Rabbit anti-Human Dipeptidyl peptidase 8 Polyclonal Antibody | anti-DPP8 antibody
Rabbit anti-human Dipeptidyl peptidase 8 polyclonal Antibody(DPP8)
Gene Names
DPP8; DP8; DPRP1; MST097; MSTP097; MSTP135; MSTP141
Reactivity
Human
Applications
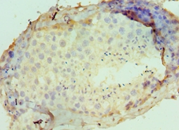
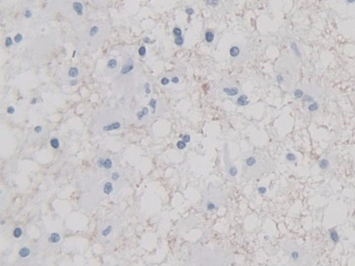
Immunohistochemistry, ELISA
Purity
Antigen Affinity Purified
Synonyms
Dipeptidyl peptidase 8, Antibody; Rabbit anti-human Dipeptidyl peptidase 8 polyclonal Antibody(DPP8); DP8; Dipeptidyl peptidase IV-related protein 1; DPRP-1; Dipeptidyl peptidase VIII; DPP VIII; Prolyl dipeptidase DPP8; DPP8; DPRP1; MSTP097; MSTP135; MSTP141; anti-DPP8 antibody
Host
Rabbit
Reactivity
Human
Clonality
Polyclonal
Isotype
IgG
Purity/Purification
Antigen Affinity Purified
Sequence Length
782
Applicable Applications for anti-DPP8 antibody
IHC (Immunohistochemistry), ELISA
Storage Buffer
PBS with 0.02% sodium azide, 50% glycerol, pH7.3.
Conjugate
Non-conjugated
Immunogen
Recombinant human Dipeptidyl peptidase 8 protein (10-230aa)
Santa Cruz Alternative
Potential replacement for Santa Cruz Biotechnology antibody catalog# sc-68349
Preparation and Storage
Shipped at 4 degree C. Upon delivery aliquot and store at -20 degree C or -80 degree C. Avoid repeated freeze.
Related Product Information for anti-DPP8 antibody
Dipeptidyl peptidase that cleaves off N-terminal dipeptides from proteins having a Pro or Ala residue at position 2. May play a role in T-cell activation and immune function.
NCBI and Uniprot Product Information
NCBI GI #
NCBI GeneID
NCBI Accession #
NCBI GenBank Nucleotide #
UniProt Accession #
Molecular Weight
83,398 Da
NCBI Official Full Name
dipeptidyl peptidase 8 isoform 2
NCBI Official Synonym Full Names
dipeptidyl-peptidase 8
NCBI Official Symbol
DPP8
NCBI Official Synonym Symbols
DP8; DPRP1; MST097; MSTP097; MSTP135; MSTP141
NCBI Protein Information
dipeptidyl peptidase 8
UniProt Protein Name
Dipeptidyl peptidase 8
UniProt Gene Name
DPP8
UniProt Synonym Gene Names
DPRP1; DP8; DPRP-1; DPP VIII
UniProt Entry Name
DPP8_HUMAN
Customer Reviews
Loading reviews...
Share Your Experience
Similar Products
Product Notes
The DPP8 dpp8 (Catalog #AAA118991) is an Antibody produced from Rabbit and is intended for research purposes only. The product is available for immediate purchase. The Rabbit anti-human Dipeptidyl peptidase 8 polyclonal Antibody(DPP8) reacts with Human and may cross-react with other species as described in the data sheet. AAA Biotech's Dipeptidyl peptidase 8 can be used in a range of immunoassay formats including, but not limited to, IHC (Immunohistochemistry), ELISA. Researchers should empirically determine the suitability of the DPP8 dpp8 for an application not listed in the data sheet. Researchers commonly develop new applications and it is an integral, important part of the investigative research process. It is sometimes possible for the material contained within the vial of "Dipeptidyl peptidase 8, Polyclonal Antibody" to become dispersed throughout the inside of the vial, particularly around the seal of said vial, during shipment and storage. We always suggest centrifuging these vials to consolidate all of the liquid away from the lid and to the bottom of the vial prior to opening. Please be advised that certain products may require dry ice for shipping and that, if this is the case, an additional dry ice fee may also be required.Precautions
All products in the AAA Biotech catalog are strictly for research-use only, and are absolutely not suitable for use in any sort of medical, therapeutic, prophylactic, in-vivo, or diagnostic capacity. By purchasing a product from AAA Biotech, you are explicitly certifying that said products will be properly tested and used in line with industry standard. AAA Biotech and its authorized distribution partners reserve the right to refuse to fulfill any order if we have any indication that a purchaser may be intending to use a product outside of our accepted criteria.Disclaimer
Though we do strive to guarantee the information represented in this datasheet, AAA Biotech cannot be held responsible for any oversights or imprecisions. AAA Biotech reserves the right to adjust any aspect of this datasheet at any time and without notice. It is the responsibility of the customer to inform AAA Biotech of any product performance issues observed or experienced within 30 days of receipt of said product. To see additional details on this or any of our other policies, please see our Terms & Conditions page.Item has been added to Shopping Cart
If you are ready to order, navigate to Shopping Cart and get ready to checkout.
