Rabbit anti-Human DNAJB9 Polyclonal Antibody | anti-DNAJB9 antibody
DNAJB9 Antibody
Gene Names
DNAJB9; MDG1; ERdj4; MDG-1; MST049; MSTP049
Reactivity
Human
Applications
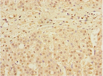
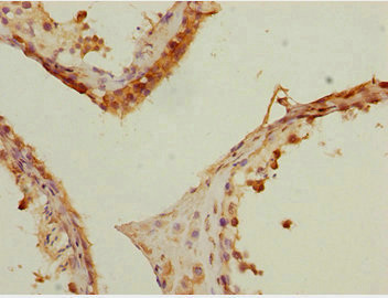
Immunohistochemistry, ELISA
Purity
Antigen Affinity Purified
Synonyms
DNAJB9, Antibody; DNAJB9 Antibody; DnaJ homolog subfamily B member 9; Endoplasmic reticulum DNA J domain-containing protein 4; ER-resident protein ERdj4; ERdj4; Microvascular endothelial differentiation gene 1 protein; Mdg-1; DNAJB9; MDG1; UNQ743/PRO1471; anti-DNAJB9 antibody
Host
Rabbit
Reactivity
Human
Clonality
Polyclonal
Isotype
IgG
Purity/Purification
Antigen Affinity Purified
Form/Format
Liquid
Sequence Length
223
Applicable Applications for anti-DNAJB9 antibody
IHC (Immunohistochemistry), ELISA
Species
Human
Immunogen
Recombinant human DnaJ homolog subfamily B member 9 protein (C-200AA)
Conjugate
Non-conjugated
Buffer
PBS with 0.02% sodium azide, 50% glycerol, pH7.3.
Preparation and Storage
Shipped at 4 degree C. Upon delivery aliquot and store at -20 degree C or -80 degree C. Avoid repeated freeze.
Related Product Information for anti-DNAJB9 antibody
Involved in endoplasmic reticulum-associated degradation (ERAD) of misfolded proteins. Acts as a co-chaperone with an Hsp70 protein.
NCBI and Uniprot Product Information
NCBI GI #
NCBI GeneID
NCBI Accession #
NCBI GenBank Nucleotide #
UniProt Accession #
Molecular Weight
25,518 Da
NCBI Official Full Name
dnaJ homolog subfamily B member 9
NCBI Official Synonym Full Names
DnaJ heat shock protein family (Hsp40) member B9
NCBI Official Symbol
DNAJB9
NCBI Official Synonym Symbols
MDG1; ERdj4; MDG-1; MST049; MSTP049
NCBI Protein Information
dnaJ homolog subfamily B member 9
UniProt Protein Name
DnaJ homolog subfamily B member 9
UniProt Gene Name
DNAJB9
UniProt Synonym Gene Names
MDG1; ER-resident protein ERdj4; ERdj4; Mdg-1
UniProt Entry Name
DNJB9_HUMAN
Customer Reviews
Loading reviews...
Share Your Experience
Similar Products
Product Notes
The DNAJB9 dnajb9 (Catalog #AAA231807) is an Antibody produced from Rabbit and is intended for research purposes only. The product is available for immediate purchase. The DNAJB9 Antibody reacts with Human and may cross-react with other species as described in the data sheet. AAA Biotech's DNAJB9 can be used in a range of immunoassay formats including, but not limited to, IHC (Immunohistochemistry), ELISA. Researchers should empirically determine the suitability of the DNAJB9 dnajb9 for an application not listed in the data sheet. Researchers commonly develop new applications and it is an integral, important part of the investigative research process. It is sometimes possible for the material contained within the vial of "DNAJB9, Polyclonal Antibody" to become dispersed throughout the inside of the vial, particularly around the seal of said vial, during shipment and storage. We always suggest centrifuging these vials to consolidate all of the liquid away from the lid and to the bottom of the vial prior to opening. Please be advised that certain products may require dry ice for shipping and that, if this is the case, an additional dry ice fee may also be required.Precautions
All products in the AAA Biotech catalog are strictly for research-use only, and are absolutely not suitable for use in any sort of medical, therapeutic, prophylactic, in-vivo, or diagnostic capacity. By purchasing a product from AAA Biotech, you are explicitly certifying that said products will be properly tested and used in line with industry standard. AAA Biotech and its authorized distribution partners reserve the right to refuse to fulfill any order if we have any indication that a purchaser may be intending to use a product outside of our accepted criteria.Disclaimer
Though we do strive to guarantee the information represented in this datasheet, AAA Biotech cannot be held responsible for any oversights or imprecisions. AAA Biotech reserves the right to adjust any aspect of this datasheet at any time and without notice. It is the responsibility of the customer to inform AAA Biotech of any product performance issues observed or experienced within 30 days of receipt of said product. To see additional details on this or any of our other policies, please see our Terms & Conditions page.Item has been added to Shopping Cart
If you are ready to order, navigate to Shopping Cart and get ready to checkout.
