Rabbit anti-Mouse, Rat Dopamine Receptor D1 Polyclonal Antibody | anti-Drd1 antibody
Dopamamine Receptor D1 Antibody
Gene Names
Drd1; D1a; Drd-1; Drd1a
Reactivity
Mouse, Rat
Applications
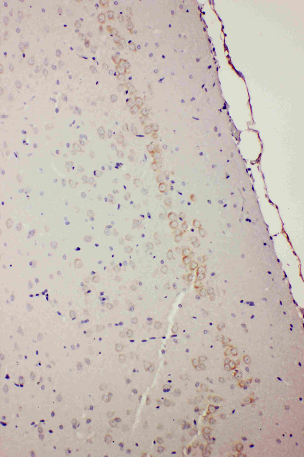
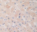
Western Blot, Immunoprecipitation, Immunohistochemistry, Immunofluorescence, Immunocytochemistry, ELISA
Purity
Affinity Purified
Synonyms
Dopamine Receptor D1, Antibody; Dopamamine Receptor D1 Antibody; D(1A) dopamine receptor; D1A dopamine receptor; DADR; Dopamine D1 receptor; DRD1A antibody; anti-Drd1 antibody
Host
Rabbit
Reactivity
Mouse, Rat
Clonality
Polyclonal
Isotype
IgG
Purity/Purification
Affinity Purified
Applicable Applications for anti-Drd1 antibody
WB (Western Blot), IP (Immunoprecipitation), IHC (Immunohistochemistry), IF (Immunofluorescence), ICC (Immunocytochemistry), ELISA, CM (Confocal Microscopy)
Immunogen
Synthetic peptide taken within amino acid region 250-300 on mouse D(1A) dopamine receptor.
Determinant
C-epitope
Overview
Dopamine receptor whose activity is mediated by G proteins which activate adenylyl cyclase.
Molecular Function
angiotensin receptor binding;protein heterodimerization activity;protein phosphatase binding;ATPase binding
Subcellular Location
Cell membrane;Endoplasmic reticulum Membrane
Expression
Brain, in the striatum, the nucleus accumbens, and the olfactory tubercle.
Structure
Belongs to the G-protein coupled receptor 1 family has a Transmembrane helix domain
Preparation and Storage
Store at -20 degree C for long term storage.
Related Product Information for anti-Drd1 antibody
Affinity Purified Dopamine D1A receptor Antibody
Product Categories/Family for anti-Drd1 antibody
NCBI and Uniprot Product Information
NCBI GI #
NCBI GeneID
NCBI Accession #
NCBI GenBank Nucleotide #
NCBI Official Full Name
D(1A) dopamine receptor
NCBI Official Synonym Full Names
dopamine receptor D1
NCBI Official Symbol
Drd1
NCBI Official Synonym Symbols
D1a; Drd-1; Drd1a
NCBI Protein Information
D(1A) dopamine receptor
UniProt Protein Name
D(1A) dopamine receptor
UniProt Gene Name
Drd1
UniProt Synonym Gene Names
Drd1a
UniProt Entry Name
DRD1_RAT
Customer Reviews
Loading reviews...
Share Your Experience
Similar Products
Product Notes
The Drd1 drd1 (Catalog #AAA75689) is an Antibody produced from Rabbit and is intended for research purposes only. The product is available for immediate purchase. The Dopamamine Receptor D1 Antibody reacts with Mouse, Rat and may cross-react with other species as described in the data sheet. AAA Biotech's Dopamine Receptor D1 can be used in a range of immunoassay formats including, but not limited to, WB (Western Blot), IP (Immunoprecipitation), IHC (Immunohistochemistry), IF (Immunofluorescence), ICC (Immunocytochemistry), ELISA, CM (Confocal Microscopy). Researchers should empirically determine the suitability of the Drd1 drd1 for an application not listed in the data sheet. Researchers commonly develop new applications and it is an integral, important part of the investigative research process. It is sometimes possible for the material contained within the vial of "Dopamine Receptor D1, Polyclonal Antibody" to become dispersed throughout the inside of the vial, particularly around the seal of said vial, during shipment and storage. We always suggest centrifuging these vials to consolidate all of the liquid away from the lid and to the bottom of the vial prior to opening. Please be advised that certain products may require dry ice for shipping and that, if this is the case, an additional dry ice fee may also be required.Precautions
All products in the AAA Biotech catalog are strictly for research-use only, and are absolutely not suitable for use in any sort of medical, therapeutic, prophylactic, in-vivo, or diagnostic capacity. By purchasing a product from AAA Biotech, you are explicitly certifying that said products will be properly tested and used in line with industry standard. AAA Biotech and its authorized distribution partners reserve the right to refuse to fulfill any order if we have any indication that a purchaser may be intending to use a product outside of our accepted criteria.Disclaimer
Though we do strive to guarantee the information represented in this datasheet, AAA Biotech cannot be held responsible for any oversights or imprecisions. AAA Biotech reserves the right to adjust any aspect of this datasheet at any time and without notice. It is the responsibility of the customer to inform AAA Biotech of any product performance issues observed or experienced within 30 days of receipt of said product. To see additional details on this or any of our other policies, please see our Terms & Conditions page.Item has been added to Shopping Cart
If you are ready to order, navigate to Shopping Cart and get ready to checkout.
