Rabbit anti-Human, Mouse DPP4 Polyclonal Antibody | anti-DPP4 antibody
DPP4 Antibody
Phosphate buffered saline, pH 7.4, 150mM NaCl, 0.02% sodium azide and 50% glycerol.
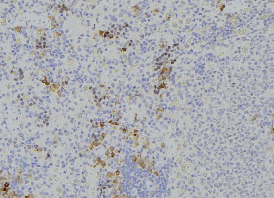
IHC (Immunohiostchemistry)
(AAA323211 at 1/100 staining Human lymph node tissue by IHC-P. The sample was formaldehyde fixed and a heat mediated antigen retrieval step in citrate buffer was performed. The sample was then blocked and incubated with the antibody for 1.5 hours at 22 degree C. An HRP conjugated goat anti-rabbit antibody was used as the secondary.)
WB (Western Blot)
(Western blot analysis of extracts from hepg2, using DPP4 antibody. Lane 1 was treated with the blocking peptide.)
Subunit Structure: Monomer. Homodimer (PubMed:12832764, PubMed:15448155, PubMed:17287217, PubMed:12646248, PubMed:12483204, PubMed:12906826). Heterodimer with Seprase (FAP) (PubMed:16651416). Requires homodimerization for optimal dipeptidyl peptidase activity and T-cell costimulation. Found in a membrane raft complex, at least composed of BCL10, CARD11, DPP4 and IKBKB (PubMed:17287217). Associates with collagen (PubMed:8526932). Interacts with PTPRC; the interaction is enhanced in a interleukin-12-dependent manner in activated lymphocytes (PubMed:12676959). Interacts (via extracellular domain) with ADA; does not inhibit its dipeptidyl peptidase activity (PubMed:15016824, PubMed:10951221, PubMed:14691230, PubMed:7907293, PubMed:8101391). Interacts with CAV1 (via the N-terminus); the interaction is direct (PubMed:17287217). Interacts (via cytoplasmic tail) with CARD11 (via PDZ domain); its homodimerization is necessary for interaction with CARD11 (PubMed:17287217). Interacts with IGF2R; the interaction is direct (PubMed:10900005). Interacts with GPC3 (PubMed:17549790). Interacts with human coronavirus-EMC spike protein and acts as a receptor for this virus (PubMed:23486063).
Post-translational Modifications: The soluble form (Dipeptidyl peptidase 4 soluble form also named SDPP) derives from the membrane form (Dipeptidyl peptidase 4 membrane form also named MDPP) by proteolytic processing. N-and O-Glycosylated. Phosphorylated. Mannose 6-phosphate residues in the carbohydrate moiety are necessary for interaction with IGF2R in activated T-cells. Mannose 6-phosphorylation is induced during T-cell activation.
Similarity: The extracellular cysteine-rich region is necessary for association with collagen, dimer formation and optimal dipeptidyl peptidase activity. Belongs to the peptidase S9B family. DPPIV subfamily.
NCBI and Uniprot Product Information
Predicted: 89 kDa
Customer Reviews
Loading reviews...
Share Your Experience
Similar Products
Product Notes
The DPP4 dpp4 (Catalog #AAA323211) is an Antibody produced from Rabbit and is intended for research purposes only. The product is available for immediate purchase. The DPP4 Antibody reacts with Human, Mouse and may cross-react with other species as described in the data sheet. AAA Biotech's DPP4 can be used in a range of immunoassay formats including, but not limited to, IHC (Immunohistochemistry), WB (Western Blot). Researchers should empirically determine the suitability of the DPP4 dpp4 for an application not listed in the data sheet. Researchers commonly develop new applications and it is an integral, important part of the investigative research process. It is sometimes possible for the material contained within the vial of "DPP4, Polyclonal Antibody" to become dispersed throughout the inside of the vial, particularly around the seal of said vial, during shipment and storage. We always suggest centrifuging these vials to consolidate all of the liquid away from the lid and to the bottom of the vial prior to opening. Please be advised that certain products may require dry ice for shipping and that, if this is the case, an additional dry ice fee may also be required.Precautions
All products in the AAA Biotech catalog are strictly for research-use only, and are absolutely not suitable for use in any sort of medical, therapeutic, prophylactic, in-vivo, or diagnostic capacity. By purchasing a product from AAA Biotech, you are explicitly certifying that said products will be properly tested and used in line with industry standard. AAA Biotech and its authorized distribution partners reserve the right to refuse to fulfill any order if we have any indication that a purchaser may be intending to use a product outside of our accepted criteria.Disclaimer
Though we do strive to guarantee the information represented in this datasheet, AAA Biotech cannot be held responsible for any oversights or imprecisions. AAA Biotech reserves the right to adjust any aspect of this datasheet at any time and without notice. It is the responsibility of the customer to inform AAA Biotech of any product performance issues observed or experienced within 30 days of receipt of said product. To see additional details on this or any of our other policies, please see our Terms & Conditions page.Item has been added to Shopping Cart
If you are ready to order, navigate to Shopping Cart and get ready to checkout.
