DMRT1 Polyclonal Antibody | anti-DMRT1 antibody
Anti-DMRT1 Antibody
Gene Names
DMRT1; DMT1; CT154
Reactivity
Human, Mouse, Rat
Applications
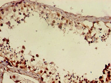
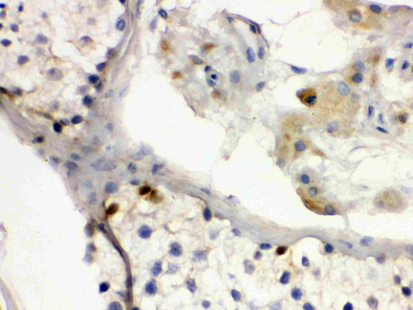
Immunohistochemistry, Western Blot
Purity
Immunogen Affinity Purified
Synonyms
DMRT1, Antibody; Anti-DMRT1 Antibody; Doublesex- and mab-3-related transcription factor 1; CT154; DM domain expressed in testis 1; DM domain expressed in testis protein 1; DM domain gene expressed in testis; DMRT 1; dmrt1; DMRT1_HUMAN; DMT 1; DMT1; Doublesex and mab 3 related transcription factor 1; doublesex and mab-3 related transcription factor 1; anti-DMRT1 antibody
Reactivity
Human, Mouse, Rat
Clonality
Polyclonal
Purity/Purification
Immunogen Affinity Purified
Form/Format
Lyophilized. Each vial contains 5mg BSA, 0.9mg NaCl, 0.2mg Na2HPO4, 0.05mg NaN3.
Sequence Length
373
Applicable Applications for anti-DMRT1 antibody
IHC (Immunohistochemistry), WB (Western Blot)
Immunogen
A synthetic peptide corresponding to a sequence at the N-terminus of human DMRT1 (98-128aa RDCQCKKCNLIAERQRVMAAQVALRRQQAQE), different from the related mouse sequence by one amino acid.
Ig Type
Rabbit IgG
Reconstitution
Add 0.2ml of distilled water will yield a concentration of 500ug/ml.
Preparation and Storage
At -20 degree C for one year. After reconstitution, at 4 degree C for one month. It can also be aliquoted and stored frozen at -20 degree C for a longer time. Avoid repeated freezing and thawing.
Related Product Information for anti-DMRT1 antibody
Description: Rabbit IgG polyclonal antibody for Doublesex- and mab-3-related transcription factor 1(DMRT1) detection. Tested with WB, IHC-P in Human;Mouse;Rat.
Background: Doublesex and mab-3 related transcription factor 1, also known as DMRT1, is a protein which in humans is encoded by the DMRT1 gene. This gene is found in a cluster with two other members of the gene family, having in common a zinc finger-like DNA-binding motif (DM domain). The DM domain is an ancient, conserved component of the vertebrate sex-determining pathway that is also a key regulator of male development in flies and nematodes. This gene exhibits a gonad-specific and sexually dimorphic expression pattern. Defective testicular development and XY feminization occur when this gene is hemizygous.
Background: Doublesex and mab-3 related transcription factor 1, also known as DMRT1, is a protein which in humans is encoded by the DMRT1 gene. This gene is found in a cluster with two other members of the gene family, having in common a zinc finger-like DNA-binding motif (DM domain). The DM domain is an ancient, conserved component of the vertebrate sex-determining pathway that is also a key regulator of male development in flies and nematodes. This gene exhibits a gonad-specific and sexually dimorphic expression pattern. Defective testicular development and XY feminization occur when this gene is hemizygous.
References
1. "Entrez Gene: DMRT1 doublesex and mab-3 related transcription factor 1". 2. Raymond CS, Shamu CE, Shen MM, Seifert KJ, Hirsch B, Hodgkin J, Zarkower D (February 1998). "Evidence for evolutionary conservation of sex-determining genes".Nature 391 (6668): 691-5. 3. Smith CA, Roeszler KN, Ohnesorg T, Cummins DM, Farlie PG, Doran TJ, Sinclair AH (August 2009). "The avian Z-linked gene DMRT1 is required for male sex determination in the chicken". Nature 461(7261): 267-71.
NCBI and Uniprot Product Information
NCBI GI #
NCBI GeneID
NCBI Accession #
NCBI GenBank Nucleotide #
Molecular Weight
18,325 Da
NCBI Official Full Name
doublesex- and mab-3-related transcription factor 1
NCBI Official Synonym Full Names
doublesex and mab-3 related transcription factor 1
NCBI Official Symbol
DMRT1
NCBI Official Synonym Symbols
DMT1; CT154
NCBI Protein Information
doublesex- and mab-3-related transcription factor 1
UniProt Protein Name
Doublesex- and mab-3-related transcription factor 1
UniProt Gene Name
DMRT1
UniProt Synonym Gene Names
DMT1
UniProt Entry Name
DMRT1_HUMAN
Customer Reviews
Loading reviews...
Share Your Experience
Similar Products
Product Notes
The DMRT1 dmrt1 (Catalog #AAA46466) is an Antibody and is intended for research purposes only. The product is available for immediate purchase. The Anti-DMRT1 Antibody reacts with Human, Mouse, Rat and may cross-react with other species as described in the data sheet. AAA Biotech's DMRT1 can be used in a range of immunoassay formats including, but not limited to, IHC (Immunohistochemistry), WB (Western Blot). Researchers should empirically determine the suitability of the DMRT1 dmrt1 for an application not listed in the data sheet. Researchers commonly develop new applications and it is an integral, important part of the investigative research process. It is sometimes possible for the material contained within the vial of "DMRT1, Polyclonal Antibody" to become dispersed throughout the inside of the vial, particularly around the seal of said vial, during shipment and storage. We always suggest centrifuging these vials to consolidate all of the liquid away from the lid and to the bottom of the vial prior to opening. Please be advised that certain products may require dry ice for shipping and that, if this is the case, an additional dry ice fee may also be required.Precautions
All products in the AAA Biotech catalog are strictly for research-use only, and are absolutely not suitable for use in any sort of medical, therapeutic, prophylactic, in-vivo, or diagnostic capacity. By purchasing a product from AAA Biotech, you are explicitly certifying that said products will be properly tested and used in line with industry standard. AAA Biotech and its authorized distribution partners reserve the right to refuse to fulfill any order if we have any indication that a purchaser may be intending to use a product outside of our accepted criteria.Disclaimer
Though we do strive to guarantee the information represented in this datasheet, AAA Biotech cannot be held responsible for any oversights or imprecisions. AAA Biotech reserves the right to adjust any aspect of this datasheet at any time and without notice. It is the responsibility of the customer to inform AAA Biotech of any product performance issues observed or experienced within 30 days of receipt of said product. To see additional details on this or any of our other policies, please see our Terms & Conditions page.Item has been added to Shopping Cart
If you are ready to order, navigate to Shopping Cart and get ready to checkout.
