-28 and Ser-32 by CDK1, phosphorylation at Ser-60 by AURKB and phosphorylation at Thr-76 by ROCK1 contribute to efficient separation of desmin intermediate filaments during mitosis.
Similarity: Belongs to the intermediate filament family.
NCBI and Uniprot Product Information
Predicted: 54 kDa
Customer Reviews
Loading reviews...
Share Your Experience
Similar Products
Product Notes
The DES des (Catalog #AAA325920) is an Antibody produced from Rabbit and is intended for research purposes only. The product is available for immediate purchase. The DES Antibody reacts with Human, Mouse, Rat and may cross-react with other species as described in the data sheet. AAA Biotech's DES can be used in a range of immunoassay formats including, but not limited to, ELISA, IHC (Immunohistochemistry), WB (Western Blot). Researchers should empirically determine the suitability of the DES des for an application not listed in the data sheet. Researchers commonly develop new applications and it is an integral, important part of the investigative research process. It is sometimes possible for the material contained within the vial of "DES, Polyclonal Antibody" to become dispersed throughout the inside of the vial, particularly around the seal of said vial, during shipment and storage. We always suggest centrifuging these vials to consolidate all of the liquid away from the lid and to the bottom of the vial prior to opening. Please be advised that certain products may require dry ice for shipping and that, if this is the case, an additional dry ice fee may also be required.Precautions
All products in the AAA Biotech catalog are strictly for research-use only, and are absolutely not suitable for use in any sort of medical, therapeutic, prophylactic, in-vivo, or diagnostic capacity. By purchasing a product from AAA Biotech, you are explicitly certifying that said products will be properly tested and used in line with industry standard. AAA Biotech and its authorized distribution partners reserve the right to refuse to fulfill any order if we have any indication that a purchaser may be intending to use a product outside of our accepted criteria.Disclaimer
Though we do strive to guarantee the information represented in this datasheet, AAA Biotech cannot be held responsible for any oversights or imprecisions. AAA Biotech reserves the right to adjust any aspect of this datasheet at any time and without notice. It is the responsibility of the customer to inform AAA Biotech of any product performance issues observed or experienced within 30 days of receipt of said product. To see additional details on this or any of our other policies, please see our Terms & Conditions page.Item has been added to Shopping Cart
If you are ready to order, navigate to Shopping Cart and get ready to checkout.
