Rabbit DNAJC11 Polyclonal Antibody | anti-DNAJC11 antibody
DNAJC11 Antibody
Gene Names
DNAJC11; dJ126A5.1
Reactivity
Human, Mouse, Rat, MonkeyPredicted: Pig, Bovine, Horse, Sheep, Rabbit, Dog, Chicken
Applications
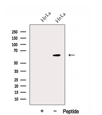
Western Blot
Purity
The antiserum was purified by peptide affinity chromatography using SulfoLink Coupling Resin (Thermo Fisher Scientific).
Synonyms
DNAJC11, Antibody; DNAJC11 Antibody; dJ126A5.1; DJC11_HUMAN; DnaJ (Hsp40) homolog, subfamily C, member 11; DnaJ homolog subfamily C member 11; DNAJC11; E030019A03Rik; FLJ10737; Novel DnaJ domain containing protein; RP1-126A5.3; RP23-460D14.2; anti-DNAJC11 antibody
Host
Rabbit
Reactivity
Human, Mouse, Rat, Monkey
Predicted: Pig, Bovine, Horse, Sheep, Rabbit, Dog, Chicken
Predicted: Pig, Bovine, Horse, Sheep, Rabbit, Dog, Chicken
Clonality
Polyclonal
Isotype
IgG
Specificity
DNAJC11 Antibody detects endogenous levels of DNAJC11.
Purity/Purification
The antiserum was purified by peptide affinity chromatography using SulfoLink Coupling Resin (Thermo Fisher Scientific).
Form/Format
Liquid; Phosphate buffered saline, pH 7.4, 150mM NaCl, 0.02% sodium azide and 50% glycerol.
Concentration
1mg/ml (varies by lot)
Sequence Length
559
Applicable Applications for anti-DNAJC11 antibody
WB (Western Blot)
Immunogen
A synthesized peptide derived from human DNAJC11.
Fragment
Fab Fragment
Conjugate
Unconjugated
Subcellular Location
Mitochondrion; Mitochondrion
Preparation and Storage
Store at -20 degree C. Stable for 12 months from date of receipt.
Related Product Information for anti-DNAJC11 antibody
Description: Isoform 1: Required for mitochondrial inner membrane organization. Seems to function through its association with the MICOS complex and the mitochondrial outer membrane sorting assembly machinery (SAM) complex.
Subunit Structure: Associates with the mitochondrial contact site and cristae organizing system (MICOS) complex, composed of at least MINOS1/MIC10, CHCHD3/MIC19, CHCHD6/MIC25, APOOL/MIC27, IMMT/MIC60, APOO/MIC23/MIC26 and QIL1/MIC13. This complex was also known under the names MINOS or MitOS complex. The MICOS complex associates with mitochondrial outer membrane proteins SAMM50, MTX1 and MTX2 (together described as components of the mitochondrial outer membrane sorting assembly machinery (SAM) complex) and DNAJC11, mitochondrial inner membrane protein TMEM11 and with HSPA9 (PubMed:25997101). The MICOS and SAM complexes together with DNAJC11 are part of a large protein complex spanning both mitochondrial membranes termed the mitochondrial intermembrane space bridging (MIB) complex.
Similarity: Belongs to the DNAJC11 family.
Subunit Structure: Associates with the mitochondrial contact site and cristae organizing system (MICOS) complex, composed of at least MINOS1/MIC10, CHCHD3/MIC19, CHCHD6/MIC25, APOOL/MIC27, IMMT/MIC60, APOO/MIC23/MIC26 and QIL1/MIC13. This complex was also known under the names MINOS or MitOS complex. The MICOS complex associates with mitochondrial outer membrane proteins SAMM50, MTX1 and MTX2 (together described as components of the mitochondrial outer membrane sorting assembly machinery (SAM) complex) and DNAJC11, mitochondrial inner membrane protein TMEM11 and with HSPA9 (PubMed:25997101). The MICOS and SAM complexes together with DNAJC11 are part of a large protein complex spanning both mitochondrial membranes termed the mitochondrial intermembrane space bridging (MIB) complex.
Similarity: Belongs to the DNAJC11 family.
NCBI and Uniprot Product Information
NCBI GI #
NCBI GeneID
NCBI Accession #
NCBI GenBank Nucleotide #
UniProt Accession #
Molecular Weight
Observed: 63 kDa
Predicted: 64 kDa
Predicted: 64 kDa
NCBI Official Full Name
dnaJ homolog subfamily C member 11
NCBI Official Synonym Full Names
DnaJ heat shock protein family (Hsp40) member C11
NCBI Official Symbol
DNAJC11
NCBI Official Synonym Symbols
dJ126A5.1
NCBI Protein Information
dnaJ homolog subfamily C member 11
UniProt Protein Name
DnaJ homolog subfamily C member 11
UniProt Gene Name
DNAJC11
UniProt Entry Name
DJC11_HUMAN
Customer Reviews
Loading reviews...
Share Your Experience
Similar Products
Product Notes
The DNAJC11 dnajc11 (Catalog #AAA328832) is an Antibody produced from Rabbit and is intended for research purposes only. The product is available for immediate purchase. The DNAJC11 Antibody reacts with Human, Mouse, Rat, Monkey Predicted: Pig, Bovine, Horse, Sheep, Rabbit, Dog, Chicken and may cross-react with other species as described in the data sheet. AAA Biotech's DNAJC11 can be used in a range of immunoassay formats including, but not limited to, WB (Western Blot). Researchers should empirically determine the suitability of the DNAJC11 dnajc11 for an application not listed in the data sheet. Researchers commonly develop new applications and it is an integral, important part of the investigative research process. It is sometimes possible for the material contained within the vial of "DNAJC11, Polyclonal Antibody" to become dispersed throughout the inside of the vial, particularly around the seal of said vial, during shipment and storage. We always suggest centrifuging these vials to consolidate all of the liquid away from the lid and to the bottom of the vial prior to opening. Please be advised that certain products may require dry ice for shipping and that, if this is the case, an additional dry ice fee may also be required.Precautions
All products in the AAA Biotech catalog are strictly for research-use only, and are absolutely not suitable for use in any sort of medical, therapeutic, prophylactic, in-vivo, or diagnostic capacity. By purchasing a product from AAA Biotech, you are explicitly certifying that said products will be properly tested and used in line with industry standard. AAA Biotech and its authorized distribution partners reserve the right to refuse to fulfill any order if we have any indication that a purchaser may be intending to use a product outside of our accepted criteria.Disclaimer
Though we do strive to guarantee the information represented in this datasheet, AAA Biotech cannot be held responsible for any oversights or imprecisions. AAA Biotech reserves the right to adjust any aspect of this datasheet at any time and without notice. It is the responsibility of the customer to inform AAA Biotech of any product performance issues observed or experienced within 30 days of receipt of said product. To see additional details on this or any of our other policies, please see our Terms & Conditions page.Item has been added to Shopping Cart
If you are ready to order, navigate to Shopping Cart and get ready to checkout.
