Goat DESMIN Polyclonal Antibody | anti-DES antibody
GOAT ANTI HUMAN DESMIN (C-TERMINAL)
Gene Names
DES; CSM1; CSM2; LGMD2R
Reactivity
Bovine (Expected from Sequence), Dog (Expected from Sequence), Mouse, Pig (Expected from Sequence), Rat
Applications
Western Blot, Immunohistochemistry, ELISA
Synonyms
DESMIN, Antibody; GOAT ANTI HUMAN DESMIN (C-TERMINAL); anti-DES antibody
Host
Goat
Reactivity
Bovine (Expected from Sequence), Dog (Expected from Sequence), Mouse, Pig (Expected from Sequence), Rat
Clonality
Polyclonal
Isotype
IgG
Form/Format
Purified
Purified IgG - liquid
Purified IgG - liquid
Concentration
IgG concentration 0.5 mg/ml (varies by lot)
Sequence Length
470
Applicable Applications for anti-DES antibody
WB (Western Blot), IHC (Immunohistochemistry), ELISA
Perservative Stabilisers
0.02% Sodium Azide (NaN3)
0.5% Bovine Serum Albumin
0.5% Bovine Serum Albumin
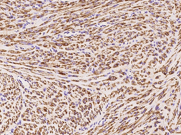
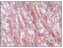
Histology Positive Control Tissue
Human prostate
Buffer Solution
Buffer Solution
Antiserum Preparation
Antiserum to human Desmin (CT) was raised by repeated immunisation of goats with highly purified antigen. Purified IgG was prepared by affinity chromatography.
Target Species
Human
Preparation and Storage
Store at 4 degree C or at -20 degree C if preferred. Storage in frost-free freezers is not recommended. This product should be stored undiluted. Avoid repeated freezing and thawing as this may denature the antibody. Should this product contain a precipitate we recommend microcentrifugation before use.
Shelf Life: 18 months from date of despatch.
Shelf Life: 18 months from date of despatch.
Related Product Information for anti-DES antibody
Goat anti Human Desmin antibody recognizes an epitope within the C-terminal (CT) region of human Desmin, a type III intermediate filament (IF), localized near the Z line in sacromeres of skeletal, smooth and cardiac muscle tissue. Desmin plays an essential role in the architecture of muscle cells, connecting the Z-disk to the subsarcolemmal cytoskeleton, and the contractile apparatus to the, mitochondria, cell nucleus and post-synaptic areas of motor endplates. Desmin is an early indicator for muscle tissue in embryogenesis, and a marker for tumours of myogenic origin. Mutations in the Desmin gene, are responsible for the neuromuscular disorder known as desmin-related cardio skeletal myopathy (CSM), characterized by skeletal muscle weakness.
NCBI and Uniprot Product Information
NCBI GI #
NCBI GeneID
NCBI Accession #
NCBI GenBank Nucleotide #
UniProt Accession #
Molecular Weight
53,536 Da
NCBI Official Full Name
desmin
NCBI Official Synonym Full Names
desmin
NCBI Official Symbol
DES
NCBI Official Synonym Symbols
CSM1; CSM2; LGMD2R
NCBI Protein Information
desmin; intermediate filament protein; mutant desmin p.K241E
UniProt Protein Name
Desmin
UniProt Gene Name
DES
UniProt Entry Name
DESM_HUMAN
Customer Reviews
Loading reviews...
Share Your Experience
Similar Products
Product Notes
The DES des (Catalog #AAA50043) is an Antibody produced from Goat and is intended for research purposes only. The product is available for immediate purchase. The GOAT ANTI HUMAN DESMIN (C-TERMINAL) reacts with Bovine (Expected from Sequence), Dog (Expected from Sequence), Mouse, Pig (Expected from Sequence), Rat and may cross-react with other species as described in the data sheet. AAA Biotech's DESMIN can be used in a range of immunoassay formats including, but not limited to, WB (Western Blot), IHC (Immunohistochemistry), ELISA. Researchers should empirically determine the suitability of the DES des for an application not listed in the data sheet. Researchers commonly develop new applications and it is an integral, important part of the investigative research process. It is sometimes possible for the material contained within the vial of "DESMIN, Polyclonal Antibody" to become dispersed throughout the inside of the vial, particularly around the seal of said vial, during shipment and storage. We always suggest centrifuging these vials to consolidate all of the liquid away from the lid and to the bottom of the vial prior to opening. Please be advised that certain products may require dry ice for shipping and that, if this is the case, an additional dry ice fee may also be required.Precautions
All products in the AAA Biotech catalog are strictly for research-use only, and are absolutely not suitable for use in any sort of medical, therapeutic, prophylactic, in-vivo, or diagnostic capacity. By purchasing a product from AAA Biotech, you are explicitly certifying that said products will be properly tested and used in line with industry standard. AAA Biotech and its authorized distribution partners reserve the right to refuse to fulfill any order if we have any indication that a purchaser may be intending to use a product outside of our accepted criteria.Disclaimer
Though we do strive to guarantee the information represented in this datasheet, AAA Biotech cannot be held responsible for any oversights or imprecisions. AAA Biotech reserves the right to adjust any aspect of this datasheet at any time and without notice. It is the responsibility of the customer to inform AAA Biotech of any product performance issues observed or experienced within 30 days of receipt of said product. To see additional details on this or any of our other policies, please see our Terms & Conditions page.Item has been added to Shopping Cart
If you are ready to order, navigate to Shopping Cart and get ready to checkout.
